Suppr超能文献

1型单纯疱疹病毒在阿尔茨海默病发病机制中的分子机制

Molecular Mechanisms for Herpes Simplex Virus Type 1 Pathogenesis in Alzheimer's Disease.

作者信息

Harris Steven A, Harris Elizabeth A

机构信息

St. Vincent Medical Group, Northside Internal Medicine, Indianapolis, IN, United States.

Department of Neurology, University of Chicago Medical Center, Chicago, IL, United States.

出版信息

Front Aging Neurosci. 2018 Mar 6;10:48. doi: 10.3389/fnagi.2018.00048. eCollection 2018.

Abstract

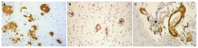
This review focuses on research in the areas of epidemiology, neuropathology, molecular biology and genetics that implicates herpes simplex virus type 1 (HSV-1) as a causative agent in the pathogenesis of sporadic Alzheimer's disease (AD). Molecular mechanisms whereby HSV-1 induces AD-related pathophysiology and pathology, including neuronal production and accumulation of amyloid beta (Aβ), hyperphosphorylation of tau proteins, dysregulation of calcium homeostasis, and impaired autophagy, are discussed. HSV-1 causes additional AD pathologies through mechanisms that promote neuroinflammation, oxidative stress, mitochondrial damage, synaptic dysfunction, and neuronal apoptosis. The AD susceptibility genes apolipoprotein E (), phosphatidylinositol binding clathrin assembly protein (), complement receptor 1 () and clusterin () are involved in the HSV lifecycle. Polymorphisms in these genes may affect brain susceptibility to HSV-1 infection. , for example, influences susceptibility to certain viral infections, HSV-1 viral load in the brain, and the innate immune response. The AD susceptibility gene cholesterol 25-hydroxylase () is upregulated in the AD brain and is involved in the antiviral immune response. HSV-1 interacts with additional genes to affect cognition-related pathways and key enzymes involved in Aβ production, Aβ clearance, and hyperphosphorylation of tau proteins. Aβ itself functions as an antimicrobial peptide (AMP) against various pathogens including HSV-1. Evidence is presented supporting the hypothesis that Aβ is produced as an AMP in response to HSV-1 and other brain infections, leading to Aβ deposition and plaque formation in AD. Epidemiologic studies associating HSV-1 infection with AD and cognitive impairment are discussed. Studies are reviewed supporting subclinical chronic reactivation of latent HSV-1 in the brain as significant in the pathogenesis of AD. Finally, the rationale for and importance of clinical trials treating HSV-1-infected MCI and AD patients with antiviral medication is discussed.

摘要

本综述聚焦于流行病学、神经病理学、分子生物学和遗传学领域的研究,这些研究表明1型单纯疱疹病毒(HSV-1)是散发性阿尔茨海默病(AD)发病机制中的致病因子。文中讨论了HSV-1诱导AD相关病理生理和病理学的分子机制,包括淀粉样β蛋白(Aβ)的神经元产生和积累、tau蛋白的过度磷酸化、钙稳态失调以及自噬受损。HSV-1通过促进神经炎症、氧化应激、线粒体损伤、突触功能障碍和神经元凋亡的机制引发其他AD病理变化。AD易感基因载脂蛋白E()、磷脂酰肌醇结合网格蛋白组装蛋白()、补体受体1()和簇集蛋白()参与HSV的生命周期。这些基因的多态性可能影响大脑对HSV-1感染的易感性。例如,影响对某些病毒感染的易感性、大脑中的HSV-1病毒载量以及先天免疫反应。AD易感基因胆固醇25-羟化酶()在AD大脑中上调,并参与抗病毒免疫反应。HSV-1与其他基因相互作用,影响与认知相关的途径以及参与Aβ产生、Aβ清除和tau蛋白过度磷酸化的关键酶。Aβ本身作为一种抗菌肽(AMP)对抗包括HSV-1在内的各种病原体。文中提供的证据支持这样的假说,即Aβ作为一种AMP是对HSV-1和其他脑部感染的反应而产生的,导致AD中Aβ沉积和斑块形成。文中讨论了将HSV-1感染与AD和认知障碍相关联的流行病学研究。回顾了支持大脑中潜伏HSV-1亚临床慢性再激活在AD发病机制中具有重要意义的研究。最后,讨论了用抗病毒药物治疗HSV-1感染的轻度认知障碍(MCI)和AD患者的临床试验的基本原理和重要性。

https://cdn.ncbi.nlm.nih.gov/pmc/blobs/4911/5845560/cf5bd56aecf1/fnagi-10-00048-g0001.jpg

文献AI研究员

20分钟写一篇综述,助力文献阅读效率提升50倍。

立即体验

用中文搜PubMed

大模型驱动的PubMed中文搜索引擎

马上搜索

文档翻译

学术文献翻译模型,支持多种主流文档格式。

立即体验