• 文献检索
  • 文档翻译
  • 深度研究
  • 学术资讯
  • Suppr Zotero 插件Zotero 插件
  • 邀请有礼
  • 套餐&价格
  • 历史记录
应用&插件
Suppr Zotero 插件Zotero 插件浏览器插件Mac 客户端Windows 客户端微信小程序
定价
高级版会员购买积分包购买API积分包
服务
文献检索文档翻译深度研究API 文档MCP 服务
关于我们
关于 Suppr公司介绍联系我们用户协议隐私条款
关注我们

Suppr 超能文献

核心技术专利:CN118964589B侵权必究
粤ICP备2023148730 号-1Suppr @ 2026

文献检索

告别复杂PubMed语法,用中文像聊天一样搜索,搜遍4000万医学文献。AI智能推荐,让科研检索更轻松。

立即免费搜索

文件翻译

保留排版,准确专业,支持PDF/Word/PPT等文件格式,支持 12+语言互译。

免费翻译文档

深度研究

AI帮你快速写综述,25分钟生成高质量综述,智能提取关键信息,辅助科研写作。

立即免费体验

继发性高甘油三酯血症导致复发性急性胰腺炎且胰酶正常

Secondary Hypertriglyceridemia Causing Recurrent Acute Pancreatitis with Normal Pancreatic Enzymes.

作者信息

Kumar Prabhat, Ghosh Anindya, Sinha Nitin, Tonk Rajinder Singh

机构信息

Department of Medicine, All India Institute of Medical Sciences, New Delhi, India.

Department of Medicine, PGIMER and Dr. RML Hospital, New Delhi, India.

出版信息

Indian J Crit Care Med. 2018 May;22(5):381-383. doi: 10.4103/ijccm.IJCCM_353_17.

DOI:10.4103/ijccm.IJCCM_353_17
PMID:29910554
原文链接:https://pmc.ncbi.nlm.nih.gov/articles/PMC5971653/
Abstract

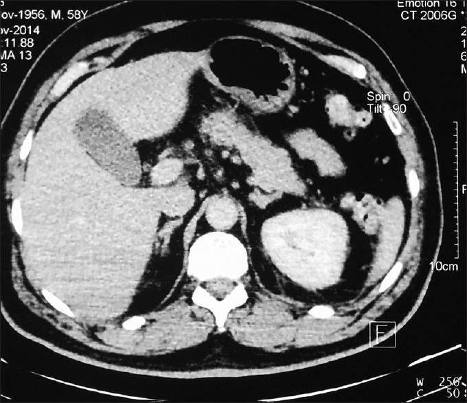
Hypertriglyceridemia (HTG) is the third leading cause of acute pancreatitis (APs) worldwide which is invariably associated with elevated pancreatic enzyme levels. We present a case of HTG-induced recurrent AP with normal serum amylase and lipase levels in a patient of Syndrome Z.

摘要

高甘油三酯血症(HTG)是全球急性胰腺炎(APs)的第三大主要病因,其总是与胰腺酶水平升高相关。我们报告一例Z综合征患者发生HTG诱导的复发性AP,但其血清淀粉酶和脂肪酶水平正常。

https://cdn.ncbi.nlm.nih.gov/pmc/blobs/54c4/5971653/068cd859be8f/IJCCM-22-381-g002.jpg
https://cdn.ncbi.nlm.nih.gov/pmc/blobs/54c4/5971653/068cd859be8f/IJCCM-22-381-g002.jpg
https://cdn.ncbi.nlm.nih.gov/pmc/blobs/54c4/5971653/068cd859be8f/IJCCM-22-381-g002.jpg

相似文献

1
Secondary Hypertriglyceridemia Causing Recurrent Acute Pancreatitis with Normal Pancreatic Enzymes.继发性高甘油三酯血症导致复发性急性胰腺炎且胰酶正常
Indian J Crit Care Med. 2018 May;22(5):381-383. doi: 10.4103/ijccm.IJCCM_353_17.
2
Subsets associated with developing acute pancreatitis in patients with severe hypertriglyceridemia and the severity of pancreatitis.严重高甘油三酯血症患者中与急性胰腺炎发展相关的亚组及胰腺炎严重程度。
Pancreatology. 2019 Sep;19(6):795-800. doi: 10.1016/j.pan.2019.08.002. Epub 2019 Aug 10.
3
Acute Pancreatitis Secondary to Severe Hypertriglyceridemia: Management of Severe Hypertriglyceridemia in Emergency Setting.重度高甘油三酯血症继发急性胰腺炎:急诊情况下重度高甘油三酯血症的管理
Gastroenterology Res. 2017 Jun;10(3):190-192. doi: 10.14740/gr762e. Epub 2017 Jun 30.
4
Moderate Hypertriglyceridemia Causing Recurrent Pancreatitis: A Case Report and the Literature Review.中度高甘油三酯血症引发复发性胰腺炎:一例报告及文献综述
Case Rep Gastrointest Med. 2018 Sep 24;2018:8714390. doi: 10.1155/2018/8714390. eCollection 2018.
5
Recurrent seasonal severe hypertriglyceridemia-induced acute pancreatitis; a case report.复发性季节性严重高甘油三酯血症诱发的急性胰腺炎;一例报告。
Ann Med Surg (Lond). 2022 Feb 24;75:103406. doi: 10.1016/j.amsu.2022.103406. eCollection 2022 Mar.
6
Acute pancreatitis due to hypertriglyceridemia: report of 2 cases.高甘油三酯血症所致急性胰腺炎:2例报告
Korean J Gastroenterol. 2005 Dec;46(6):475-80.
7
Significantly different clinical features between hypertriglyceridemia and biliary acute pancreatitis: a retrospective study of 730 patients from a tertiary center.高甘油三酯血症与胆源性急性胰腺炎的显著不同临床特征:一项对来自三级中心的730例患者的回顾性研究
BMC Gastroenterol. 2018 Jun 19;18(1):89. doi: 10.1186/s12876-018-0821-z.
8
Acute Pancreatitis With Normal Amylase and Lipase: A Diagnostic Dilemma.淀粉酶和脂肪酶正常的急性胰腺炎:诊断难题
Cureus. 2024 Jun 14;16(6):e62374. doi: 10.7759/cureus.62374. eCollection 2024 Jun.
9
Current knowledge of hypertriglyceridemic pancreatitis.高甘油三酯血症性胰腺炎的当前认知
Eur J Intern Med. 2014 Oct;25(8):689-94. doi: 10.1016/j.ejim.2014.08.008. Epub 2014 Sep 27.
10
Hypertriglyceridemia-induced acute pancreatitis: progress on disease mechanisms and treatment modalities.高甘油三酯血症性急性胰腺炎:疾病机制与治疗方式的进展
Discov Med. 2019 Feb;27(147):101-109.

引用本文的文献

1
Plasmapheresis for Hypertriglyceridemia-induced Acute Pancreatitis: A Systematic Review and Meta-summary of Case Reports.血浆置换治疗高甘油三酯血症性急性胰腺炎:病例报告的系统评价和Meta总结
Indian J Crit Care Med. 2025 Jul;29(7):604-611. doi: 10.5005/jp-journals-10071-25010. Epub 2025 Jul 7.
2
Recurrent seasonal severe hypertriglyceridemia-induced acute pancreatitis; a case report.复发性季节性严重高甘油三酯血症诱发的急性胰腺炎;一例报告。
Ann Med Surg (Lond). 2022 Feb 24;75:103406. doi: 10.1016/j.amsu.2022.103406. eCollection 2022 Mar.

本文引用的文献

1
Recurrent acute pancreatitis: an approach to diagnosis and management.复发性急性胰腺炎:诊断与管理方法
Trop Gastroenterol. 2013 Jul-Sep;34(3):123-35. doi: 10.7869/tg.116.
2
Acute pancreatitis with normal lipase in an 80-year-old man.一名80岁男性患脂肪酶正常的急性胰腺炎。
J Am Geriatr Soc. 2011 Aug;59(8):1542-3. doi: 10.1111/j.1532-5415.2011.03532.x.
3
Acute pancreatitis with normal serum lipase: a case series.血清脂肪酶正常的急性胰腺炎:病例系列
JOP. 2010 Jul 5;11(4):369-72.
4
Chylous ascites secondary to hyperlipidemic pancreatitis with normal serum amylase and lipase.血清淀粉酶和脂肪酶正常的高脂血症性胰腺炎继发乳糜性腹水。
World J Gastroenterol. 2007 Jan 21;13(3):480-2. doi: 10.3748/wjg.v13.i3.480.
5
Normal lipase serum level in acute pancreatitis: a case report.急性胰腺炎患者血清脂肪酶水平正常:一例报告
Emerg Med J. 2006 Sep;23(9):701-2. doi: 10.1136/emj.2006.037655.
6
Treatment of severe hypertriglyceridemia in nondiabetic patients with insulin.用胰岛素治疗非糖尿病患者的严重高甘油三酯血症。
Am J Emerg Med. 2005 May;23(3):415-7. doi: 10.1016/j.ajem.2005.02.036.
7
Unreliability of triglyceride measurement to predict turbidity induced interference.甘油三酯测量用于预测浊度诱导干扰的不可靠性。
J Clin Pathol. 2003 Nov;56(11):861-2. doi: 10.1136/jcp.56.11.861.
8
"Syndrome Z": the interaction of sleep apnoea, vascular risk factors and heart disease.“Z综合征”:睡眠呼吸暂停、血管危险因素与心脏病之间的相互作用。
Thorax. 1998 Oct;53 Suppl 3(Suppl 3):S25-8.
9
Computed axial tomography pancreatitis: an atypical asymptomatic postoperative disease without serum or urinary enzyme evaluation.
Wis Med J. 1997 Apr;96(4):25-8.