Suppr超能文献

D(+)-半乳糖胺肝毒性中显著炎症反应的超微结构与组织化学研究

An ultrastructural and histochemical study of the prominent inflammatory response in D(+)-galactosamine hepatotoxicity.

作者信息

MacDonald J R, Beckstead J H, Smuckler E A

出版信息

Br J Exp Pathol. 1987 Apr;68(2):189-99.

Abstract

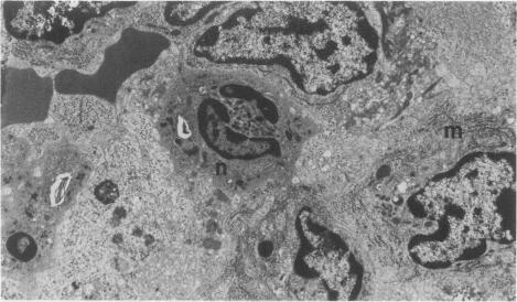
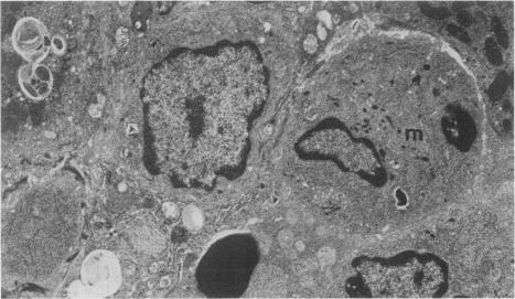
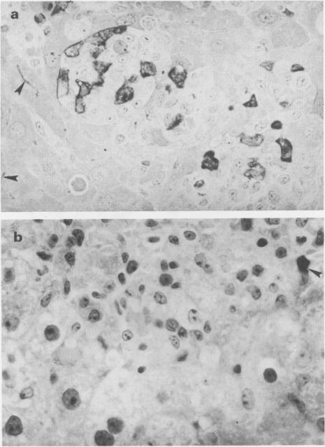
The biochemical basis of the hepatitis-like liver injury produced by D(+)-galactosamine in rats is well-established and is linked to depletion of uridine nucleotides within parenchymal cells. However, the prominent inflammatory response that accompanies this lesion in vivo has been largely overlooked as a component of the hepatic damage. This study examines the cellular components of the inflammatory infiltrate of galactosamine-induced liver injury over time using histochemical and ultrastructural techniques. By 12 h after toxin administration, the infiltrate consisted largely of neutrophils and recently-mobilized monocytes. By 24 to 48 h after the toxin, when hepatocellular necrosis was maximal, few neutrophils were found in the infiltrate. At these times, the infiltrate consisted almost exclusively of large phagocytic cells, histochemically and morphologically consistent with active tissue macrophages apparently derived from circulating monocytes. The extent of the inflammatory response to this experimental hepatotoxin suggests that effects on the generation and development of the inflammatory response should be considered for treatments reported to alter the intrinsic hepatotoxicity of galactosamine.

摘要

D(+)-半乳糖胺在大鼠中引发的肝炎样肝损伤的生化基础已得到充分证实,且与实质细胞内尿苷核苷酸的耗竭有关。然而,这种损伤在体内伴随的显著炎症反应,作为肝损伤的一个组成部分,在很大程度上被忽视了。本研究使用组织化学和超微结构技术,随时间检查半乳糖胺诱导的肝损伤炎症浸润的细胞成分。毒素给药后12小时,浸润主要由中性粒细胞和新动员的单核细胞组成。毒素作用24至48小时后,肝细胞坏死达到最大程度,浸润中几乎找不到中性粒细胞。此时,浸润几乎完全由大型吞噬细胞组成,在组织化学和形态学上与显然源自循环单核细胞的活跃组织巨噬细胞一致。对这种实验性肝毒素的炎症反应程度表明,对于据报道可改变半乳糖胺内在肝毒性的治疗方法,应考虑其对炎症反应发生和发展的影响。

https://cdn.ncbi.nlm.nih.gov/pmc/blobs/6480/2013003/c115113a8902/brjexppathol00008-0060-a.jpg

文献检索

告别复杂PubMed语法,用中文像聊天一样搜索,搜遍4000万医学文献。AI智能推荐,让科研检索更轻松。

立即免费搜索

文件翻译

保留排版,准确专业,支持PDF/Word/PPT等文件格式,支持 12+语言互译。

免费翻译文档

深度研究

AI帮你快速写综述,25分钟生成高质量综述,智能提取关键信息,辅助科研写作。

立即免费体验