Suppr超能文献

同时性多器官未成熟畸胎瘤:1例报告并文献复习

Simultaneous multiple organs immature teratomas: a case report and literature review.

作者信息

Aghajanzadeh Manouchehr, Hemmati Hossein, Esmaeili Delshad Mohammad Sadegh, Rimaz Siamak, Mosaffaee Rad Omid, Jafaryparvar Zakiyeh

机构信息

Inflammatory lung diseases research Center, Razi Hospital, Guilan University of Medical Sciences, Rasht, Iran.

Vascular Surgery and Dialysis Research Center, Guilan University of Medical Sciences, Rasht, Iran.

出版信息

Oxf Med Case Reports. 2018 Apr 19;2018(4):omy006. doi: 10.1093/omcr/omy006. eCollection 2018 Apr.

Abstract

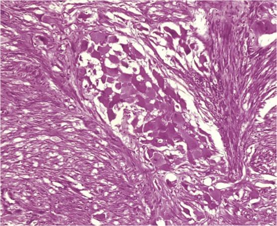
Primary simultaneous multiple organs teratomas are extremely rare. They usually arise in the gonads, and only 1-3 % of them arise in the mediastinum. We present a case of simultaneous multiple organs immature teratomas who was admitted to Razi hospital because of cough, dyspnea, and left-side supraclavicular mass. Computed tomography (CT) showed a big mass with multiple high densities, nodular, semi-solid, heterogenic structures on the left side of the neck, left-side anterior mediastinum, right-side middle mediastinum and right-side suprarenal region. CT-guided needle biopsy was performed and histopathological study showed immature teratoma. After performing neoadjuvant therapy, the tumors were removed. The patient underwent chemo radiation therapy on the mediastinum and abdomen. On 6-months follow-up, he was asymptomatic. This case is being reported because of the rarity of multiple organs immature teratomas and informing other clinicians about managing these cases.

摘要

原发性同时性多器官畸胎瘤极为罕见。它们通常起源于性腺,其中仅有1% - 3%起源于纵隔。我们报告一例同时性多器官未成熟畸胎瘤病例,该患者因咳嗽、呼吸困难及左侧锁骨上肿块入住拉齐医院。计算机断层扫描(CT)显示,在颈部左侧、左侧前纵隔、右侧中纵隔及右侧肾上腺区域有一个巨大肿块,具有多个高密度、结节状、半实性、异质性结构。进行了CT引导下针吸活检,组织病理学研究显示为未成熟畸胎瘤。在进行新辅助治疗后,切除了肿瘤。患者接受了纵隔和腹部的放化疗。在6个月的随访中,他没有症状。报告此病例是因为多器官未成熟畸胎瘤罕见,并向其他临床医生通报此类病例的处理方法。

https://cdn.ncbi.nlm.nih.gov/pmc/blobs/0299/5909463/0658d5b842cd/omy006f01.jpg

相似文献

1
Simultaneous multiple organs immature teratomas: a case report and literature review.
Oxf Med Case Reports. 2018 Apr 19;2018(4):omy006. doi: 10.1093/omcr/omy006. eCollection 2018 Apr.
4
Adrenal and Mesenteric Teratomas in Infants: Common Tumors in Uncommon Sites.
J Indian Assoc Pediatr Surg. 2022 May-Jun;27(3):354-356. doi: 10.4103/jiaps.JIAPS_26_21. Epub 2022 May 12.
5
Immature teratoma in both mediastinum and liver of a 21-Year-old female patient.
Acta Med Austriaca. 2003;30(1):26-8. doi: 10.1046/j.1563-2571.2003.02024.x.
6
Benign clinical behavior of immature mediastinal teratoma in infancy and childhood: report of two cases and review of the literature.
Cancer. 1982 Jan 15;49(2):398-402. doi: 10.1002/1097-0142(19820115)49:2<398::aid-cncr2820490231>3.0.co;2-b.
8
Cough, Hemoptysis and Hair Expectoration: An Intrapulmonary Teratoma.
J Coll Physicians Surg Pak. 2018 Mar;28(3):243-244. doi: 10.29271/jcpsp.2018.03.243.
9
A giant teratoma in the anterior mediastinum found prenatally: A case report.
Front Pediatr. 2023 Mar 13;11:1128947. doi: 10.3389/fped.2023.1128947. eCollection 2023.

本文引用的文献

1
Extragonadal teratomas of the adult abdomen and pelvis: a pictorial review.
Br J Radiol. 2014 Sep;87(1041):20140116. doi: 10.1259/bjr.20140116. Epub 2014 Jul 1.
2
Anterior mediastinal teratoma- a case report with review of literature.
Indian J Surg. 2013 Jun;75(Suppl 1):182-4. doi: 10.1007/s12262-012-0569-6. Epub 2012 Jun 21.
3
Double whammy - mediastinal and ovarian teratoma: a rare clinical co-existence.
J Thorac Dis. 2012 Aug;4(4):434-6. doi: 10.3978/j.issn.2072-1439.2012.03.09.
4
Head and neck teratomas in children: a case series.
Indian J Otolaryngol Head Neck Surg. 2011 Apr;63(2):193-7. doi: 10.1007/s12070-011-0224-8. Epub 2011 Apr 19.
5
Immature teratoma in both mediastinum and liver of a 21-Year-old female patient.
Acta Med Austriaca. 2003;30(1):26-8. doi: 10.1046/j.1563-2571.2003.02024.x.
6
Ovarian teratomas: tumor types and imaging characteristics.
Radiographics. 2001 Mar-Apr;21(2):475-90. doi: 10.1148/radiographics.21.2.g01mr09475.
8
Posterior mediastinal teratoma with abdominal extension.
Thorax. 1990 Oct;45(10):773-4. doi: 10.1136/thx.45.10.773.

文献AI研究员

20分钟写一篇综述,助力文献阅读效率提升50倍。

立即体验

用中文搜PubMed

大模型驱动的PubMed中文搜索引擎

马上搜索

文档翻译

学术文献翻译模型,支持多种主流文档格式。

立即体验