Suppr超能文献

Pulmonary Mucormycosis in Chronic Lymphocytic Leukemia and Neutropenia.

作者信息

Mir Izza, Basnet Sijan, Ellsworth David, Mohanty Elan

机构信息

Department of Medicine, Reading Health System, 420 S. Fifth Avenue, West Reading, PA 19611, USA.

出版信息

Case Rep Infect Dis. 2018 Feb 19;2018:2658083. doi: 10.1155/2018/2658083. eCollection 2018.

Abstract

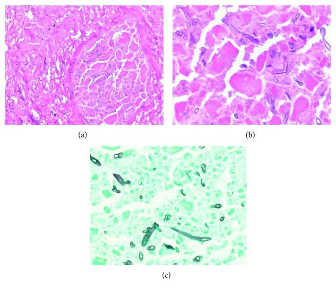
Pulmonary mucormycosis is a rare life-threatening fungal infection associated with high mortality. We present the case of a 61-year-old man with history of chronic lymphocytic leukemia who presented with fever and cough, eventually diagnosed with pulmonary mucormycosis after right lung video-assisted thoracoscopic surgery. The patient was successfully treated with amphotericin B and right lung pneumonectomy; however, he later died from left lung pneumonia.

摘要
https://cdn.ncbi.nlm.nih.gov/pmc/blobs/ef12/5836449/8acb79bc1f20/CRIID2018-2658083.001.jpg

文献AI研究员

20分钟写一篇综述,助力文献阅读效率提升50倍。

立即体验

用中文搜PubMed

大模型驱动的PubMed中文搜索引擎

马上搜索

文档翻译

学术文献翻译模型,支持多种主流文档格式。

立即体验