Suppr超能文献

利用免疫组织化学和液相色谱-串联四极杆质谱联用技术研究新西兰贻贝中河豚毒素的分布。

Distribution of Tetrodotoxin in the New Zealand Clam, , Established Using Immunohistochemistry and Liquid Chromatography-Tandem Quadrupole Mass Spectrometry.

机构信息

Cawthron Institute, Private Bag 2, Nelson 7010, New Zealand.

Department of Biological Sciences, University of Waikato, Private Bag 3105, Hamilton 3240, New Zealand.

出版信息

Toxins (Basel). 2018 Jul 6;10(7):282. doi: 10.3390/toxins10070282.

Abstract

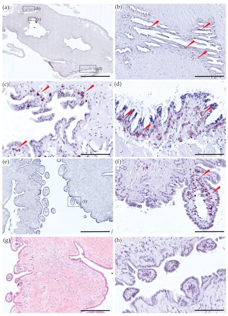
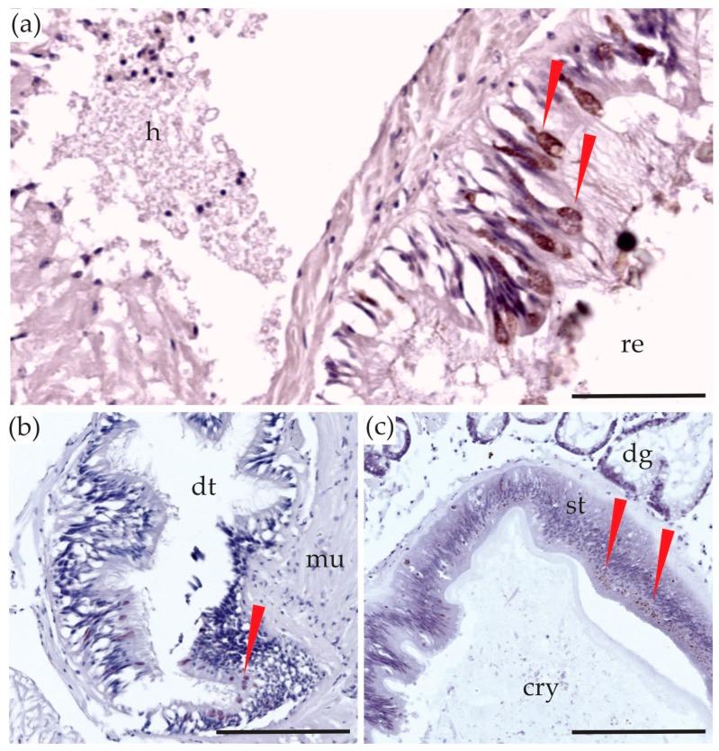
Tetrodotoxin (TTX) is one of the most potent neurotoxins known. It was originally thought to only occur in puffer fish but has now been identified in twelve different classes of freshwater and marine organisms, including bivalves. Despite being one of the world’s most studied biotoxins, its origin remains uncertain. There is contradictory evidence regarding the source of TTX and its pathway through food webs. To date, the distribution of TTX has not been examined in bivalves. In the present study, 48 , a TTX-containing clam species endemic to New Zealand, were collected. Thirty clams were dissected, and organs and tissues pooled into five categories (siphons, digestive gland, adductor muscles, and the ‘rest’) and analyzed for TTX using liquid chromatography-mass spectrometry (LC-MS). The micro-distribution of TTX was visualized in the remaining 18 individuals using an immunohistological technique incorporating a TTX-specific monoclonal antibody. The LC-MS analysis revealed that siphons contained the highest concentrations of TTX (mean 403.8 µg/kg). Immunohistochemistry analysis showed TTX in the outer cells of the siphons, but also in the digestive system, foot, and gill tissue. Observing TTX in organs involved in feeding provides initial evidence to support the hypothesis of an exogenous source in .

摘要

河豚毒素(TTX)是已知的最有效的神经毒素之一。它最初被认为只存在于河豚鱼中,但现在已在包括双壳类动物在内的 12 个不同类别的淡水和海洋生物中被发现。尽管河豚毒素是世界上研究最多的生物毒素之一,但它的起源仍不确定。关于 TTX 的来源及其在食物网中的途径存在相互矛盾的证据。迄今为止,尚未在双壳类动物中检查 TTX 的分布。在本研究中,收集了新西兰特有的一种含有 TTX 的蛤。解剖了 30 只蛤,将器官和组织分为五类(虹吸管、消化腺、闭壳肌和“其他”),并使用液相色谱-质谱法(LC-MS)分析 TTX。用结合 TTX 特异性单克隆抗体的免疫组织化学技术在其余 18 只个体中可视化 TTX 的微分布。LC-MS 分析显示虹吸管中 TTX 浓度最高(平均 403.8μg/kg)。免疫组织化学分析显示 TTX 存在于虹吸管的外层细胞中,但也存在于消化系统、足部和鳃组织中。在参与摄食的器官中观察到 TTX,为外源来源假说提供了初步证据。

https://cdn.ncbi.nlm.nih.gov/pmc/blobs/815f/6070791/6156fa17248a/toxins-10-00282-g001.jpg

文献检索

告别复杂PubMed语法,用中文像聊天一样搜索,搜遍4000万医学文献。AI智能推荐,让科研检索更轻松。

立即免费搜索

文件翻译

保留排版,准确专业,支持PDF/Word/PPT等文件格式,支持 12+语言互译。

免费翻译文档

深度研究

AI帮你快速写综述,25分钟生成高质量综述,智能提取关键信息,辅助科研写作。

立即免费体验