Suppr超能文献

[大龄儿童中发现的脂肪母细胞瘤:1例罕见病例及文献复习]

[Lipoblastoma detected in older children: an unusual case and literature review].

作者信息

Harouna Abdoulaye Diallo, Mvumbi Franck, Atarraf Karima, Chater Lamiae, Boubbou Meryem, Afifi Abderrhmane

机构信息

Service de Traumato-orthopédie Pédiatrique, CHU-Hassan II, Fès, Maroc.

Service de Radiologie Mère et Enfant, CHU-Hassan II, Fès, Maroc.

出版信息

Pan Afr Med J. 2017 Oct 6;28:119. doi: 10.11604/pamj.2017.28.119.12002. eCollection 2017.

Abstract

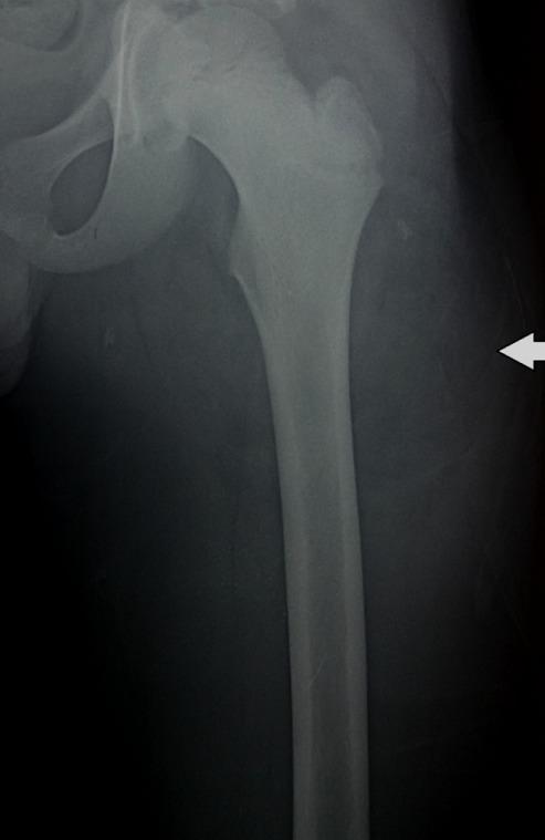
Lipoblastoma is a relatively rare benign tumor. It derives from embryonic white fat cells. It almost exclusively affects children less than 3 years of age. We report a case of lipoblastoma of the left thigh detected in an older child (11 years) and a literature review. Diagnosis was based on histology while surgical treatment was based on total resection of the mass. The postoperative course was simple with a follow-up period of 9 months.

摘要

脂肪母细胞瘤是一种相对罕见的良性肿瘤。它起源于胚胎白色脂肪细胞。几乎仅发生于3岁以下儿童。我们报告1例在大龄儿童(11岁)中发现的左大腿脂肪母细胞瘤病例并进行文献复习。诊断基于组织学检查,而手术治疗基于肿物的完整切除。术后过程顺利,随访期9个月。

https://cdn.ncbi.nlm.nih.gov/pmc/blobs/a4bc/5837152/58728340c949/PAMJ-28-119-g001.jpg

文献AI研究员

20分钟写一篇综述,助力文献阅读效率提升50倍。

立即体验

用中文搜PubMed

大模型驱动的PubMed中文搜索引擎

马上搜索

文档翻译

学术文献翻译模型,支持多种主流文档格式。

立即体验