• 文献检索
  • 文档翻译
  • 深度研究
  • 学术资讯
  • Suppr Zotero 插件Zotero 插件
  • 邀请有礼
  • 套餐&价格
  • 历史记录
应用&插件
Suppr Zotero 插件Zotero 插件浏览器插件Mac 客户端Windows 客户端微信小程序
定价
高级版会员购买积分包购买API积分包
服务
文献检索文档翻译深度研究API 文档MCP 服务
关于我们
关于 Suppr公司介绍联系我们用户协议隐私条款
关注我们

Suppr 超能文献

核心技术专利:CN118964589B侵权必究
粤ICP备2023148730 号-1Suppr @ 2026

文献检索

告别复杂PubMed语法,用中文像聊天一样搜索,搜遍4000万医学文献。AI智能推荐,让科研检索更轻松。

立即免费搜索

文件翻译

保留排版,准确专业,支持PDF/Word/PPT等文件格式,支持 12+语言互译。

免费翻译文档

深度研究

AI帮你快速写综述,25分钟生成高质量综述,智能提取关键信息,辅助科研写作。

立即免费体验

马缨丹杂草中马缨丹烯对豚鼠的亚慢性毒理病理学研究。

Sub-chronic toxicopathological study of lantadenes of Lantana camara weed in Guinea pigs.

作者信息

Kumar Rakesh, Sharma Rinku, Patil Rajendra D, Mal Gorakh, Kumar Adarsh, Patial Vikram, Kumar Pawan, Singh Bikram

机构信息

Disease Investigation Laboratory, ICAR-Indian Veterinary Research Institute, Regional Station, Palampur, Himachal Pradesh, India.

DGCN COVAS, CSK HPKV, Palampur, Himachal Pradesh, India.

出版信息

BMC Vet Res. 2018 Apr 13;14(1):129. doi: 10.1186/s12917-018-1444-x.

DOI:10.1186/s12917-018-1444-x
PMID:29653586
原文链接:https://pmc.ncbi.nlm.nih.gov/articles/PMC5899389/
Abstract

BACKGROUND

In the field conditions, animals regularly consume small quantities of lantana leaves either while grazing or due to mixing with regular fodder. The hypothesis of this study was that consumption of lantana toxins over a long period of time leads to progression of sub-clinical disease. Toxicopathological effects of sub-chronic (90 days) administration of lantadenes of L. camara were investigated in guinea pigs. For this, a total of 40 animals were divided into 5 groups whereby groups I, II, III and IV were orally administered lantadenes, daily at the dose of 24, 18, 12, and 6 mg/kg bw, respectively while group V was control. The animals were evaluated by weekly body weight changes, haematology, serum liver and kidney markers, tissue oxidative markers and histopathology.

RESULTS

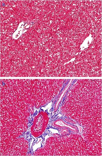
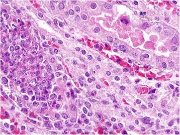
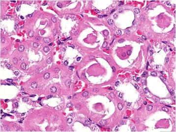
The results of significant decrease in weekly body weights, haematology, liver and kidney marker enzymes (alanine aminotransaminase, aspartate aminotransaminase, acid phosphatase and creatinine), oxidation stress markers (lipid peroxidation, reduced glutathione, superoxide dismutase and catalase) in liver and kidneys, histopathology, and confirmation of fibrous collagenous tissue proliferation by Masson's Trichome stain showed that lantadenes led to a dose-dependent toxicity in decreasing order with the highest dose (24 mg/kg bw) producing maximum lesions and the lowest dose (6 mg/kg bw) producing minimum alterations.

CONCLUSIONS

The study revealed that lantadenes which are considered to be classical hepatotoxicants in acute toxicity produced pronounced nephrotoxicity during sub-chronic exposure. Further studies are needed to quantify the levels of lantadenes in blood or serum of animals exposed to lantana in field conditions which would help to assess the extent of damage to the vital organs.

摘要

背景

在野外条件下,动物在放牧时或因与常规饲料混合而经常摄入少量马缨丹叶子。本研究的假设是,长期摄入马缨丹毒素会导致亚临床疾病的进展。在豚鼠中研究了马缨丹(L. camara)中马缨丹烯亚慢性(90天)给药的毒理病理学效应。为此,将总共40只动物分为5组,其中第I、II、III和IV组分别以24、18、12和6 mg/kg体重的剂量每日口服马缨丹烯,而第V组为对照组。通过每周体重变化、血液学、血清肝和肾标志物、组织氧化标志物和组织病理学对动物进行评估。

结果

每周体重、血液学、肝和肾标志物酶(丙氨酸转氨酶、天冬氨酸转氨酶、酸性磷酸酶和肌酐)、肝和肾中的氧化应激标志物(脂质过氧化、还原型谷胱甘肽、超氧化物歧化酶和过氧化氢酶)显著降低,组织病理学以及通过Masson三色染色证实纤维胶原组织增生,结果表明马缨丹烯导致剂量依赖性毒性,剂量从高到低依次递减,最高剂量(24 mg/kg体重)产生最大损伤,最低剂量(6 mg/kg体重)产生最小改变。

结论

该研究表明,在急性毒性中被认为是经典肝毒物的马缨丹烯在亚慢性暴露期间产生了明显的肾毒性。需要进一步研究来量化野外条件下接触马缨丹的动物血液或血清中马缨丹烯的水平,这将有助于评估对重要器官的损害程度。

https://cdn.ncbi.nlm.nih.gov/pmc/blobs/7ef4/5899389/c32a6b085c24/12917_2018_1444_Fig11_HTML.jpg
https://cdn.ncbi.nlm.nih.gov/pmc/blobs/7ef4/5899389/6e81f91049a6/12917_2018_1444_Fig1_HTML.jpg
https://cdn.ncbi.nlm.nih.gov/pmc/blobs/7ef4/5899389/a5d01d59ecd9/12917_2018_1444_Fig2_HTML.jpg
https://cdn.ncbi.nlm.nih.gov/pmc/blobs/7ef4/5899389/ae8c746c2170/12917_2018_1444_Fig3_HTML.jpg
https://cdn.ncbi.nlm.nih.gov/pmc/blobs/7ef4/5899389/0b8fad3299dd/12917_2018_1444_Fig4_HTML.jpg
https://cdn.ncbi.nlm.nih.gov/pmc/blobs/7ef4/5899389/e6df68b529bd/12917_2018_1444_Fig5_HTML.jpg
https://cdn.ncbi.nlm.nih.gov/pmc/blobs/7ef4/5899389/4e7ae20a8af7/12917_2018_1444_Fig6_HTML.jpg
https://cdn.ncbi.nlm.nih.gov/pmc/blobs/7ef4/5899389/e07d94825259/12917_2018_1444_Fig7_HTML.jpg
https://cdn.ncbi.nlm.nih.gov/pmc/blobs/7ef4/5899389/0d22ecfe80cd/12917_2018_1444_Fig8_HTML.jpg
https://cdn.ncbi.nlm.nih.gov/pmc/blobs/7ef4/5899389/b599f88f13a9/12917_2018_1444_Fig9_HTML.jpg
https://cdn.ncbi.nlm.nih.gov/pmc/blobs/7ef4/5899389/6b935d510939/12917_2018_1444_Fig10_HTML.jpg
https://cdn.ncbi.nlm.nih.gov/pmc/blobs/7ef4/5899389/c32a6b085c24/12917_2018_1444_Fig11_HTML.jpg
https://cdn.ncbi.nlm.nih.gov/pmc/blobs/7ef4/5899389/6e81f91049a6/12917_2018_1444_Fig1_HTML.jpg
https://cdn.ncbi.nlm.nih.gov/pmc/blobs/7ef4/5899389/a5d01d59ecd9/12917_2018_1444_Fig2_HTML.jpg
https://cdn.ncbi.nlm.nih.gov/pmc/blobs/7ef4/5899389/ae8c746c2170/12917_2018_1444_Fig3_HTML.jpg
https://cdn.ncbi.nlm.nih.gov/pmc/blobs/7ef4/5899389/0b8fad3299dd/12917_2018_1444_Fig4_HTML.jpg
https://cdn.ncbi.nlm.nih.gov/pmc/blobs/7ef4/5899389/e6df68b529bd/12917_2018_1444_Fig5_HTML.jpg
https://cdn.ncbi.nlm.nih.gov/pmc/blobs/7ef4/5899389/4e7ae20a8af7/12917_2018_1444_Fig6_HTML.jpg
https://cdn.ncbi.nlm.nih.gov/pmc/blobs/7ef4/5899389/e07d94825259/12917_2018_1444_Fig7_HTML.jpg
https://cdn.ncbi.nlm.nih.gov/pmc/blobs/7ef4/5899389/0d22ecfe80cd/12917_2018_1444_Fig8_HTML.jpg
https://cdn.ncbi.nlm.nih.gov/pmc/blobs/7ef4/5899389/b599f88f13a9/12917_2018_1444_Fig9_HTML.jpg
https://cdn.ncbi.nlm.nih.gov/pmc/blobs/7ef4/5899389/6b935d510939/12917_2018_1444_Fig10_HTML.jpg
https://cdn.ncbi.nlm.nih.gov/pmc/blobs/7ef4/5899389/c32a6b085c24/12917_2018_1444_Fig11_HTML.jpg

相似文献

1
Sub-chronic toxicopathological study of lantadenes of Lantana camara weed in Guinea pigs.马缨丹杂草中马缨丹烯对豚鼠的亚慢性毒理病理学研究。
BMC Vet Res. 2018 Apr 13;14(1):129. doi: 10.1186/s12917-018-1444-x.
2
Hepatoprotective effect of Ginkgo biloba leaf extract on lantadenes-induced hepatotoxicity in guinea pigs.银杏叶提取物对拉坦前列素致豚鼠肝毒性的保护作用。
Toxicon. 2014 Apr;81:1-12. doi: 10.1016/j.toxicon.2014.01.013. Epub 2014 Jan 25.
3
A review of the hepatotoxic plant Lantana camara.对具有肝毒性的植物马缨丹的综述。
Crit Rev Toxicol. 2007 May;37(4):313-52. doi: 10.1080/10408440601177863.
4
Biotransformation of lantadenes, the pentacyclic triterpenoid hepatotoxins of lantana plant, in guinea pig.马缨丹属植物五环三萜类肝毒素马缨丹烯在豚鼠体内的生物转化
Toxicon. 2000 Sep;38(9):1191-202. doi: 10.1016/s0041-0101(99)00204-4.
5
Comparison of lantadenes content and toxicity of different taxa of the lantana plant.比较不同鸡屎藤植物Taxa 的拉坦尼含量和毒性。
J Chem Ecol. 1991 Nov;17(11):2283-91. doi: 10.1007/BF00988008.
6
Effect of Lantana camara toxicity on lipid peroxidation in guinea pig tissues.
Res Commun Chem Pathol Pharmacol. 1982 Oct;38(1):153-6.
7
Toxicity of isolated Lantana (Lantana camara L) constituents to male and female guinea pigs.
Vet Hum Toxicol. 1989 Feb;31(1):10-3.
8
Evaluation of liver function impairment and lipid peroxidation induced by lantana camara leaf powder administration in adult rat serum and liver.马缨丹叶粉给药对成年大鼠血清和肝脏肝功能损害及脂质过氧化的评估。
Cell Mol Biol (Noisy-le-grand). 2007 May 30;53(5):79-83.
9
Review of the biochemical effects of Lantana camara toxicity.马缨丹毒性的生化效应综述。
Vet Hum Toxicol. 1984 Dec;26(6):488-93.
10
Protective effects of vitamin C and selenium supplementation on methomyl-induced tissue oxidative stress in adult rats.补充维生素C和硒对灭多威诱导的成年大鼠组织氧化应激的保护作用。
Toxicol Ind Health. 2015 Jan;31(1):31-43. doi: 10.1177/0748233712468020. Epub 2012 Dec 6.

引用本文的文献

1
Phytotoxicological study of selected poisonous plants from Azad Jammu & Kashmir.阿扎德查谟和克什米尔选定有毒植物的植物毒理学研究。
PLoS One. 2022 May 11;17(5):e0263605. doi: 10.1371/journal.pone.0263605. eCollection 2022.
2
Essential Oils as a Feed Additives: Pharmacokinetics and Potential Toxicity in Monogastric Animals.作为饲料添加剂的精油:单胃动物的药代动力学和潜在毒性
Animals (Basel). 2019 Jun 13;9(6):352. doi: 10.3390/ani9060352.

本文引用的文献

1
Hepatoprotective effect of Ginkgo biloba leaf extract on lantadenes-induced hepatotoxicity in guinea pigs.银杏叶提取物对拉坦前列素致豚鼠肝毒性的保护作用。
Toxicon. 2014 Apr;81:1-12. doi: 10.1016/j.toxicon.2014.01.013. Epub 2014 Jan 25.
2
Comparison of lantadenes content and toxicity of different taxa of the lantana plant.比较不同鸡屎藤植物Taxa 的拉坦尼含量和毒性。
J Chem Ecol. 1991 Nov;17(11):2283-91. doi: 10.1007/BF00988008.
3
Histological and histochemical alterations in the liver induced by lead chronic toxicity.慢性铅中毒对肝脏的组织学和组织化学改变。
Saudi J Biol Sci. 2012 Apr;19(2):203-10. doi: 10.1016/j.sjbs.2011.12.005. Epub 2012 Jan 5.
4
Principles for valid histopathologic scoring in research.研究中有效组织病理学评分的原则。
Vet Pathol. 2013 Nov;50(6):1007-15. doi: 10.1177/0300985813485099. Epub 2013 Apr 4.
5
A review of the hepatotoxic plant Lantana camara.对具有肝毒性的植物马缨丹的综述。
Crit Rev Toxicol. 2007 May;37(4):313-52. doi: 10.1080/10408440601177863.
6
Role of Kupffer cells in the pathogenesis of liver disease.库普弗细胞在肝脏疾病发病机制中的作用。
World J Gastroenterol. 2006 Dec 14;12(46):7413-20. doi: 10.3748/wjg.v12.i46.7413.
7
Modulation of Kupffer cell activity: physio-pathological consequences on hepatic metabolism.库普弗细胞活性的调节:对肝脏代谢的生理病理影响
Bull Mem Acad R Med Belg. 2004;159(5-6):358-66.
8
Protein measurement with the Folin phenol reagent.使用福林酚试剂进行蛋白质测定。
J Biol Chem. 1951 Nov;193(1):265-75.
9
Quercetin, a flavonoid antioxidant, prevents and protects against ethanol-induced oxidative stress in mouse liver.槲皮素,一种类黄酮抗氧化剂,可预防并保护小鼠肝脏免受乙醇诱导的氧化应激损伤。
Biol Pharm Bull. 2003 Oct;26(10):1398-402. doi: 10.1248/bpb.26.1398.
10
Biotransformation of lantadenes, the pentacyclic triterpenoid hepatotoxins of lantana plant, in guinea pig.马缨丹属植物五环三萜类肝毒素马缨丹烯在豚鼠体内的生物转化
Toxicon. 2000 Sep;38(9):1191-202. doi: 10.1016/s0041-0101(99)00204-4.