• 文献检索
  • 文档翻译
  • 深度研究
  • 学术资讯
  • Suppr Zotero 插件Zotero 插件
  • 邀请有礼
  • 套餐&价格
  • 历史记录
应用&插件
Suppr Zotero 插件Zotero 插件浏览器插件Mac 客户端Windows 客户端微信小程序
定价
高级版会员购买积分包购买API积分包
服务
文献检索文档翻译深度研究API 文档MCP 服务
关于我们
关于 Suppr公司介绍联系我们用户协议隐私条款
关注我们

Suppr 超能文献

核心技术专利:CN118964589B侵权必究
粤ICP备2023148730 号-1Suppr @ 2026

文献检索

告别复杂PubMed语法,用中文像聊天一样搜索,搜遍4000万医学文献。AI智能推荐,让科研检索更轻松。

立即免费搜索

文件翻译

保留排版,准确专业,支持PDF/Word/PPT等文件格式,支持 12+语言互译。

免费翻译文档

深度研究

AI帮你快速写综述,25分钟生成高质量综述,智能提取关键信息,辅助科研写作。

立即免费体验

吉非替尼通过减轻小鼠氧化损伤抑制博来霉素诱导的肺纤维化。

Gefitinib Inhibits Bleomycin-Induced Pulmonary Fibrosis via Alleviating the Oxidative Damage in Mice.

机构信息

Department of Respiratory Medicine, General Hospital of Guangzhou Military Command of PLA, Guangzhou, Guangdong, China.

Guangdong Food and Drug Vocational College, Guangzhou, Guangdong, China.

出版信息

Oxid Med Cell Longev. 2018 Apr 12;2018:8249693. doi: 10.1155/2018/8249693. eCollection 2018.

DOI:10.1155/2018/8249693
PMID:29849916
原文链接:https://pmc.ncbi.nlm.nih.gov/articles/PMC5924979/
Abstract

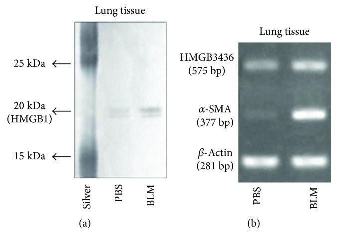
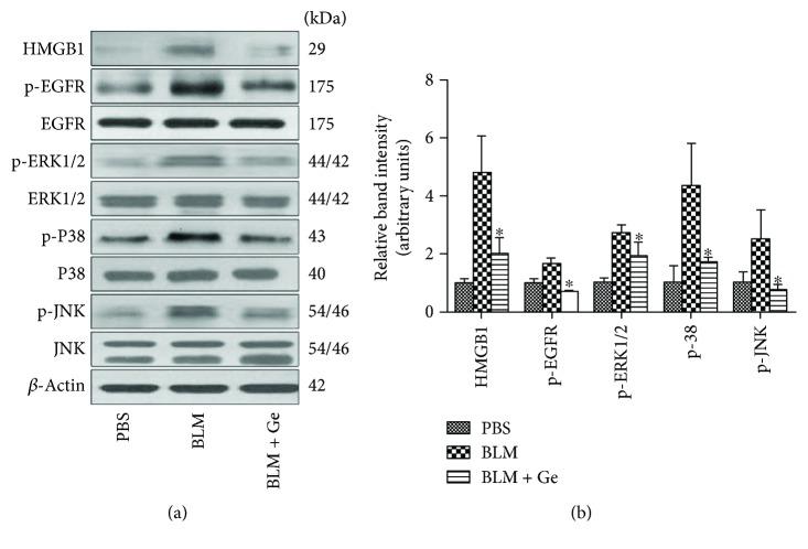
Pulmonary fibrosis (PF) is a life-threatening interstitial lung disease. In this study, we tried to reveal the model of action between high-mobility group box 1 (HMGB1) and -smooth muscle actin (-SMA) and the protective role of gefitinib in pulmonary fibrosis induced by the administration of bleomycin aerosol in mice. For the mechanism study, lung tissues were harvested two weeks after modeling to detect the coexpression of HMGB1 and -SMA by immunohistochemistry and immunofluorescence staining. Protein-DNA interactions were analyzed using a pulldown assay to study the relationship between HMGB1 and -SMA. For the gefitinib treatment study, the mice were divided into three groups: phosphate-buffered saline (PBS) control group, PBS-treated PF group, and gefitinib-treated PF group. Gavage of gefitinib or PBS (20 mg/kg/day) was performed after bleomycin treatment for two weeks until the mice were sacrificed. Lung and blood samples were collected to assess the histological changes, oxidative stress, and expression of NOXs, HMGB1, EGFR, MAPKs, AP-1, and NF-B to determine the curative effect and related molecular mechanisms. The results revealed the high coexpression of -SMA and HMGB1 in some interstitial cells in the fibrotic lung. The DNA-protein pulldown analysis proved that HMGB34367 acted as a novel transcriptional factor for the -SMA promoter and participated in the eventual development of pulmonary fibrosis. Second, gefitinib could significantly decrease lung fibrotic changes and the level of MDA and recover the T-AOC level. Meanwhile, gefitinib could also reduce the NOX1/2/4, HMGB1, p-EGFR, p-ERK, p-JNK, p-P38, p-NF-B, p-c-Jun, and p-c-Fos expression levels in fibrotic lungs. The present study suggested that gefitinib could alleviate lung fibrosis through the HMGB1/NOXs-ROS/EGFR-MAPKs-AP-1/NF-B signal in bleomycin-induced pulmonary fibrosis.

摘要

肺纤维化(PF)是一种危及生命的间质性肺疾病。在这项研究中,我们试图揭示高迁移率族蛋白 B1(HMGB1)与平滑肌肌动蛋白(-SMA)之间的作用模型,以及吉非替尼在博莱霉素气溶胶给药诱导的小鼠肺纤维化中的保护作用。在机制研究中,建模两周后采集肺组织,通过免疫组织化学和免疫荧光染色检测 HMGB1 和 -SMA 的共表达。通过下拉实验分析蛋白-DNA 相互作用,研究 HMGB1 和 -SMA 之间的关系。在吉非替尼治疗研究中,将小鼠分为三组:磷酸盐缓冲液(PBS)对照组、PBS 处理的 PF 组和吉非替尼处理的 PF 组。在博莱霉素处理后两周内,每天灌胃吉非替尼或 PBS(20mg/kg),直到处死小鼠。采集肺和血液样本评估组织学变化、氧化应激以及 NOXs、HMGB1、EGFR、MAPKs、AP-1 和 NF-B 的表达,以确定疗效和相关分子机制。结果显示,纤维化肺中的一些间质细胞中存在 -SMA 和 HMGB1 的高共表达。DNA-蛋白下拉分析证明,HMGB34367 作为 -SMA 启动子的新型转录因子发挥作用,并参与了肺纤维化的最终发展。其次,吉非替尼可显著减轻肺纤维化改变和 MDA 水平,并恢复 T-AOC 水平。同时,吉非替尼还可以降低纤维化肺中 NOX1/2/4、HMGB1、p-EGFR、p-ERK、p-JNK、p-P38、p-NF-B、p-c-Jun 和 p-c-Fos 的表达水平。本研究表明,吉非替尼可通过博莱霉素诱导的肺纤维化中 HMGB1/NOXs-ROS/EGFR-MAPKs-AP-1/NF-B 信号通路减轻肺纤维化。

https://cdn.ncbi.nlm.nih.gov/pmc/blobs/196b/5924979/e14262270d6a/OMCL2018-8249693.010.jpg
https://cdn.ncbi.nlm.nih.gov/pmc/blobs/196b/5924979/2a5996bf3847/OMCL2018-8249693.001.jpg
https://cdn.ncbi.nlm.nih.gov/pmc/blobs/196b/5924979/acfa46499092/OMCL2018-8249693.002.jpg
https://cdn.ncbi.nlm.nih.gov/pmc/blobs/196b/5924979/c0c6920681f9/OMCL2018-8249693.003.jpg
https://cdn.ncbi.nlm.nih.gov/pmc/blobs/196b/5924979/f49284c427f1/OMCL2018-8249693.004.jpg
https://cdn.ncbi.nlm.nih.gov/pmc/blobs/196b/5924979/f9d6cfe77e26/OMCL2018-8249693.005.jpg
https://cdn.ncbi.nlm.nih.gov/pmc/blobs/196b/5924979/9c5da62b6044/OMCL2018-8249693.006.jpg
https://cdn.ncbi.nlm.nih.gov/pmc/blobs/196b/5924979/973800c5aee1/OMCL2018-8249693.007.jpg
https://cdn.ncbi.nlm.nih.gov/pmc/blobs/196b/5924979/e8484c412faa/OMCL2018-8249693.008.jpg
https://cdn.ncbi.nlm.nih.gov/pmc/blobs/196b/5924979/f19c18d2fee2/OMCL2018-8249693.009.jpg
https://cdn.ncbi.nlm.nih.gov/pmc/blobs/196b/5924979/e14262270d6a/OMCL2018-8249693.010.jpg
https://cdn.ncbi.nlm.nih.gov/pmc/blobs/196b/5924979/2a5996bf3847/OMCL2018-8249693.001.jpg
https://cdn.ncbi.nlm.nih.gov/pmc/blobs/196b/5924979/acfa46499092/OMCL2018-8249693.002.jpg
https://cdn.ncbi.nlm.nih.gov/pmc/blobs/196b/5924979/c0c6920681f9/OMCL2018-8249693.003.jpg
https://cdn.ncbi.nlm.nih.gov/pmc/blobs/196b/5924979/f49284c427f1/OMCL2018-8249693.004.jpg
https://cdn.ncbi.nlm.nih.gov/pmc/blobs/196b/5924979/f9d6cfe77e26/OMCL2018-8249693.005.jpg
https://cdn.ncbi.nlm.nih.gov/pmc/blobs/196b/5924979/9c5da62b6044/OMCL2018-8249693.006.jpg
https://cdn.ncbi.nlm.nih.gov/pmc/blobs/196b/5924979/973800c5aee1/OMCL2018-8249693.007.jpg
https://cdn.ncbi.nlm.nih.gov/pmc/blobs/196b/5924979/e8484c412faa/OMCL2018-8249693.008.jpg
https://cdn.ncbi.nlm.nih.gov/pmc/blobs/196b/5924979/f19c18d2fee2/OMCL2018-8249693.009.jpg
https://cdn.ncbi.nlm.nih.gov/pmc/blobs/196b/5924979/e14262270d6a/OMCL2018-8249693.010.jpg

相似文献

1
Gefitinib Inhibits Bleomycin-Induced Pulmonary Fibrosis via Alleviating the Oxidative Damage in Mice.吉非替尼通过减轻小鼠氧化损伤抑制博来霉素诱导的肺纤维化。
Oxid Med Cell Longev. 2018 Apr 12;2018:8249693. doi: 10.1155/2018/8249693. eCollection 2018.
2
[Gefitinib inhibits α-smooth muscle actin expression in mice with bleomycin-induced lung fibrosis].吉非替尼抑制博来霉素诱导的肺纤维化小鼠中α-平滑肌肌动蛋白的表达
Nan Fang Yi Ke Da Xue Xue Bao. 2010 Dec;30(12):2675-8.
3
Roles of high-mobility group box 1 and thrombin in murine pulmonary fibrosis and the therapeutic potential of thrombomodulin.高迁移率族蛋白 B1 和凝血酶在小鼠肺纤维化中的作用及血栓调节蛋白的治疗潜力。
Am J Physiol Lung Cell Mol Physiol. 2018 Mar 1;314(3):L473-L483. doi: 10.1152/ajplung.00287.2017. Epub 2017 Dec 6.
4
Protective role of andrographolide in bleomycin-induced pulmonary fibrosis in mice.穿心莲内酯在博来霉素诱导的小鼠肺纤维化中的保护作用
Int J Mol Sci. 2013 Dec 3;14(12):23581-96. doi: 10.3390/ijms141223581.
5
Total extract of Yupingfeng attenuates bleomycin-induced pulmonary fibrosis in rats.玉屏风总提取物减轻博来霉素诱导的大鼠肺纤维化。
Phytomedicine. 2015 Jan 15;22(1):111-9. doi: 10.1016/j.phymed.2014.10.011. Epub 2014 Nov 20.
6
Gefitinib attenuates murine pulmonary fibrosis induced by bleomycin.吉非替尼减轻博来霉素诱导的小鼠肺纤维化。
Chin Med J (Engl). 2010 Aug;123(16):2259-64.
7
Fluorofenidone attenuates pulmonary inflammation and fibrosis via inhibiting the activation of NALP3 inflammasome and IL-1β/IL-1R1/MyD88/NF-κB pathway.氟非尼酮通过抑制NALP3炎性小体和IL-1β/IL-1R1/MyD88/NF-κB信号通路的激活来减轻肺部炎症和纤维化。
J Cell Mol Med. 2016 Nov;20(11):2064-2077. doi: 10.1111/jcmm.12898. Epub 2016 Jun 16.
8
miR-627/HMGB1/NF-κB regulatory loop modulates TGF-β1-induced pulmonary fibrosis.miR-627/HMGB1/NF-κB 调控环路调节 TGF-β1 诱导的肺纤维化。
J Cell Biochem. 2019 Mar;120(3):2983-2993. doi: 10.1002/jcb.27038. Epub 2018 Dec 9.
9
High-mobility group box-B1 (HMGB1) mediates the hypoxia-induced mesenchymal transition of osteoblast cells via activating ERK/JNK signaling.高迁移率族蛋白B1(HMGB1)通过激活ERK/JNK信号通路介导缺氧诱导的成骨细胞间充质转化。
Cell Biol Int. 2016 Nov;40(11):1152-1161. doi: 10.1002/cbin.10616. Epub 2016 Sep 15.
10
Glucagon like peptide-1 attenuates bleomycin-induced pulmonary fibrosis, involving the inactivation of NF-κB in mice.胰高血糖素样肽-1减轻博来霉素诱导的小鼠肺纤维化,这与核因子κB的失活有关。
Int Immunopharmacol. 2014 Oct;22(2):498-504. doi: 10.1016/j.intimp.2014.07.010. Epub 2014 Aug 10.

引用本文的文献

1
Comparison of the Results of Modeling Pulmonary Fibrosis in Sprague Dawley Rats by Intratracheal Administration of Bleomycin in the Form of Sulfate and Chloride at a Dose of 3 mg/kg.通过气管内给予剂量为3mg/kg的硫酸博来霉素和盐酸博来霉素对斯普拉格-道利大鼠进行肺纤维化建模的结果比较。
Pharmaceuticals (Basel). 2024 Oct 11;17(10):1360. doi: 10.3390/ph17101360.
2
HMGB1 as an extracellular pro-inflammatory cytokine: Implications for drug-induced organic damage.高迁移率族蛋白 B1 作为一种细胞外促炎细胞因子:对药物引起的有机损伤的影响。
Cell Biol Toxicol. 2024 Jul 15;40(1):55. doi: 10.1007/s10565-024-09893-2.
3
Mechanisms of Bleomycin-induced Lung Fibrosis: A Review of Therapeutic Targets and Approaches.

本文引用的文献

1
Treatment effects of the traditional Chinese medicine Shenks in bleomycin-induced lung fibrosis through regulation of TGF-beta/Smad3 signaling and oxidative stress.中药参芪通过调节 TGF-β/Smad3 信号通路和氧化应激对博来霉素诱导的肺纤维化的治疗作用。
Sci Rep. 2017 May 22;7(1):2252. doi: 10.1038/s41598-017-02293-z.
2
Pulmonary fibrosis, part I: epidemiology, pathogenesis, and diagnosis.特发性肺纤维化,第 1 部分:流行病学、发病机制和诊断。
Expert Rev Respir Med. 2017 May;11(5):343-359. doi: 10.1080/17476348.2017.1312346. Epub 2017 Apr 10.
3
HMGB1 promotes the secretion of multiple cytokines and potentiates the osteogenic differentiation of mesenchymal stem cells through the Ras/MAPK signaling pathway.
博莱霉素诱导肺纤维化的机制:治疗靶点和方法的综述。
Cell Biochem Biophys. 2024 Sep;82(3):1845-1870. doi: 10.1007/s12013-024-01384-9. Epub 2024 Jul 2.
4
NADPH oxidase family proteins: signaling dynamics to disease management.NADPH 氧化酶家族蛋白:信号动态与疾病管理。
Cell Mol Immunol. 2022 Jun;19(6):660-686. doi: 10.1038/s41423-022-00858-1. Epub 2022 May 18.
5
Identifying potential novel insights for COVID-19 pathogenesis and therapeutics using an integrated bioinformatics analysis of host transcriptome.利用宿主转录组的综合生物信息学分析鉴定 COVID-19 发病机制和治疗的潜在新见解。
Int J Biol Macromol. 2022 Jan 1;194:770-780. doi: 10.1016/j.ijbiomac.2021.11.124. Epub 2021 Nov 24.
6
Danshensu alleviates bleomycin-induced pulmonary fibrosis by inhibiting lung fibroblast-to-myofibroblast transition via the MEK/ERK signaling pathway.丹参素通过抑制 MEK/ERK 信号通路抑制肺成纤维细胞向肌成纤维细胞转化,从而减轻博来霉素诱导的肺纤维化。
Bioengineered. 2021 Dec;12(1):3113-3124. doi: 10.1080/21655979.2021.1944020.
7
Mechanism of Yifei Decoction Combined with MitoQ on Inhibition of TGF1/NOX4 and PDGF/ROCK Signal Pathway in Idiopathic Pulmonary Fibrosis.益肺汤联合MitoQ抑制特发性肺纤维化中TGF1/NOX4和PDGF/ROCK信号通路的机制
Evid Based Complement Alternat Med. 2021 May 28;2021:6615615. doi: 10.1155/2021/6615615. eCollection 2021.
8
The Improvement Effect of Sodium Ferulate on the Formation of Pulmonary Fibrosis in Silicosis Mice Through the Neutrophil Alkaline Phosphatase 3 (NALP3)/Transforming Growth Factor-β1 (TGF-β1)/α-Smooth Muscle Actin (α-SMA) Pathway.阿魏酸钠通过中性粒细胞碱性磷酸酶 3(NALP3)/转化生长因子-β1(TGF-β1)/α-平滑肌肌动蛋白(α-SMA)通路对矽肺小鼠肺纤维化形成的改善作用。
Med Sci Monit. 2021 Jun 15;27:e927978. doi: 10.12659/MSM.927978.
9
Essential Oil Attenuates Bleomycin-Induced Pulmonary Fibrosis in a Murine Model.香精油减轻博来霉素诱导的小鼠肺纤维化模型中的肺纤维化。
Pharmaceutics. 2021 May 9;13(5):679. doi: 10.3390/pharmaceutics13050679.
10
Oxidative Stress-Induced circHBEGF Promotes Extracellular Matrix Production via Regulating miR-646/EGFR in Human Trabecular Meshwork Cells.氧化应激诱导的 circHBEGF 通过调节人眼小梁细胞中的 miR-646/EGFR 促进细胞外基质的产生。
Oxid Med Cell Longev. 2020 Nov 24;2020:4692034. doi: 10.1155/2020/4692034. eCollection 2020.
高迁移率族蛋白B1(HMGB1)通过Ras/丝裂原活化蛋白激酶(MAPK)信号通路促进多种细胞因子的分泌,并增强间充质干细胞的成骨分化。
Exp Ther Med. 2016 Dec;12(6):3941-3947. doi: 10.3892/etm.2016.3857. Epub 2016 Nov 2.
4
Emerging role of HMGB1 in lung diseases: friend or foe.HMGB1在肺部疾病中的新作用:益友还是敌人。
J Cell Mol Med. 2017 Jun;21(6):1046-1057. doi: 10.1111/jcmm.13048. Epub 2016 Dec 31.
5
Polydatin ameliorates Staphylococcus aureus-induced mastitis in mice via inhibiting TLR2-mediated activation of the p38 MAPK/NF-κB pathway.白藜芦醇苷通过抑制TLR2介导的p38丝裂原活化蛋白激酶/核因子κB信号通路的激活来改善金黄色葡萄球菌诱导的小鼠乳腺炎。
Acta Pharmacol Sin. 2017 Feb;38(2):211-222. doi: 10.1038/aps.2016.123. Epub 2016 Nov 28.
6
[Influence of HMGB1/MAPK/m-TOR signaling pathway on cell autophagy and chemotherapy resistance in K562 cells].HMGB1/MAPK/m-TOR信号通路对K562细胞自噬及化疗耐药性的影响
Zhong Nan Da Xue Xue Bao Yi Xue Ban. 2016 Oct 28;41(10):1016-1023. doi: 10.11817/j.issn.1672-7347.2016.10.002.
7
Metformin attenuates lung fibrosis development via NOX4 suppression.二甲双胍通过抑制NOX4减轻肺纤维化的发展。
Respir Res. 2016 Aug 30;17(1):107. doi: 10.1186/s12931-016-0420-x.
8
Recent advances in understanding idiopathic pulmonary fibrosis.特发性肺纤维化认识的最新进展
F1000Res. 2016 May 31;5. doi: 10.12688/f1000research.8209.1. eCollection 2016.
9
NADPH Oxidase-Derived ROS Induced by Chronic Intermittent Hypoxia Mediates Hypersensitivity of Lung Vagal C Fibers in Rats.慢性间歇性低氧诱导的NADPH氧化酶衍生的活性氧介导大鼠肺迷走神经C纤维超敏反应
Front Physiol. 2016 May 9;7:166. doi: 10.3389/fphys.2016.00166. eCollection 2016.
10
Overexpression of HDAC6 induces pro-inflammatory responses by regulating ROS-MAPK-NF-κB/AP-1 signaling pathways in macrophages.HDAC6的过表达通过调节巨噬细胞中的ROS-MAPK-NF-κB/AP-1信号通路诱导促炎反应。
Free Radic Biol Med. 2016 Aug;97:14-23. doi: 10.1016/j.freeradbiomed.2016.05.014. Epub 2016 May 18.