Suppr超能文献

一种含有L-抗坏血酸、蛋白聚糖和刺激蛋白聚糖的三肽的新型面部精华液的抗老化作用:女性皮肤外植体研究和体内临床研究

Antiaging effects of a novel facial serum containing L-Ascorbic acid, proteoglycans, and proteoglycan-stimulating tripeptide: ex vivo skin explant studies and in vivo clinical studies in women.

作者信息

Garre Aurora, Narda Mridvika, Valderas-Martinez Palmira, Piquero Jaime, Granger Corinne

机构信息

Innovation and Development, ISDIN SA, Barcelona, Spain.

Dermik Clinic, Barcelona, Spain.

出版信息

Clin Cosmet Investig Dermatol. 2018 May 29;11:253-263. doi: 10.2147/CCID.S161352. eCollection 2018.

Abstract

BACKGROUND

With age, decreasing dermal levels of proteoglycans, collagen, and elastin lead to the appearance of aged skin. Oxidation, largely driven by environmental factors, plays a central role.

AIM

The aim of this study was to assess the antiaging efficacy of a topical serum containing L-Ascorbic acid, soluble proteoglycans, low molecular weight hyaluronic acid, and a tripeptide in ex vivo and in vivo clinical studies.

METHODS

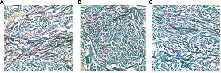
Photoaging and photo-oxidative damage were induced in human skin explants by artificial solar radiation. Markers of oxidative stress - reactive oxygen species (ROS), total glutathione (GSH), and cyclobutane pyrimidine dimers (CPDs) - were measured in serum-treated explants and untreated controls. Chronological aging was simulated using hydrocortisone. In both ex vivo studies, collagen, elastin, and proteoglycans were determined as measures of dermal matrix degradation. In women aged 21-67 years, hydration was measured up to 24 hours after a single application of serum, using Corneometer and hygrometer. Subjects' perceptions of efficacy and acceptability were assessed via questionnaire after once-daily serum application for 4 weeks. Studies were performed under the supervision of a dermatologist.

RESULTS

In the photoaging study, irradiation induced changes in ROS, CPD, GSH, collagen, and elastin levels; these changes were reversed by topical serum application. The serum also protected against hydrocortisone-induced reduction in collagen, elastin, and proteoglycan levels, which were significantly higher in the serum-treated group vs untreated hydrocortisone-control explants. In clinical studies, serum application significantly increased skin moisture for 6 hours. Healthy volunteers perceived the product as efficient in making the skin brighter, more hydrated, and decreasing wrinkles and wished to continue using it. The serum was well tolerated and noncomedogenic.

CONCLUSION

The serum protected against oxidative damage and dermal protein loss caused by photo- and chronological aging in human skin explants. In-vivo, the serum hydrated skin for 6 hours, and users perceived increased skin brightness, hydration, and fewer wrinkles.

摘要

背景

随着年龄增长,皮肤中蛋白聚糖、胶原蛋白和弹性蛋白水平下降,导致皮肤出现老化迹象。氧化作用在很大程度上由环境因素驱动,起着核心作用。

目的

本研究的目的是在体外和体内临床研究中评估一种含有L-抗坏血酸、可溶性蛋白聚糖、低分子量透明质酸和三肽的外用精华液的抗老化功效。

方法

通过人工太阳辐射在人皮肤外植体中诱导光老化和光氧化损伤。在血清处理的外植体和未处理的对照中测量氧化应激标志物——活性氧(ROS)、总谷胱甘肽(GSH)和环丁烷嘧啶二聚体(CPD)。使用氢化可的松模拟自然老化。在两项体外研究中,测定胶原蛋白、弹性蛋白和蛋白聚糖作为真皮基质降解的指标。在21 - 67岁的女性中,单次涂抹精华液后24小时内,使用角质层水合测定仪和湿度计测量皮肤水合作用。在每日涂抹精华液4周后,通过问卷调查评估受试者对功效和可接受性的感知。研究在皮肤科医生的监督下进行。

结果

在光老化研究中,辐射诱导了ROS、CPD、GSH、胶原蛋白和弹性蛋白水平的变化;外用精华液可逆转这些变化。该精华液还能防止氢化可的松诱导的胶原蛋白、弹性蛋白和蛋白聚糖水平降低,血清处理组与未处理的氢化可的松对照外植体相比,这些指标显著更高。在临床研究中,涂抹精华液后皮肤水分显著增加6小时。健康志愿者认为该产品在使皮肤更亮、更水润和减少皱纹方面有效,并希望继续使用。该精华液耐受性良好,不致粉刺。

结论

该精华液可保护人皮肤外植体免受光老化和自然老化引起的氧化损伤和真皮蛋白流失。在体内,该精华液使皮肤保持6小时水润,使用者感觉皮肤亮度增加、水润度提高且皱纹减少。

https://cdn.ncbi.nlm.nih.gov/pmc/blobs/3842/5985795/3dcb75d59a98/ccid-11-253Fig1.jpg

文献AI研究员

20分钟写一篇综述,助力文献阅读效率提升50倍。

立即体验

用中文搜PubMed

大模型驱动的PubMed中文搜索引擎

马上搜索

文档翻译

学术文献翻译模型,支持多种主流文档格式。

立即体验