• 文献检索
  • 文档翻译
  • 深度研究
  • 学术资讯
  • Suppr Zotero 插件Zotero 插件
  • 邀请有礼
  • 套餐&价格
  • 历史记录
应用&插件
Suppr Zotero 插件Zotero 插件浏览器插件Mac 客户端Windows 客户端微信小程序
定价
高级版会员购买积分包购买API积分包
服务
文献检索文档翻译深度研究API 文档MCP 服务
关于我们
关于 Suppr公司介绍联系我们用户协议隐私条款
关注我们

Suppr 超能文献

核心技术专利:CN118964589B侵权必究
粤ICP备2023148730 号-1Suppr @ 2026

文献检索

告别复杂PubMed语法,用中文像聊天一样搜索,搜遍4000万医学文献。AI智能推荐,让科研检索更轻松。

立即免费搜索

文件翻译

保留排版,准确专业,支持PDF/Word/PPT等文件格式,支持 12+语言互译。

免费翻译文档

深度研究

AI帮你快速写综述,25分钟生成高质量综述,智能提取关键信息,辅助科研写作。

立即免费体验

丘脑生殖细胞瘤:一项具有挑战性的诊断、病例报告及文献综述

Thalamic germinoma: a challenging diagnosis, case report and literature review.

作者信息

Khairy Sami, Khubrani Reham, Al-Dandan Sadeq, Alobaid Abdullah

机构信息

Department of Neurosurgery in King Abdulaziz Medical City, King Saud bin Abdulaziz University for Health Sciences, King Abdullah International Medical Research Center Ministry of National Guard Health Affairs, Riyadh, Saudi Arabia.

Department of Pathology and Laboratory Medicine, King Faisal Specialist Hospital and Research Center (KFSH&RC), Riyadh, Saudi Arabia.

出版信息

J Surg Case Rep. 2018 Jul 3;2018(7):rjy154. doi: 10.1093/jscr/rjy154. eCollection 2018 Jul.

DOI:10.1093/jscr/rjy154
PMID:29992007
原文链接:https://pmc.ncbi.nlm.nih.gov/articles/PMC6031045/
Abstract

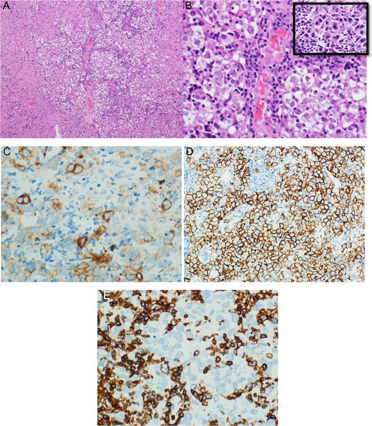
The thalamus and basal ganglia are unusual locations for an intracranial germ cell tumors. We are reporting a rare case of thalamic germinoma in an 18-year-old male. Challenging presentation, radiological appearance and pathological finding after surgical intervention delayed the diagnosis and treatment. Also, we are providing an extensive literature review. Diagnosis of thalamic germinoma is challenging because of non-specific symptoms, rare location and inconclusive radiological findings. An early tissue diagnosis associated with good outcome.

摘要

丘脑和基底神经节是颅内生殖细胞肿瘤的不常见发病部位。我们报告一例18岁男性丘脑生殖细胞瘤的罕见病例。具有挑战性的临床表现、影像学表现以及手术干预后的病理结果延误了诊断和治疗。此外,我们还提供了广泛的文献综述。丘脑生殖细胞瘤的诊断具有挑战性,原因在于症状不具特异性、发病部位罕见以及影像学检查结果不明确。早期组织诊断与良好预后相关。

https://cdn.ncbi.nlm.nih.gov/pmc/blobs/beec/6031045/769dd73f2ff8/rjy154f02.jpg
https://cdn.ncbi.nlm.nih.gov/pmc/blobs/beec/6031045/02141daa7e32/rjy154f01.jpg
https://cdn.ncbi.nlm.nih.gov/pmc/blobs/beec/6031045/769dd73f2ff8/rjy154f02.jpg
https://cdn.ncbi.nlm.nih.gov/pmc/blobs/beec/6031045/02141daa7e32/rjy154f01.jpg
https://cdn.ncbi.nlm.nih.gov/pmc/blobs/beec/6031045/769dd73f2ff8/rjy154f02.jpg

相似文献

1
Thalamic germinoma: a challenging diagnosis, case report and literature review.丘脑生殖细胞瘤:一项具有挑战性的诊断、病例报告及文献综述
J Surg Case Rep. 2018 Jul 3;2018(7):rjy154. doi: 10.1093/jscr/rjy154. eCollection 2018 Jul.
2
Preoperatively difficult-to-diagnose medulla oblongata germinoma: A case report and literature review.术前难以诊断的延髓生殖细胞瘤:一例报告及文献复习
Surg Neurol Int. 2023 Oct 13;14:366. doi: 10.25259/SNI_682_2023. eCollection 2023.
3
Germinoma with synchronous involvement of midline and off-midline structures associated with progressive hemiparesis and hemiatrophy in a young adult.一名年轻成人患生殖细胞瘤,同时累及中线和中线旁结构,并伴有进行性偏瘫和半侧萎缩。
Childs Nerv Syst. 2007 Nov;23(11):1341-5. doi: 10.1007/s00381-007-0390-x. Epub 2007 Jul 3.
4
Targeting optimal biopsy location in basal ganglia germinoma using (11)C-methionine positron emission tomography.使用(11)C-蛋氨酸正电子发射断层扫描技术确定基底节生殖细胞瘤的最佳活检部位
Surg Neurol. 2008 Oct;70(4):408-13; discussion 413. doi: 10.1016/j.surneu.2007.04.010. Epub 2008 Mar 4.
5
Germinoma Mimicking Tumefactive Demyelinating Disease in Pediatric Patients.小儿患者中酷似瘤样脱髓鞘疾病的生殖细胞瘤
Pediatr Neurosurg. 2016;51(3):149-53. doi: 10.1159/000439028. Epub 2016 Jan 27.
6
Germ cell tumors (germinoma and yolk sac tumor) in unusual sites in the brain.
Clin Neuropathol. 1986 Sep-Oct;5(5):190-202.
7
Familial neurofibromatosis 1 with germinoma involving the basal ganglion and thalamus.
Childs Nerv Syst. 1995 Aug;11(8):456-8. doi: 10.1007/BF00334965.
8
Intracranial germinoma with Down's syndrome: a case report and review of the literature.
Surg Neurol. 1997 Jan;47(1):28-31. doi: 10.1016/s0090-3019(96)00152-8.
9
Basal ganglia germinoma in children with associated ipsilateral cerebral and brain stem hemiatrophy.伴有同侧大脑和脑干半侧萎缩的儿童基底节生殖细胞瘤。
Pediatr Radiol. 2006 Apr;36(4):325-30. doi: 10.1007/s00247-005-0063-4. Epub 2006 Feb 4.
10
Intracranial germ cell tumors at unusual locations.非典型部位的颅内生殖细胞肿瘤。
J Postgrad Med. 2012 Oct-Dec;58(4):286-9. doi: 10.4103/0022-3859.105449.

引用本文的文献

1
Hydrocephalus as an Initial Presentation of Myelin Oligodendrocyte Glycoprotein (MOG) Antibody-Associated Disease: A Case Report and Review of Tumor-Mimicking Demyelination.脑积水作为髓鞘少突胶质细胞糖蛋白(MOG)抗体相关疾病的首发表现:一例病例报告及类肿瘤性脱髓鞘的综述
Cureus. 2025 Aug 2;17(8):e89246. doi: 10.7759/cureus.89246. eCollection 2025 Aug.
2
Implantation Metastasis Following a Biopsy of Thalamic Germinoma: A Case Report.丘脑生殖细胞瘤活检后种植转移:一例报告
Cureus. 2024 Nov 25;16(11):e74377. doi: 10.7759/cureus.74377. eCollection 2024 Nov.
3
Ectopic Germinoma: A Delayed Diagnosis With Serial Magnetic Resonance Imaging Features.

本文引用的文献

1
Germinomas in the basal ganglia: magnetic resonance imaging classification and the prognosis.基底节生殖细胞瘤:磁共振成像分类与预后。
J Neurooncol. 2010 Sep;99(2):227-36. doi: 10.1007/s11060-010-0119-7. Epub 2010 Jan 20.
2
Germinoma in the basal ganglia with an abnormal karyotype: case report and review of the literature.基底节区伴有异常核型的生殖细胞瘤:病例报告及文献复习
Childs Nerv Syst. 2010 May;26(5):707-12. doi: 10.1007/s00381-009-1007-3. Epub 2009 Oct 30.
3
Atypical location of germinoma in basal ganglia in adolescents: radiological features and treatment outcomes.
Cureus. 2021 Dec 27;13(12):e20760. doi: 10.7759/cureus.20760. eCollection 2021 Dec.
青少年基底节生殖细胞瘤的非典型部位:放射学特征和治疗结果。
Br J Radiol. 2010 Mar;83(987):261-7. doi: 10.1259/bjr/25001856. Epub 2009 Sep 14.
4
The germinomas arising from the basal ganglia and thalamus.
Childs Nerv Syst. 2008 Mar;24(3):303-6. doi: 10.1007/s00381-007-0460-0. Epub 2007 Sep 19.
5
Central nervous system germ cell tumors: controversies in diagnosis and treatment.中枢神经系统生殖细胞肿瘤:诊断与治疗中的争议
Oncology (Williston Park). 2005 May;19(6):705-11; discussion 711-2, 715-7, 721.
6
Neuroimaging of thalamic tumors in children.儿童丘脑肿瘤的神经影像学
Childs Nerv Syst. 2002 Aug;18(8):426-39. doi: 10.1007/s00381-002-0607-y. Epub 2002 Jul 30.
7
Basal ganglia germinoma with progressive cerebral hemiatrophy.
Pediatr Neurol. 1999 Apr;20(4):312-4. doi: 10.1016/s0887-8994(98)00161-1.
8
Primary intracranial germ-cell tumor in children.儿童原发性颅内生殖细胞肿瘤
Zhonghua Yi Xue Za Zhi (Taipei). 1997 Nov;60(5):259-64.
9
So-called intracranial germ cell tumours: are they really of germ cell origin?所谓的颅内生殖细胞肿瘤:它们真的起源于生殖细胞吗?
Br J Neurosurg. 1995;9(3):391-401. doi: 10.1080/02688699550041395.