Suppr超能文献

内皮细胞AIP1通过抑制NADPH氧化酶-2调节血管重塑。

Endothelial AIP1 Regulates Vascular Remodeling by Suppressing NADPH Oxidase-2.

作者信息

Zhang Jiqin, Chen Chaofei, Li Li, Zhou Huanjiao J, Li Fenghe, Zhang Haifeng, Yu Luyang, Chen Yuxin, Min Wang

机构信息

Center for Translational Medicine, The First Affiliated Hospital, Sun Yat-sen University, Guangzhou, China.

Department of Pathology and The Vascular Biology and Therapeutics Program, Yale University School of Medicine, New Haven, CT, United States.

出版信息

Front Physiol. 2018 Apr 20;9:396. doi: 10.3389/fphys.2018.00396. eCollection 2018.

Abstract

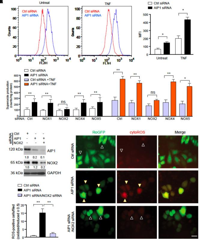
AIP1 expression is downregulated in human atherosclerotic plaques and global deletion of AIP1 in mice exacerbates atherosclerosis in ApoE-KO mouse models. However, the direct role of AIP1 in endothelium, vascular remodeling and associated vascular diseases has not been determined. We used endothelial cell (EC)-specific AIP1-deficient (AIP1-ECKO) mice to define the role of AIP1 in vascular remodeling and intima-media thickening in a mouse carotid artery ligation model characterized by both neointimal hyperplasia and inward vessel remodeling. Compared to WT littermates, AIP1-ECKO mice had 2.2-fold larger intima area and 4.4-fold thicker intima as measured by intima/media ratio in arteries with more proliferating vascular smooth muscle cells (VSMCs) at week 2-4 post-injury. Increased reactive oxygen species (ROS) in endothelium at early time points induced inflammation and vessel dysfunction in AIP1-ECKO prior to VSMC accumulations. Moreover, knockdown of AIP1 in human EC enhanced ROS generation which was attenuated by co-silencing of NOX2. Mechanistically, AIP1 via its proline-rich region binds to the SH3 domain of cytosolic subunit p47phox to disrupt formation of an active NOX2 complex, attenuating ROS production. Our study supports that AIP1 regulates vascular remodeling with intima-media thickening by suppressing endothelial NOX2-dependent oxidative stress. •In a carotid ligation model, endothelial cell (EC)-specific AIP1-deficient (AIP1-ECKO) mice had much larger media area, thicker vessel wall and augmented neointima formation.•Increased production of reactive oxygen species in vascular EC at early time points concomitant with vessel dysfunction in AIP1-ECKO.•AIP1 via its proline-rich region binds to the SH3 domain of cytosolic subunit p47phox to disrupt formation of an active NOX2 complex, attenuating ROS production.

摘要

AIP1在人类动脉粥样硬化斑块中的表达下调,在小鼠中全局敲除AIP1会加剧载脂蛋白E基因敲除(ApoE-KO)小鼠模型中的动脉粥样硬化。然而,AIP1在内皮细胞、血管重塑及相关血管疾病中的直接作用尚未明确。我们使用内皮细胞(EC)特异性AIP1缺陷(AIP1-ECKO)小鼠,在一个以新生内膜增生和血管内向重塑为特征的小鼠颈动脉结扎模型中,确定AIP1在血管重塑和内膜中层增厚中的作用。与野生型同窝小鼠相比,在损伤后第2至4周,通过内膜/中膜比值测量,AIP1-ECKO小鼠动脉内膜面积大2.2倍,内膜厚4.4倍,且有更多增殖的血管平滑肌细胞(VSMC)。在VSMC聚集之前,AIP1-ECKO小鼠早期内皮细胞中活性氧(ROS)增加,引发炎症和血管功能障碍。此外,在人EC中敲低AIP1会增强ROS生成,而通过共沉默NOX2可使其减弱。从机制上讲,AIP1通过其富含脯氨酸的区域与胞质亚基p47phox的SH3结构域结合,破坏活性NOX2复合物的形成,从而减弱ROS的产生。我们的研究支持AIP1通过抑制内皮细胞NOX2依赖性氧化应激来调节血管重塑和内膜中层增厚。

•在颈动脉结扎模型中,内皮细胞(EC)特异性AIP1缺陷(AIP1-ECKO)小鼠的中膜面积大得多,血管壁更厚,新生内膜形成增加。

•早期血管EC中活性氧生成增加,同时AIP1-ECKO小鼠出现血管功能障碍。

•AIP1通过其富含脯氨酸的区域与胞质亚基p47phox的SH3结构域结合,破坏活性NOX2复合物的形成,从而减弱ROS的产生。

https://cdn.ncbi.nlm.nih.gov/pmc/blobs/f419/5921534/787a7d7f54df/fphys-09-00396-g001.jpg

文献AI研究员

20分钟写一篇综述,助力文献阅读效率提升50倍。

立即体验

用中文搜PubMed

大模型驱动的PubMed中文搜索引擎

马上搜索

文档翻译

学术文献翻译模型,支持多种主流文档格式。

立即体验