• 文献检索
  • 文档翻译
  • 深度研究
  • 学术资讯
  • Suppr Zotero 插件Zotero 插件
  • 邀请有礼
  • 套餐&价格
  • 历史记录
应用&插件
Suppr Zotero 插件Zotero 插件浏览器插件Mac 客户端Windows 客户端微信小程序
定价
高级版会员购买积分包购买API积分包
服务
文献检索文档翻译深度研究API 文档MCP 服务
关于我们
关于 Suppr公司介绍联系我们用户协议隐私条款
关注我们

Suppr 超能文献

核心技术专利:CN118964589B侵权必究
粤ICP备2023148730 号-1Suppr @ 2026

文献检索

告别复杂PubMed语法,用中文像聊天一样搜索,搜遍4000万医学文献。AI智能推荐,让科研检索更轻松。

立即免费搜索

文件翻译

保留排版,准确专业,支持PDF/Word/PPT等文件格式,支持 12+语言互译。

免费翻译文档

深度研究

AI帮你快速写综述,25分钟生成高质量综述,智能提取关键信息,辅助科研写作。

立即免费体验

因脓液潴留导致的透明隔腔假性原发性脓肿:一例罕见病例报告

Pseudo Primary Abscess of the Cavum Septum Pellucidum due to Pus Entrapment: A Rare Case Report.

作者信息

Ansari Ahmed, Gandhi Ashok, Mittal R S, Sharma Achal

机构信息

Department of Neurosurgery, SMS Medical College, Jaipur, Rajasthan, India.

出版信息

Asian J Neurosurg. 2018 Apr-Jun;13(2):394-395. doi: 10.4103/1793-5482.228514.

DOI:10.4103/1793-5482.228514
PMID:29682041
原文链接:https://pmc.ncbi.nlm.nih.gov/articles/PMC5898112/
Abstract

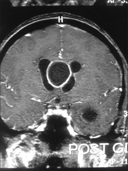
The cavum septum pellucidum (CSP) is defined as a crevice-like space of variable width between the left and right transparent septum. In this report, a rare case of pseudo primary abscess formed in the CSP due to ventriculitis is presented.

摘要

透明隔腔(CSP)被定义为左右透明隔之间宽度可变的缝隙样间隙。在本报告中,介绍了一例因脑室炎在透明隔腔形成假性原发性脓肿的罕见病例。

https://cdn.ncbi.nlm.nih.gov/pmc/blobs/8f7d/5898112/03d506a6125d/AJNS-13-394-g004.jpg
https://cdn.ncbi.nlm.nih.gov/pmc/blobs/8f7d/5898112/e491e8066091/AJNS-13-394-g001.jpg
https://cdn.ncbi.nlm.nih.gov/pmc/blobs/8f7d/5898112/0f14b160158b/AJNS-13-394-g002.jpg
https://cdn.ncbi.nlm.nih.gov/pmc/blobs/8f7d/5898112/e17b2f21a74c/AJNS-13-394-g003.jpg
https://cdn.ncbi.nlm.nih.gov/pmc/blobs/8f7d/5898112/03d506a6125d/AJNS-13-394-g004.jpg
https://cdn.ncbi.nlm.nih.gov/pmc/blobs/8f7d/5898112/e491e8066091/AJNS-13-394-g001.jpg
https://cdn.ncbi.nlm.nih.gov/pmc/blobs/8f7d/5898112/0f14b160158b/AJNS-13-394-g002.jpg
https://cdn.ncbi.nlm.nih.gov/pmc/blobs/8f7d/5898112/e17b2f21a74c/AJNS-13-394-g003.jpg
https://cdn.ncbi.nlm.nih.gov/pmc/blobs/8f7d/5898112/03d506a6125d/AJNS-13-394-g004.jpg

相似文献

1
Pseudo Primary Abscess of the Cavum Septum Pellucidum due to Pus Entrapment: A Rare Case Report.因脓液潴留导致的透明隔腔假性原发性脓肿:一例罕见病例报告
Asian J Neurosurg. 2018 Apr-Jun;13(2):394-395. doi: 10.4103/1793-5482.228514.
2
Abscess of the cavum septum pellucidum.透明隔腔脓肿
Pediatr Radiol. 2003 Jul;33(7):503-5. doi: 10.1007/s00247-003-0925-6. Epub 2003 Apr 18.
3
Empyema of the cavum septum pellucidum.透明隔腔积脓
Pediatr Neurol. 2002 May;26(5):391-3. doi: 10.1016/s0887-8994(01)00399-x.
4
Sonographic appearance of the cavum septum pellucidum et vergae in normal fetuses in the second and third trimesters of pregnancy.妊娠中晚期正常胎儿透明隔腔及穹窿间腔的超声表现。
J Clin Ultrasound. 2013 Nov-Dec;41(9):525-31. doi: 10.1002/jcu.22084. Epub 2013 Aug 27.
5
Cavum septum pellucidum and vergae cyst: A symptomatic case with intracranial hypertension and multiple nerve involvement.透明隔腔和Vergae囊肿:一例伴有颅内高压和多神经受累的症状性病例。
Surg Neurol Int. 2022 Dec 2;13:564. doi: 10.25259/SNI_822_2022. eCollection 2022.
6
Conservative treatment of cysts of the cavum septum pellucidum presenting in childhood: report of 3 cases.儿童透明隔腔囊肿的保守治疗:3例报告
J Neurosurg Pediatr. 2015 Sep;16(3):283-6. doi: 10.3171/2015.3.PEDS14714. Epub 2015 Jun 19.
7
Multi-slice computed tomography appearance of abscess of cavum septum pellucidum: a case report and review of the literature.
Acta Radiol. 2006 Apr;47(3):301-2. doi: 10.1080/02841850500492449.
8
Cavum septum pellucidum in a case of schizophrenia presenting with self-mutilating behavior.一名伴有自残行为的精神分裂症患者的透明隔腔
Ind Psychiatry J. 2015 Jan-Jun;24(1):76-8. doi: 10.4103/0972-6748.160940.
9
[Cysts of septum pellucidum, cavum vergae and cavum veli interpositi. Meta-analysis of 368 cases].[透明隔囊肿、韦尔加腔和中间帆腔。368例的荟萃分析]
Zh Vopr Neirokhir Im N N Burdenko. 2020;84(4):111-118. doi: 10.17116/neiro202084041111.
10
The size and prevalence of the cavum septum pellucidum are normal in subjects with panic disorder.在恐慌症患者中,透明隔腔的大小和发生率是正常的。
Braz J Med Biol Res. 2004 Mar;37(3):371-4. doi: 10.1590/s0100-879x2004000300013. Epub 2004 Mar 3.

本文引用的文献

1
Epidermoid cyst of the cavum septum pellucidum.透明隔腔表皮样囊肿
Acta Neurochir (Wien). 2007 Dec;149(12):1271-2; discussion 1272. doi: 10.1007/s00701-007-1290-2. Epub 2007 Oct 29.
2
Spontaneous regression of a cystic cavum septum pellucidum.透明隔囊肿的自发消退。
Acta Neurochir (Wien). 2006 Nov;148(11):1209-11. doi: 10.1007/s00701-006-0903-5. Epub 2006 Oct 9.
3
Empyema of the cavum septum pellucidum.透明隔腔积脓
Pediatr Neurol. 2002 May;26(5):391-3. doi: 10.1016/s0887-8994(01)00399-x.
4
Cerebrospinal fluid dynamics of the cava septi pellucidi and vergae. Case report.透明隔腔和Vergae腔的脑脊液动力学。病例报告。
J Neurosurg. 2001 Jan;94(1):127-9. doi: 10.3171/jns.2001.94.1.0127.
5
Spontaneous regression of a cyst of the cavum septi pellucidi.透明隔腔囊肿的自然消退
Neuroradiology. 2000 May;42(5):360-2. doi: 10.1007/s002340050899.
6
Expanding cyst of the septum pellucidum. Case report.透明隔囊肿扩大。病例报告。
J Neurosurg. 1996 Dec;85(6):1127-34. doi: 10.3171/jns.1996.85.6.1127.
7
On the cavum septi pellucidi and the cavum Vergae.关于透明隔腔和韦尔加腔。
Anat Anz. 1986;162(4):271-8.
8
[Empyema of cavum septi pellucidi and cavum vergae--case report].透明隔腔和Verga腔积脓——病例报告
No Shinkei Geka. 1986 Sep;14(10):1271-4.