Suppr超能文献

一例术前诊断不明的巨大肾上腺囊肿,给治疗带来了难题。

A giant adrenal cyst with an uncertain preoperative diagnosis causing a dilemma in management.

作者信息

Olaoye Iyiade Olatunde, Adesina Micheal Dapo, Afolayan Enoch Abiodun

机构信息

FWACS General Surgery University of Ilorin Teaching Hospital Ilorin Nigeria.

FMCPATH Pathology University of Ilorin Teaching Hospital Ilorin Nigeria.

出版信息

Clin Case Rep. 2018 Apr 17;6(6):1074-1076. doi: 10.1002/ccr3.1519. eCollection 2018 Jun.

Abstract

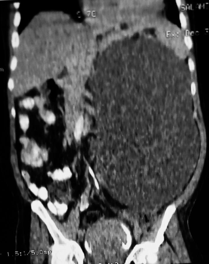
Giant Adrenal cysts are rare differentials of retroperitoneal cysts that often present dilemma in diagnosis. A man presented with a huge retroperitoneal cyst and an uncertain preoperative diagnosis. Initial working diagnosis of urinoma and an attempt at drainage had to be abandoned for complete excision before obtaining a histological diagnosis.

摘要

巨大肾上腺囊肿是腹膜后囊肿的罕见鉴别诊断,常给诊断带来难题。一名男性患者出现巨大腹膜后囊肿,术前诊断不明确。最初初步诊断为尿囊肿,并尝试进行引流,但在获得组织学诊断之前,为了完整切除囊肿,不得不放弃引流。

https://cdn.ncbi.nlm.nih.gov/pmc/blobs/ccdd/5986023/cd1cdc7eb417/CCR3-6-1074-g001.jpg

文献AI研究员

20分钟写一篇综述,助力文献阅读效率提升50倍。

立即体验

用中文搜PubMed

大模型驱动的PubMed中文搜索引擎

马上搜索

文档翻译

学术文献翻译模型,支持多种主流文档格式。

立即体验