Advanced Telecommunications Research Institute International (ATR), The Thomas N. Sato BioMEC-X Laboratories, Kyoto 619-0288, Japan.
ERATO Sato Live Bio-forecasting Project, Japan Science and Technology Agency (JST), Kyoto 619-0288, Japan.
Dis Model Mech. 2018 May 3;11(8):dmm032383. doi: 10.1242/dmm.032383.
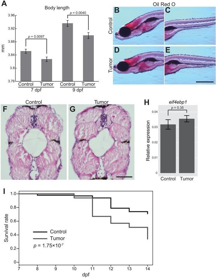
The nature of host organs and genes that underlie tumor-induced physiological disruption on the host remains ill-defined. Here, we establish a novel zebrafish intestinal tumor model that is suitable for addressing this issue, and find that hepatic , the rate-limiting factor for synthesizing bile acids [or, in the case of zebrafish, bile alcohol (BA)], is such a host gene. Inducing by specifically expressed in the posterior intestine resulted in the formation of an intestinal tumor. The local intestinal tumor caused systemic detrimental effects on the host, including liver inflammation, hepatomegaly, growth defects and organismal death. Whole-organism-level gene expression analysis and metabolite measurements revealed that the intestinal tumor reduced total BA levels, possibly via altered expression of hepatic Genetically overexpressing in the liver restored BA synthesis and ameliorated tumor-induced liver inflammation, but not other tumor-dependent phenotypes. Thus, we found a previously unknown role of as the host gene that links the intestinal tumor, hepatic cholesterol-BA metabolism and liver inflammation in tumor-bearing zebrafish larvae. Our model provides an important basis to discover host genes responsible for tumor-induced phenotypes and to uncover mechanisms underlying how tumors adversely affect host organisms.
肿瘤诱导宿主生理紊乱的宿主器官和基因的性质仍不清楚。在这里,我们建立了一种新的斑马鱼肠道肿瘤模型,适用于解决这个问题,我们发现肝脏,胆汁酸合成的限速因子[或者在斑马鱼的情况下,胆汁醇(BA)],就是这样一个宿主基因。通过在后部肠道特异性表达 来诱导 ,导致肠道肿瘤的形成。局部肠道肿瘤对宿主造成全身性的有害影响,包括肝脏炎症、肝肿大、生长缺陷和机体死亡。全器官水平的基因表达分析和代谢物测量表明,肠道肿瘤降低了总 BA 水平,可能是通过改变肝脏 的表达。在肝脏中过表达 恢复了 BA 的合成,并改善了肿瘤引起的肝脏炎症,但不能改善其他与肿瘤相关的表型。因此,我们发现了 作为宿主基因的一个先前未知的作用,它将肠道肿瘤、肝脏胆固醇-BA 代谢和肝脏炎症联系起来在携带肿瘤的斑马鱼幼虫中。我们的模型为发现与肿瘤诱导表型相关的宿主基因提供了重要基础,并揭示了肿瘤如何对宿主生物产生不利影响的机制。