• 文献检索
  • 文档翻译
  • 深度研究
  • 学术资讯
  • Suppr Zotero 插件Zotero 插件
  • 邀请有礼
  • 套餐&价格
  • 历史记录
应用&插件
Suppr Zotero 插件Zotero 插件浏览器插件Mac 客户端Windows 客户端微信小程序
定价
高级版会员购买积分包购买API积分包
服务
文献检索文档翻译深度研究API 文档MCP 服务
关于我们
关于 Suppr公司介绍联系我们用户协议隐私条款
关注我们

Suppr 超能文献

核心技术专利:CN118964589B侵权必究
粤ICP备2023148730 号-1Suppr @ 2026

文献检索

告别复杂PubMed语法,用中文像聊天一样搜索,搜遍4000万医学文献。AI智能推荐,让科研检索更轻松。

立即免费搜索

文件翻译

保留排版,准确专业,支持PDF/Word/PPT等文件格式,支持 12+语言互译。

免费翻译文档

深度研究

AI帮你快速写综述,25分钟生成高质量综述,智能提取关键信息,辅助科研写作。

立即免费体验

皮肤淋巴管癌病使一名患有上腔静脉综合征的患者出现难治性颈面部水肿。

Cutaneous lymphangitis carcinomatosa made cervicofacial oedema intractable in a patient with superior vena cava syndrome.

作者信息

Kashihara Eriko, Kanai Osamu, Okamura Misato, Mio Tadashi

机构信息

Division of General Medicine, National Hospital Organization Kyoto Medical Center, Kyoto, Japan.

Division of Respiratory Medicine, National Hospital Organization Kyoto Medical Center, Kyoto, Japan.

出版信息

BMJ Case Rep. 2018 Apr 19;2018:bcr-2018-224206. doi: 10.1136/bcr-2018-224206.

DOI:10.1136/bcr-2018-224206
PMID:29674402
原文链接:https://pmc.ncbi.nlm.nih.gov/articles/PMC5911095/
Abstract

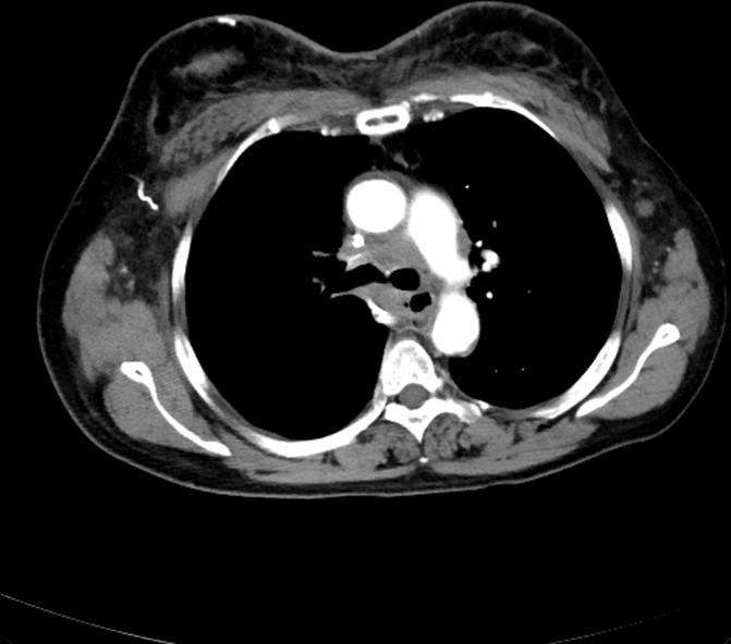
Cutaneous lymphangitis carcinomatosa (CLC) is a rare form of cutaneous metastasis that causes lymphoedema and various eruptions. We report a case of lung cancer with CLC that caused both superior vena cava (SVC) stenosis and cervicofacial oedema, suggestive of SVC syndrome. A 64-year-old woman with lung adenocarcinoma presented with cervicofacial oedema and erythema, followed by severe dyspnoea 2 months after four cycles of carboplatin, pemetrexed and bevacizumab triplet therapy. Although chest CT indicated SVC stenosis, cervicofacial oedema remained despite treating the SVC stenosis via balloon dilation. A skin biopsy of the erythematic sample confirmed CLC as the cause of the patient's symptoms. CLC should be considered as a differential diagnosis of cervicofacial oedema in addition to SVC syndrome, especially when it is observed in combination with skin erythema and induration. Moreover, a skin biopsy should be performed promptly for accurate diagnosis of CLC and to decide on appropriate treatment.

摘要

皮肤淋巴管癌病(CLC)是一种罕见的皮肤转移形式,可导致淋巴水肿和各种皮疹。我们报告一例患有CLC的肺癌病例,该病例导致上腔静脉(SVC)狭窄和颈面部水肿,提示SVC综合征。一名64岁的肺腺癌女性患者在接受四个周期的卡铂、培美曲塞和贝伐单抗三联疗法后2个月,出现颈面部水肿和红斑,随后出现严重呼吸困难。尽管胸部CT显示SVC狭窄,但尽管通过球囊扩张治疗了SVC狭窄,颈面部水肿仍持续存在。对红斑样本进行皮肤活检证实CLC是患者症状的病因。除SVC综合征外,CLC也应被视为颈面部水肿的鉴别诊断,尤其是当它与皮肤红斑和硬结同时出现时。此外,应及时进行皮肤活检以准确诊断CLC并决定适当的治疗方法。

https://cdn.ncbi.nlm.nih.gov/pmc/blobs/19f8/5911095/d42f645a9fd5/bcr-2018-224206f04.jpg
https://cdn.ncbi.nlm.nih.gov/pmc/blobs/19f8/5911095/91d5d3b0ceed/bcr-2018-224206f01.jpg
https://cdn.ncbi.nlm.nih.gov/pmc/blobs/19f8/5911095/ab7da33bc519/bcr-2018-224206f02.jpg
https://cdn.ncbi.nlm.nih.gov/pmc/blobs/19f8/5911095/cb9a28bac193/bcr-2018-224206f03.jpg
https://cdn.ncbi.nlm.nih.gov/pmc/blobs/19f8/5911095/d42f645a9fd5/bcr-2018-224206f04.jpg
https://cdn.ncbi.nlm.nih.gov/pmc/blobs/19f8/5911095/91d5d3b0ceed/bcr-2018-224206f01.jpg
https://cdn.ncbi.nlm.nih.gov/pmc/blobs/19f8/5911095/ab7da33bc519/bcr-2018-224206f02.jpg
https://cdn.ncbi.nlm.nih.gov/pmc/blobs/19f8/5911095/cb9a28bac193/bcr-2018-224206f03.jpg
https://cdn.ncbi.nlm.nih.gov/pmc/blobs/19f8/5911095/d42f645a9fd5/bcr-2018-224206f04.jpg

相似文献

1
Cutaneous lymphangitis carcinomatosa made cervicofacial oedema intractable in a patient with superior vena cava syndrome.皮肤淋巴管癌病使一名患有上腔静脉综合征的患者出现难治性颈面部水肿。
BMJ Case Rep. 2018 Apr 19;2018:bcr-2018-224206. doi: 10.1136/bcr-2018-224206.
2
Folliculotropic Cutaneous Metastases and Lymphangitis Carcinomatosa: When Cutaneous Metastases of Breast Carcinoma Are Mistaken for Cutaneous Infections.毛囊性皮肤转移瘤和癌性淋巴管炎:乳腺癌皮肤转移被误诊为皮肤感染时的情况。
Acta Dermatovenerol Croat. 2016 Jun;24(2):154-7.
3
[A Patient with Lung Adenocarcinoma, Lymphangitis Carcinomatosa, and Multiple Bone Metastases Who Achieved Long-Term Survival after Successful Treatment with Carboplatin, Paclitaxel, and Bevacizumab].[一名肺腺癌、癌性淋巴管炎和多发骨转移患者经卡铂、紫杉醇和贝伐单抗成功治疗后实现长期生存]
Gan To Kagaku Ryoho. 2016 May;43(5):617-20.
4
[A rare case of lymphangitis carcinomatosa of the lung due to primary pulmonary adenocarcinoma with intestinal differentiation successfully treated with chemotherapy].[原发性肺腺癌伴肠化生导致肺淋巴管癌病1例罕见病例经化疗成功治疗]
Gan To Kagaku Ryoho. 2015 Mar;42(3):371-4.
5
Superior vena cava syndrome in a patient with locally advanced lung cancer with good response to definitive chemoradiation: a case report.局部晚期肺癌患者发生上腔静脉综合征且对根治性放化疗反应良好:一例报告
J Med Case Rep. 2018 Oct 20;12(1):301. doi: 10.1186/s13256-018-1843-4.
6
Cutaneous lymphangitis carcinomatosa in a patient with lung adenocarcinoma: case report and literature review.肺腺癌患者皮肤癌性淋巴管炎:病例报告及文献复习。
Lung Cancer. 2013 Jan;79(1):91-3. doi: 10.1016/j.lungcan.2012.09.009. Epub 2012 Nov 17.
7
Successful management of cutaneous lymphangitis carcinomatosa arising from cervical cancer with paclitaxel-cisplatin and bevacizumab combination therapy: a case report and review of the literature.紫杉醇-顺铂联合贝伐单抗治疗宫颈癌所致皮肤淋巴管癌性炎的成功管理:一例报告并文献复习
J Med Case Rep. 2019 Nov 7;13(1):328. doi: 10.1186/s13256-019-2262-x.
8
Superior vena cava syndrome caused by colon adenocarcinoma metastasis: a case report and review of literature.结肠腺癌转移所致上腔静脉综合征:1例报告并文献复习
Conn Med. 2012 Feb;76(2):77-80.
9
[Superior vena cava syndrome: Catheter association as a rare cause].[上腔静脉综合征:导管相关性作为一种罕见病因]
Dtsch Med Wochenschr. 2006 Dec 8;131(49):2774-6. doi: 10.1055/s-2006-957182.
10
Superior vena cava syndrome caused by invasive epidermoid carcinoma.侵袭性表皮样癌导致的上腔静脉综合征
J Cardiovasc Surg (Torino). 2000 Jun;41(3):499-501.

引用本文的文献

1
[Zosteriform lesion in an oncology patient].[一名肿瘤患者的带状疱疹样皮损]
Aten Primaria. 2020 May;52(5):359-360. doi: 10.1016/j.aprim.2019.08.007. Epub 2019 Nov 17.

本文引用的文献

1
Real-world Efficacy and Safety of Nivolumab for Advanced Non-Small-cell Lung Cancer: A Retrospective Multicenter Analysis.纳武利尤单抗治疗晚期非小细胞肺癌的真实世界疗效和安全性:一项回顾性多中心分析。
Clin Lung Cancer. 2018 May;19(3):e349-e358. doi: 10.1016/j.cllc.2018.01.001. Epub 2018 Jan 5.
2
Osimertinib in Untreated EGFR-Mutated Advanced Non-Small-Cell Lung Cancer.奥希替尼治疗未经治疗的 EGFR 突变型晚期非小细胞肺癌。
N Engl J Med. 2018 Jan 11;378(2):113-125. doi: 10.1056/NEJMoa1713137. Epub 2017 Nov 18.
3
Osimertinib in Pretreated T790M-Positive Advanced Non-Small-Cell Lung Cancer: AURA Study Phase II Extension Component.
奥希替尼治疗预处理 T790M 阳性的晚期非小细胞肺癌:AURA 研究二期扩展部分。
J Clin Oncol. 2017 Apr 20;35(12):1288-1296. doi: 10.1200/JCO.2016.70.3223. Epub 2017 Feb 21.
4
Blue Lymphangitis of the Breast after Breast Cancer: Case Report.乳腺癌术后乳腺蓝色淋巴管炎:病例报告
Breast J. 2017 May;23(3):348-351. doi: 10.1111/tbj.12738. Epub 2016 Dec 3.
5
Osimertinib for pretreated EGFR Thr790Met-positive advanced non-small-cell lung cancer (AURA2): a multicentre, open-label, single-arm, phase 2 study.奥希替尼治疗预处理 EGFR Thr790Met 阳性的晚期非小细胞肺癌(AURA2):一项多中心、开放标签、单臂、2 期研究。
Lancet Oncol. 2016 Dec;17(12):1643-1652. doi: 10.1016/S1470-2045(16)30508-3. Epub 2016 Oct 14.
6
Review of evolving etiologies, implications and treatment strategies for the superior vena cava syndrome.上腔静脉综合征不断演变的病因、影响及治疗策略综述
Springerplus. 2016 Feb 29;5:229. doi: 10.1186/s40064-016-1900-7. eCollection 2016.
7
Cutaneous lymphangitis carcinomatosa in a patient with lung adenocarcinoma: case report and literature review.肺腺癌患者皮肤癌性淋巴管炎:病例报告及文献复习。
Lung Cancer. 2013 Jan;79(1):91-3. doi: 10.1016/j.lungcan.2012.09.009. Epub 2012 Nov 17.
8
Cutaneous metastasis from lung cancer: retrospective analysis of 30 patients.肺癌皮肤转移:30 例患者的回顾性分析。
Australas J Dermatol. 2012 Nov;53(4):288-90. doi: 10.1111/j.1440-0960.2011.00828.x. Epub 2011 Nov 15.
9
Cutaneous metastasis of lung carcinoma: a retrospective study of 12 cases.肺癌皮肤转移:12 例回顾性研究。
J Eur Acad Dermatol Venereol. 2011 Jun;25(6):722-6. doi: 10.1111/j.1468-3083.2010.03818.x. Epub 2010 Aug 23.
10
Cancer-related secondary lymphoedema due to cutaneous lymphangitis carcinomatosa: clinical presentations and review of literature.癌症相关性继发性淋巴水肿继发于皮肤淋巴管癌病:临床特征及文献复习。
Eur J Cancer Care (Engl). 2010 Sep;19(5):669-75. doi: 10.1111/j.1365-2354.2009.01102.x. Epub 2009 Dec 17.