Suppr超能文献

腰椎单发性佩吉特病:一种病理模仿者。

Monostotic Paget Disease of the Lumbar Vertebrae: A Pathological Mimicker.

作者信息

Senthil Vishnu, Balaji Satish

机构信息

Department of Orthopaedics, Sree Balaji Medical College and Hospital, Chennai, India.

出版信息

Neurospine. 2018 Jun;15(2):182-186. doi: 10.14245/ns.1834922.461. Epub 2018 Jun 19.

Abstract

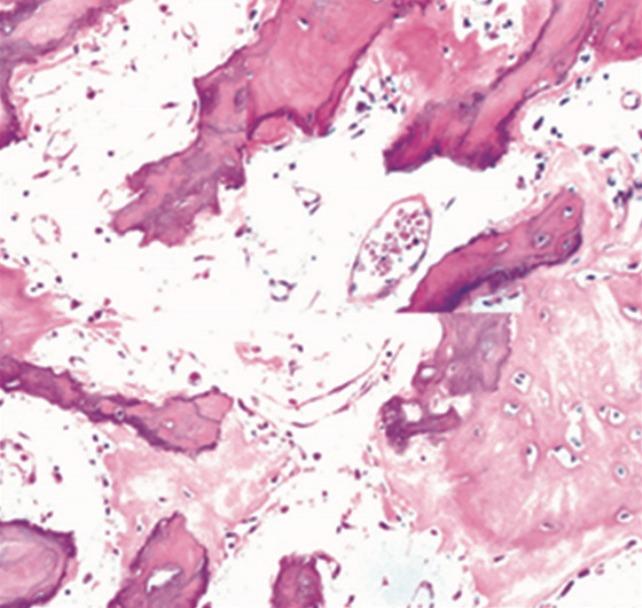
Paget disease is a metabolic disorder involving abnormal bone turnover that consists of 3 phases: the initial lytic phase, the intermediate mixed phase, and the chronic sclerotic phase. Paget disease mostly presents as polyostotic or monostotic lesions of the spine, and is rare on the Indian subcontinent. We present a case of isolated Paget disease of the lumbar third vertebra, which was confirmed only at biopsy. The patient presented with chronic low backache with a developing neurological deficit. We managed the patient with posterior spinal stabilisation, using pedicular screws and vertebroplasty of the collapsed vertebrae to regain the height. Upon the diagnosis of Paget disease, the patient was treated with calcitonin and bisphosphonates for 3 months, along with regular monitoring of alkaline phosphatase levels. Through this case, we hope to emphasize that Paget disease should be considered in the differential diagnosis of lytic lesions. Additionally, the alkaline phosphatase level in this patient was high-normal, which was an aspect of the role of Paget disease as a mimicker. Confirmatory biopsy is mandatory in all lesions.

摘要

佩吉特病是一种涉及异常骨转换的代谢性疾病,包括三个阶段:初始溶骨期、中间混合期和慢性硬化期。佩吉特病大多表现为脊柱的多骨或单骨病变,在印度次大陆较为罕见。我们报告一例仅在活检时确诊的第三腰椎孤立性佩吉特病病例。该患者表现为慢性下背痛并伴有逐渐发展的神经功能缺损。我们采用椎弓根螺钉进行后路脊柱稳定术,并对塌陷椎体进行椎体成形术以恢复高度,从而对该患者进行治疗。在诊断为佩吉特病后,该患者接受了3个月的降钙素和双膦酸盐治疗,并定期监测碱性磷酸酶水平。通过这个病例,我们希望强调在溶骨性病变的鉴别诊断中应考虑佩吉特病。此外,该患者的碱性磷酸酶水平略高于正常,这是佩吉特病作为一种模仿者的作用的一个方面。对于所有病变,确诊性活检是必不可少的。

https://cdn.ncbi.nlm.nih.gov/pmc/blobs/4779/6104730/006895fdd00e/ns-1834922-461f1.jpg

文献AI研究员

20分钟写一篇综述,助力文献阅读效率提升50倍。

立即体验

用中文搜PubMed

大模型驱动的PubMed中文搜索引擎

马上搜索

文档翻译

学术文献翻译模型,支持多种主流文档格式。

立即体验