• 文献检索
  • 文档翻译
  • 深度研究
  • 学术资讯
  • Suppr Zotero 插件Zotero 插件
  • 邀请有礼
  • 套餐&价格
  • 历史记录
应用&插件
Suppr Zotero 插件Zotero 插件浏览器插件Mac 客户端Windows 客户端微信小程序
定价
高级版会员购买积分包购买API积分包
服务
文献检索文档翻译深度研究API 文档MCP 服务
关于我们
关于 Suppr公司介绍联系我们用户协议隐私条款
关注我们

Suppr 超能文献

核心技术专利:CN118964589B侵权必究
粤ICP备2023148730 号-1Suppr @ 2026

文献检索

告别复杂PubMed语法,用中文像聊天一样搜索,搜遍4000万医学文献。AI智能推荐,让科研检索更轻松。

立即免费搜索

文件翻译

保留排版,准确专业,支持PDF/Word/PPT等文件格式,支持 12+语言互译。

免费翻译文档

深度研究

AI帮你快速写综述,25分钟生成高质量综述,智能提取关键信息,辅助科研写作。

立即免费体验

手术联合放化疗治疗食管黏液表皮样癌:1例报告

Surgery combined with radio-chemotherapy for esophageal mucoepidermoid carcinoma: A case report.

作者信息

Zheng Chunhui, Chen Xiaomei, Zhang Fangbiao, Yan Liping, Zhang Xiangyan

机构信息

Department of Cardiothoracic Surgery Operating Room Department of Pathology, Lishui Hospital of Zhejiang University, Lishui Central Hospital, Lishui, Zhejiang Province, P.R. China.

出版信息

Medicine (Baltimore). 2018 Jun;97(24):e11165. doi: 10.1097/MD.0000000000011165.

DOI:10.1097/MD.0000000000011165
PMID:29901650
原文链接:https://pmc.ncbi.nlm.nih.gov/articles/PMC6023669/
Abstract

RATIONALE

Primary mucoepidermoid carcinoma (MEC) of the esophagus is a rare type of malignant neoplasm. Its morphology resembles that of MEC of the salivary glands. It is characterized by a diffuse mixture of squamous and mucus-secreting glandular carcinoma cells. Due to the low incidence of esophageal MEC, the biological behavior and treatment of this tumor have not been well studied.

PATIENT CONCERNS

In this case report, we describe a case of a 59-year-old man who presented with difficulty in swallowing. Iohexol swallowing revealed a malignant-appearing structure in the inferior-thoracic region.

DIAGNOSES

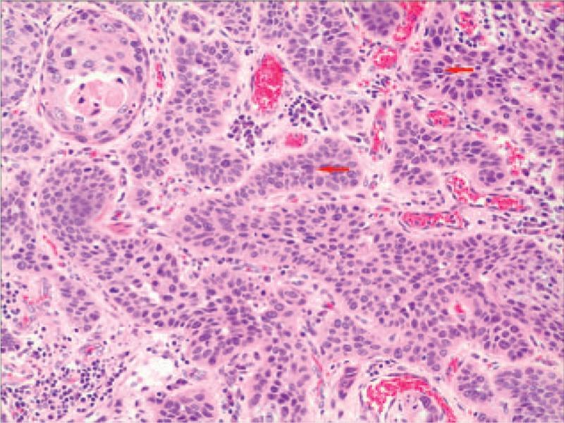
Biopsy of the lesion under endoscopy demonstrated a mucoepidermoid carcinoma of the esophagus.

INTERVENTIONS

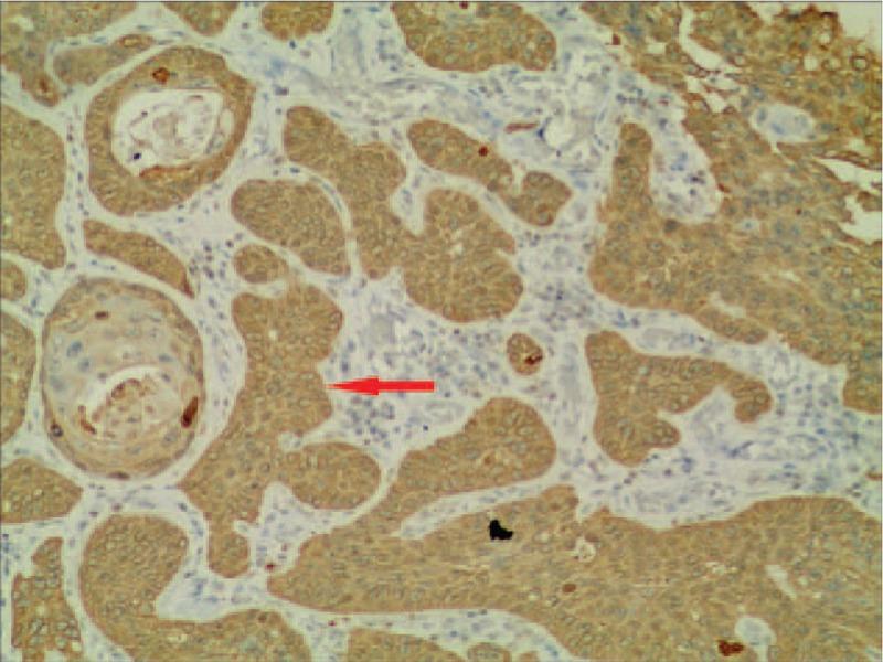
We performed esophagectomy, esophagogastrostomy through the esophageal bed and 2-field lymphadenectomy. Histopathological analysis of the tumor revealed histological characteristics typical of an esophageal MEC. Radio-chemotherapy was administered to this patient.

OUTCOMES

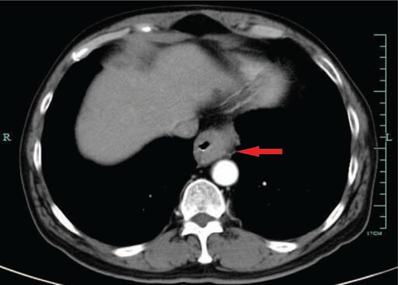
Seventeen months after surgery, an esophageal computed tomography (CT) scan revealed that the wall of esophagus was evenly thickened. However, endoscopic assessment revealed no evidence of recurrence. Further CT scans at 19 and 31 months after surgery also showed a thickened esophageal wall, although endoscopic assessment at 31 months still revealed no esophageal stricture and no evidence of recurrence. The patient is alive with no dysphagia and no evidence of recurrence for over 39 months.

LESSONS

There is little evidence of effective treatment nor guidelines for treatment of esophageal MEC. Although the general prognosis of esophageal MEC is poor, comprehensive treatment of surgery and radio-chemotherapy appeared to be effective in this case. Radio-chemotherapy is a possible treatment option that was shown to have acceptable short-term effects.

摘要

理论依据

原发性食管黏液表皮样癌(MEC)是一种罕见的恶性肿瘤。其形态与涎腺MEC相似。其特征是鳞状细胞癌和黏液分泌性腺癌细胞的弥漫性混合。由于食管MEC发病率低,该肿瘤的生物学行为和治疗尚未得到充分研究。

患者情况

在本病例报告中,我们描述了一名59岁男性患者,他出现吞咽困难。碘海醇吞咽检查显示胸段下部有一个疑似恶性的结构。

诊断

内镜下病变活检显示为食管黏液表皮样癌。

干预措施

我们进行了食管切除术、经食管床食管胃吻合术和二野淋巴结清扫术。肿瘤的组织病理学分析显示出食管MEC典型的组织学特征。对该患者进行了放化疗。

结果

术后17个月,食管计算机断层扫描(CT)显示食管壁均匀增厚。然而,内镜评估未发现复发迹象。术后19个月和31个月的进一步CT扫描也显示食管壁增厚,尽管31个月时的内镜评估仍未发现食管狭窄和复发迹象。患者存活,无吞咽困难,超过39个月无复发迹象。

经验教训

几乎没有证据表明食管MEC有有效的治疗方法,也没有治疗指南。尽管食管MEC的总体预后较差,但在本病例中,手术和放化疗的综合治疗似乎有效。放化疗是一种可能的治疗选择,已显示出可接受的短期效果。

https://cdn.ncbi.nlm.nih.gov/pmc/blobs/3d97/6023669/da9c2d8be7bd/medi-97-e11165-g007.jpg
https://cdn.ncbi.nlm.nih.gov/pmc/blobs/3d97/6023669/37591fd35820/medi-97-e11165-g001.jpg
https://cdn.ncbi.nlm.nih.gov/pmc/blobs/3d97/6023669/f7649986e2a5/medi-97-e11165-g002.jpg
https://cdn.ncbi.nlm.nih.gov/pmc/blobs/3d97/6023669/e2211194b4a3/medi-97-e11165-g003.jpg
https://cdn.ncbi.nlm.nih.gov/pmc/blobs/3d97/6023669/3fd9e63030bc/medi-97-e11165-g004.jpg
https://cdn.ncbi.nlm.nih.gov/pmc/blobs/3d97/6023669/ce04164f590c/medi-97-e11165-g005.jpg
https://cdn.ncbi.nlm.nih.gov/pmc/blobs/3d97/6023669/da082f612407/medi-97-e11165-g006.jpg
https://cdn.ncbi.nlm.nih.gov/pmc/blobs/3d97/6023669/da9c2d8be7bd/medi-97-e11165-g007.jpg
https://cdn.ncbi.nlm.nih.gov/pmc/blobs/3d97/6023669/37591fd35820/medi-97-e11165-g001.jpg
https://cdn.ncbi.nlm.nih.gov/pmc/blobs/3d97/6023669/f7649986e2a5/medi-97-e11165-g002.jpg
https://cdn.ncbi.nlm.nih.gov/pmc/blobs/3d97/6023669/e2211194b4a3/medi-97-e11165-g003.jpg
https://cdn.ncbi.nlm.nih.gov/pmc/blobs/3d97/6023669/3fd9e63030bc/medi-97-e11165-g004.jpg
https://cdn.ncbi.nlm.nih.gov/pmc/blobs/3d97/6023669/ce04164f590c/medi-97-e11165-g005.jpg
https://cdn.ncbi.nlm.nih.gov/pmc/blobs/3d97/6023669/da082f612407/medi-97-e11165-g006.jpg
https://cdn.ncbi.nlm.nih.gov/pmc/blobs/3d97/6023669/da9c2d8be7bd/medi-97-e11165-g007.jpg

相似文献

1
Surgery combined with radio-chemotherapy for esophageal mucoepidermoid carcinoma: A case report.手术联合放化疗治疗食管黏液表皮样癌:1例报告
Medicine (Baltimore). 2018 Jun;97(24):e11165. doi: 10.1097/MD.0000000000011165.
2
A rare case of primary mucoepidermoid carcinoma of the esophagus.一例罕见的原发性食管黏液表皮样癌。
Clin J Gastroenterol. 2015 Feb;8(1):26-8. doi: 10.1007/s12328-014-0546-7. Epub 2014 Dec 5.
3
Primary mucoepidermoid carcinoma of the esophagus.食管原发性黏液表皮样癌。
J Thorac Oncol. 2011 Aug;6(8):1426-31. doi: 10.1097/JTO.0b013e31821cfb96.
4
Mucoepidermoid carcinoma of esophagus combined with squamous carcinoma of lung: A case report and literature review.食管黏液表皮样癌合并肺鳞状细胞癌:一例报告及文献复习
J Cancer Res Ther. 2015 Jul-Sep;11(3):658. doi: 10.4103/0973-1482.140986.
5
[Clinical analysis of 36 cases of esophageal mucoepidermoid carcinoma].36例食管黏液表皮样癌的临床分析
Zhonghua Zhong Liu Za Zhi. 2012 Mar;34(3):232-5. doi: 10.3760/cma.j.issn.0253-3766.2012.03.016.
6
A case report of metastatic breast cancer initially presenting with esophageal dysphagia.一例以食管吞咽困难为首发表现的转移性乳腺癌病例报告。
Medicine (Baltimore). 2018 Nov;97(45):e13184. doi: 10.1097/MD.0000000000013184.
7
Primary esophageal sclerosing mucoepidermoid carcinoma with "tissue eosinophilia".伴有“组织嗜酸性粒细胞增多”的原发性食管硬化性黏液表皮样癌
World J Gastroenterol. 2014 Jun 14;20(22):7055-60. doi: 10.3748/wjg.v20.i22.7055.
8
Co-occurrence of mucoepidermoid carcinoma and squamous cell carcinoma of the esophagus: report of a case.食管黏液表皮样癌与鳞状细胞癌同时发生:1例报告
Surg Today. 2000;30(7):636-42. doi: 10.1007/s005950070104.
9
Sclerosing mucoepidermoid carcinoma of the esophagus with intraepithelial carcinoma or dysplastic epithelium.伴有上皮内癌或发育异常上皮的食管硬化性黏液表皮样癌。
J Surg Oncol. 1995 Mar;58(3):184-90. doi: 10.1002/jso.2930580309.
10
Endoscopic diagnosis and treatment of esophageal verrucous squamous cell cancer.食管疣状鳞状细胞癌的内镜诊断与治疗
Dis Esophagus. 2014 Jul;27(5):452-6. doi: 10.1111/j.1442-2050.2012.01434.x. Epub 2012 Oct 15.

引用本文的文献

1
Shining Light on Rarity: Mucoepidermoid Carcinoma of the Esophagus with Absence of MAML2 Gene Rearrangement.聚焦罕见病例:无MAML2基因重排的食管黏液表皮样癌
Indian J Surg Oncol. 2024 Sep;15(Suppl 3):374-378. doi: 10.1007/s13193-024-01961-7. Epub 2024 May 17.
2
Esophageal Mucoepidermoid Carcinoma: A Review of 58 Cases.食管黏液表皮样癌:58例病例回顾
Front Oncol. 2022 Apr 13;12:836352. doi: 10.3389/fonc.2022.836352. eCollection 2022.

本文引用的文献

1
Long-term results of paclitaxel plus cisplatin with concurrent radiotherapy for loco-regional esophageal squamous cell carcinoma.紫杉醇联合顺铂同步放疗治疗局部区域食管癌鳞状细胞癌的长期疗效
World J Gastroenterol. 2017 Jan 21;23(3):540-546. doi: 10.3748/wjg.v23.i3.540.
2
Cisplatin Concentrations in Long and Short Duration Infusion: Implications for the Optimal Time of Radiation Delivery.顺铂在长时间和短时间输注中的浓度:对放射治疗最佳时间的影响。
J Clin Diagn Res. 2016 Jul;10(7):XC01-XC04. doi: 10.7860/JCDR/2016/18181.8126. Epub 2016 Jul 1.
3
Intensity modulated radiotherapy (IMRT) with concurrent chemotherapy as definitive treatment of locally advanced esophageal cancer.
调强适形放疗(IMRT)联合同步化疗作为局部晚期食管癌的确定性治疗方法。
Radiat Oncol. 2014 Aug 29;9:191. doi: 10.1186/1748-717X-9-191.
4
Esophagitis, treatment-related toxicity in non-small cell lung cancer.食管炎,非小细胞肺癌治疗相关毒性
Rev Recent Clin Trials. 2012 Feb;7(1):31-5. doi: 10.2174/157488712799363235.
5
Primary mucoepidermoid carcinoma of the esophagus.食管原发性黏液表皮样癌。
J Thorac Oncol. 2011 Aug;6(8):1426-31. doi: 10.1097/JTO.0b013e31821cfb96.
6
Muco-epidermoid carcinoma of the oesophagus: a case report.食管黏液表皮样癌:一例报告
Acta Chir Belg. 2009 May-Jun;109(3):416-8. doi: 10.1080/00015458.2009.11680452.
7
Mucoepidermoid carcinoma of the lung, response to EGFR inhibitors, EGFR and K-RAS mutations, and differential diagnosis.肺黏液表皮样癌、对表皮生长因子受体(EGFR)抑制剂的反应、EGFR和K-RAS突变以及鉴别诊断
Lung Cancer. 2009 Jan;63(1):159-60. doi: 10.1016/j.lungcan.2008.09.007. Epub 2008 Nov 6.
8
Mucoepidermoid carcinoma of lung: potential target of EGFR-directed treatment.肺黏液表皮样癌:表皮生长因子受体靶向治疗的潜在靶点
Lung Cancer. 2008 Jul;61(1):30-4. doi: 10.1016/j.lungcan.2007.11.014. Epub 2008 Jan 14.
9
Survival benefits from neoadjuvant chemoradiotherapy or chemotherapy in oesophageal carcinoma: a meta-analysis.新辅助放化疗或化疗对食管癌患者的生存获益:一项荟萃分析。
Lancet Oncol. 2007 Mar;8(3):226-34. doi: 10.1016/S1470-2045(07)70039-6.
10
Biological behavior of mucoepidermoid carcinoma of the esophagus.食管黏液表皮样癌的生物学行为
J Nippon Med Sch. 2003 Oct;70(5):401-7. doi: 10.1272/jnms.70.401.