Suppr超能文献

Metastases to Both Parotid Glands Six and Twelve Years after Resection of Renal Cell Carcinoma.

作者信息

Franzen Achim M, Glitzky Shirrell, Moganti Ashok, Lippek Frank, Coordes Annekatrin

机构信息

Department of Otorhinolaryngology, Head and Neck Surgery, Ruppiner-Kliniken GmbH, Brandenburg Medical University-Theodor Fontane, Campus Ruppiner Kliniken, Fehrbelliner Straße 38, 16816 Neuruppin, Germany.

Institute of Pathology, Ruppiner-Kliniken GmbH, Brandenburg Medical University, Campus Ruppiner Kliniken, Fehrbelliner Straße 38, 16816 Neuruppin, Germany.

出版信息

Case Rep Med. 2018 Feb 18;2018:7301727. doi: 10.1155/2018/7301727. eCollection 2018.

Abstract

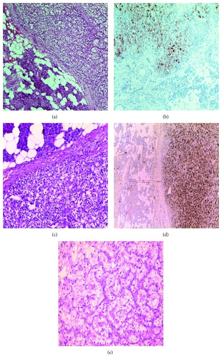
Metastases of renal cell carcinoma (RCC) involving the parotid gland are very rare. We present to our knowledge the first case of a 74-year-old woman with metastases of an RCC which affected both parotid glands six and twelve years following curative therapy.

摘要
https://cdn.ncbi.nlm.nih.gov/pmc/blobs/7c6d/5835304/c00edae7a18b/CRIM2018-7301727.001.jpg

文献AI研究员

20分钟写一篇综述,助力文献阅读效率提升50倍。

立即体验

用中文搜PubMed

大模型驱动的PubMed中文搜索引擎

马上搜索

文档翻译

学术文献翻译模型,支持多种主流文档格式。

立即体验