Suppr超能文献

应用抗细胞角蛋白和波形蛋白单克隆抗体对正常卵巢及常见上皮性卵巢肿瘤进行免疫组织化学特征分析。

Immunohistochemical Characterization of Normal Ovary and Common Epithelial Ovarian Neoplasm with a Monoclonal Antibody to Cytokeratin and Vimentin.

作者信息

Goel Ankita, Rao Nandam Mohan, Santhi Vissa, Byna Syam Sundar, Grandhi Bhavana, Conjeevaram Jyothi

机构信息

Dept. of preventive and social medicine,Narayana medical college and hospital, Nellore, India.

出版信息

Iran J Pathol. 2018 Winter;13(1):23-29.

Abstract

BACKGROUND & OBJECTIVE: The common epithelial ovarian tumors are classified into serous, mucinous, clear cell, endometrioid, the Brenner, mixed, and undifferentiated types. Cytoskeleton intermediate filament composition of ovarian tissues indicates that the cytokeratin and vimentin are observed in ovarian surface epithelium along with the common ovarian epithelial tumors. The current study aimed at investigating the cytokeratin and vimentin expression in epithelial ovarian tumors to establish a diagnostic relevance.

METHODS

Sixty-six common epithelial ovarian tumors were studied using anti-cytokeratins (Monoclonal Mouse Anti-Human Cytokeratin Clones AE1/AE3; DAKO, Denmark,) and anti-vimentin (Monoclonal Mouse Anti-Vimentin, Clone V9; DAKO, Denmark,) to ascertain the intermediate filament profiles in formalin-fixed and paraffin-embedded surgical pathology materials.

RESULTS

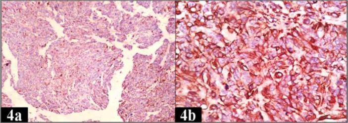
All ovarian epithelial tumors expressed cytokeratin in a uniform fashion. Vimentin was coexpressed with high intensity in 62.5% of serous carcinomas, mild intensity in 25% of mucinous adenocarcinoma, and moderate intensity in single case of endometrioid adenocarcinoma. Vimentin decoration in mucinous carcinoma had a focal involvement, whereas malignant endometrioid and serous decoration tended to involve larger areas. There was a significantly increased expression of vimentin in serous cystadenoma and serous carcinoma, compared with their mucinous counterparts. Also, vimentin expression and histologic grade of serous tumors showed a positive correlation. No association was found between vimentin expression and degree of differentiation in mucinous, endometrioid, and Brenner tumors.

CONCLUSION

The current investigation emphasized the efficiency of immunohistochemistry (IHC) typing as a tool for a more precise characterization of the origin and differentiation of human neoplasms.

摘要

背景与目的

常见的上皮性卵巢肿瘤分为浆液性、黏液性、透明细胞、子宫内膜样、勃勒纳氏、混合型及未分化型。卵巢组织的细胞骨架中间丝成分显示,细胞角蛋白和波形蛋白可在卵巢表面上皮以及常见的卵巢上皮性肿瘤中观察到。本研究旨在调查上皮性卵巢肿瘤中细胞角蛋白和波形蛋白的表达情况,以确立其诊断相关性。

方法

采用抗细胞角蛋白(丹麦DAKO公司的单克隆小鼠抗人细胞角蛋白克隆AE1/AE3)和抗波形蛋白(丹麦DAKO公司的单克隆小鼠抗波形蛋白克隆V9)对66例常见的上皮性卵巢肿瘤进行研究,以确定福尔马林固定石蜡包埋手术病理材料中的中间丝特征。

结果

所有卵巢上皮性肿瘤均以一致方式表达细胞角蛋白。波形蛋白在62.5%的浆液性癌中高强度共表达,在25%的黏液性腺癌中轻度共表达,在1例子宫内膜样腺癌中中度共表达。黏液性癌中的波形蛋白染色呈局灶性累及,而恶性子宫内膜样癌和浆液性癌的染色往往累及更大区域。与黏液性肿瘤相比,浆液性囊腺瘤和浆液性癌中波形蛋白的表达显著增加。此外,浆液性肿瘤中波形蛋白的表达与组织学分级呈正相关。在黏液性、子宫内膜样和勃勒纳氏肿瘤中,未发现波形蛋白表达与分化程度之间存在关联。

结论

本研究强调了免疫组织化学(IHC)分型作为一种工具,在更精确地表征人类肿瘤的起源和分化方面的有效性。

https://cdn.ncbi.nlm.nih.gov/pmc/blobs/e9f4/5929385/d42c1e1f371c/ijp-13-023-g001.jpg

文献AI研究员

20分钟写一篇综述,助力文献阅读效率提升50倍。

立即体验

用中文搜PubMed

大模型驱动的PubMed中文搜索引擎

马上搜索

文档翻译

学术文献翻译模型,支持多种主流文档格式。

立即体验