Suppr超能文献

新城疫病毒诱导非同步生长细胞中的 G/G 细胞周期停滞。

Newcastle disease virus induces G/G cell cycle arrest in asynchronously growing cells.

机构信息

Department of Avian Infectious Diseases, Shanghai Veterinary Research Institute, Chinese Academy of Agricultural Sciences, Shanghai 200241, PR China.

Department of Avian Infectious Diseases, Shanghai Veterinary Research Institute, Chinese Academy of Agricultural Sciences, Shanghai 200241, PR China; Yangzhou University, Yangzhou 225000, PR China.

出版信息

Virology. 2018 Jul;520:67-74. doi: 10.1016/j.virol.2018.05.005. Epub 2018 May 26.

Abstract

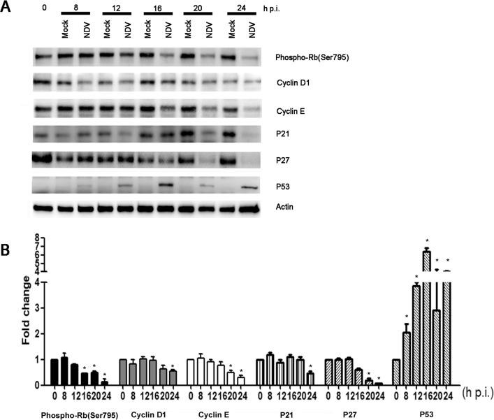
The cell cycle, as a basic cellular process, is conservatively regulated. Consequently, subversion of the host cell replication cycle is a common strategy employed by many viruses to create a cellular environment favorable for viral replication. Newcastle disease virus (NDV) causes disease in poultry and is also an effective oncolytic agent. However, the effects of NDV infection on cell cycle progression are unknown. In this study, we showed that NDV replication in asynchronized cells resulted in the accumulation of infected cells in the G/G phase of the cell cycle, which benefitted the proliferation of NDV. Examination of various cell cycle-regulatory proteins showed that expression of cyclin D1, was significantly reduced following NDV infection. Importantly, the decreased expression of cyclin D1 was reversed by inhibition of CHOP expression, indicating that induction of the PERK-eIF-2a-ATF4-CHOP signaling pathway was involved in the G/G phase cell cycle arrest observed following NDV infection.

摘要

细胞周期作为一个基本的细胞过程,受到保守调控。因此,许多病毒颠覆宿主细胞复制周期是一种常见的策略,以创造有利于病毒复制的细胞环境。新城疫病毒(NDV)可引起家禽疾病,也是一种有效的溶瘤剂。然而,NDV 感染对细胞周期进程的影响尚不清楚。在本研究中,我们表明,NDV 在非同步细胞中的复制导致受感染的细胞在细胞周期的 G/G 期积累,这有利于 NDV 的增殖。对各种细胞周期调节蛋白的检测表明,NDV 感染后细胞周期蛋白 D1 的表达显著降低。重要的是,CHOP 表达的抑制逆转了 cyclin D1 的表达降低,表明 PERK-eIF-2a-ATF4-CHOP 信号通路的诱导参与了 NDV 感染后观察到的 G/G 期细胞周期阻滞。

https://cdn.ncbi.nlm.nih.gov/pmc/blobs/8d9f/7112094/4cb130380c9c/gr1_lrg.jpg

文献检索

告别复杂PubMed语法,用中文像聊天一样搜索,搜遍4000万医学文献。AI智能推荐,让科研检索更轻松。

立即免费搜索

文件翻译

保留排版,准确专业,支持PDF/Word/PPT等文件格式,支持 12+语言互译。

免费翻译文档

深度研究

AI帮你快速写综述,25分钟生成高质量综述,智能提取关键信息,辅助科研写作。

立即免费体验