Suppr超能文献

Collagenous Spherulosis Associated with Lobular Carcinoma In Situ of the Breast: Two Case Reports.

作者信息

Kim Ga-Eon, Kim Nah Ihm, Lee Ji Shin, Park Min Ho

机构信息

Department of Pathology, Chonnam National University Medical School, Gwangju, Korea.

Department of Surgery, Chonnam National University Medical School, Gwangju, Korea.

出版信息

J Pathol Transl Med. 2018 Nov;52(6):420-424. doi: 10.4132/jptm.2018.03.29. Epub 2018 Mar 29.

Abstract
摘要
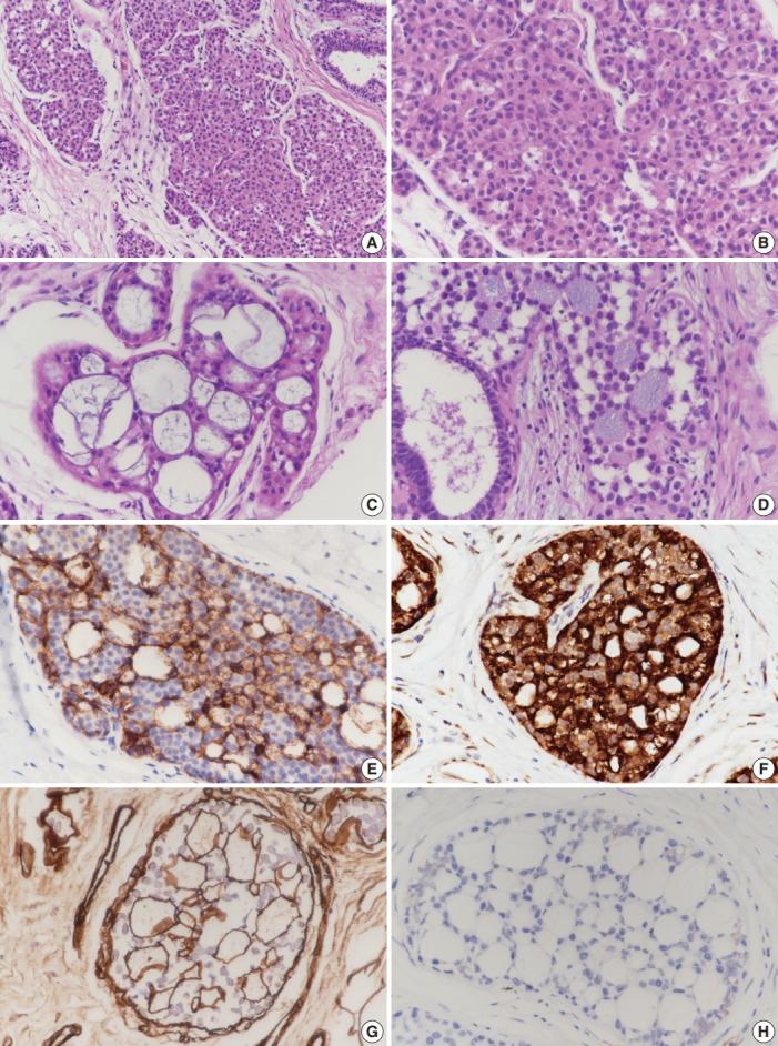
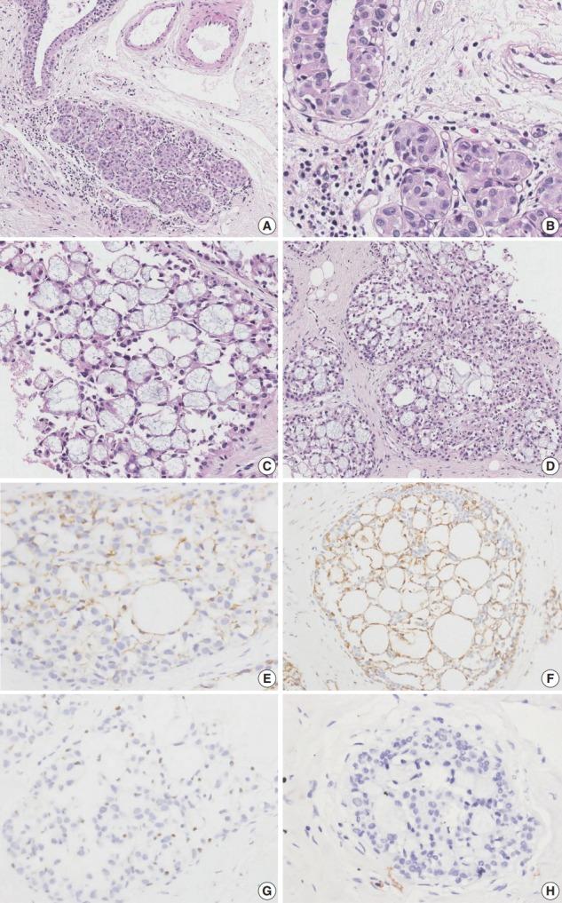
https://cdn.ncbi.nlm.nih.gov/pmc/blobs/974b/6250931/8c683d4e45da/jptm-2018-03-29f1.jpg

文献检索

告别复杂PubMed语法,用中文像聊天一样搜索,搜遍4000万医学文献。AI智能推荐,让科研检索更轻松。

立即免费搜索

文件翻译

保留排版,准确专业,支持PDF/Word/PPT等文件格式,支持 12+语言互译。

免费翻译文档

深度研究

AI帮你快速写综述,25分钟生成高质量综述,智能提取关键信息,辅助科研写作。

立即免费体验