• 文献检索
  • 文档翻译
  • 深度研究
  • 学术资讯
  • Suppr Zotero 插件Zotero 插件
  • 邀请有礼
  • 套餐&价格
  • 历史记录
应用&插件
Suppr Zotero 插件Zotero 插件浏览器插件Mac 客户端Windows 客户端微信小程序
定价
高级版会员购买积分包购买API积分包
服务
文献检索文档翻译深度研究API 文档MCP 服务
关于我们
关于 Suppr公司介绍联系我们用户协议隐私条款
关注我们

Suppr 超能文献

核心技术专利:CN118964589B侵权必究
粤ICP备2023148730 号-1Suppr @ 2026

文献检索

告别复杂PubMed语法,用中文像聊天一样搜索,搜遍4000万医学文献。AI智能推荐,让科研检索更轻松。

立即免费搜索

文件翻译

保留排版,准确专业,支持PDF/Word/PPT等文件格式,支持 12+语言互译。

免费翻译文档

深度研究

AI帮你快速写综述,25分钟生成高质量综述,智能提取关键信息,辅助科研写作。

立即免费体验

曲普瑞林对短期暴露于环磷酰胺的雄性白化大鼠海马和大脑皮质神经细胞保护作用的组织病理学和免疫组织化学研究

Histopathological and immunohistochemical study of the protective effect of triptorelin on the neurocytes of the hippocampus and the cerebral cortex of male albino rats after short-term exposure to cyclophosphamide.

作者信息

Shaibah Hassan S, Elsify Abd-Elhamid K, Medhat Taha M, Rezk Hassan M, El-Sherbiny Mohamed

机构信息

Department of Anatomy, Faculty of Medicine, Umm Al-Qura University, Makkah, Saudi Arabia.

Department of Anatomy, Batterjee Medical College, Jeddah, Saudi Arabia.

出版信息

J Microsc Ultrastruct. 2016 Jul-Sep;4(3):123-132. doi: 10.1016/j.jmau.2015.12.002. Epub 2015 Dec 15.

DOI:10.1016/j.jmau.2015.12.002
PMID:30023218
原文链接:https://pmc.ncbi.nlm.nih.gov/articles/PMC6014199/
Abstract

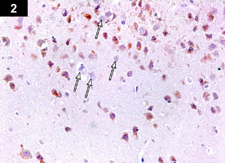
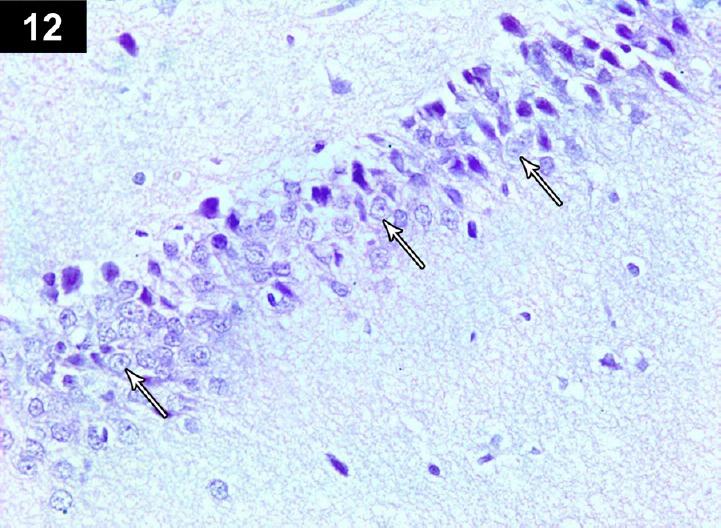
Chemotherapy treats many types of cancer effectively but it often causes side effects. Chemotherapy works on active cells, such as cancer cells, and some healthy cells. Side effects happen when chemotherapy damages these healthy cells. Today, many more drugs are available to treat side effects than in the past. Triptorelin (Decapeptyl) is a gonadotropin-releasing hormone agonist that is reported to have many therapeutic effects besides being an anti-cancer agent. In the current study, intraperitoneal cyclophosphamide (65 mg/kg/day) was administered for 4 weeks to induce marked dystrophic changes in the cerebral cortex and hippocampus of male albino rats. After 4 weeks, we observed significant degeneration of neurocytes with dystrophic changes. Subcutaneous triptorelin (0.05 mg/kg/day) for 4 weeks significantly improved histological signs of degeneration and apoptosis. Anti-Bcl2 staining of sections of the cerebral cortex and hippocampus showed that the apoptotic index was increased. This finding was confirmed by the anti-p53 staining, which showed a significant decrease in the apoptotic index. Ultimately, such improvements were accompanied by significant restoration of normal brain histology, as revealed by hematoxylin and eosin. In conclusion, triptorelin can reverse the apoptotic changes induced by cyclophosphamide therapy, which is more marked in the hippocampus than cerebral cortex.

摘要

化疗能有效治疗多种类型的癌症,但它常常会引发副作用。化疗作用于活跃细胞,如癌细胞和一些健康细胞。当化疗损害这些健康细胞时,副作用就会出现。如今,相较于过去,有更多药物可用于治疗副作用。曲普瑞林(德普佳)是一种促性腺激素释放激素激动剂,据报道,除了作为抗癌药物外,它还有许多治疗作用。在当前的研究中,对雄性白化大鼠腹腔注射环磷酰胺(65毫克/千克/天),持续4周,以诱导大脑皮层和海马体出现明显的营养不良性变化。4周后,我们观察到神经细胞出现显著退化并伴有营养不良性变化。皮下注射曲普瑞林(0.05毫克/千克/天),持续4周,显著改善了退化和凋亡的组织学迹象。大脑皮层和海马体切片的抗Bcl2染色显示凋亡指数增加。抗p53染色证实了这一发现,其显示凋亡指数显著降低。最终,苏木精和伊红染色显示,这些改善伴随着正常脑组织学的显著恢复。总之,曲普瑞林可以逆转环磷酰胺治疗所诱导的凋亡变化,这种变化在海马体中比在大脑皮层中更为明显。

https://cdn.ncbi.nlm.nih.gov/pmc/blobs/4d19/6014199/b8059446900c/JMAU-4-123-g020.jpg
https://cdn.ncbi.nlm.nih.gov/pmc/blobs/4d19/6014199/8a4698e10e15/JMAU-4-123-g001.jpg
https://cdn.ncbi.nlm.nih.gov/pmc/blobs/4d19/6014199/e1ab5d27b29c/JMAU-4-123-g002.jpg
https://cdn.ncbi.nlm.nih.gov/pmc/blobs/4d19/6014199/3f30a3c3ef60/JMAU-4-123-g003.jpg
https://cdn.ncbi.nlm.nih.gov/pmc/blobs/4d19/6014199/767515583e6f/JMAU-4-123-g004.jpg
https://cdn.ncbi.nlm.nih.gov/pmc/blobs/4d19/6014199/91ba62094758/JMAU-4-123-g005.jpg
https://cdn.ncbi.nlm.nih.gov/pmc/blobs/4d19/6014199/e363de881a2a/JMAU-4-123-g006.jpg
https://cdn.ncbi.nlm.nih.gov/pmc/blobs/4d19/6014199/9d13d92605ba/JMAU-4-123-g007.jpg
https://cdn.ncbi.nlm.nih.gov/pmc/blobs/4d19/6014199/c1c223ab57c0/JMAU-4-123-g008.jpg
https://cdn.ncbi.nlm.nih.gov/pmc/blobs/4d19/6014199/f98d943bcb1a/JMAU-4-123-g009.jpg
https://cdn.ncbi.nlm.nih.gov/pmc/blobs/4d19/6014199/3a4819573909/JMAU-4-123-g010.jpg
https://cdn.ncbi.nlm.nih.gov/pmc/blobs/4d19/6014199/b004046f1a3b/JMAU-4-123-g011.jpg
https://cdn.ncbi.nlm.nih.gov/pmc/blobs/4d19/6014199/db6efc22142d/JMAU-4-123-g012.jpg
https://cdn.ncbi.nlm.nih.gov/pmc/blobs/4d19/6014199/a8c2a09694e2/JMAU-4-123-g013.jpg
https://cdn.ncbi.nlm.nih.gov/pmc/blobs/4d19/6014199/4bfe94cfe2fd/JMAU-4-123-g014.jpg
https://cdn.ncbi.nlm.nih.gov/pmc/blobs/4d19/6014199/00f824f1e841/JMAU-4-123-g015.jpg
https://cdn.ncbi.nlm.nih.gov/pmc/blobs/4d19/6014199/634dadf559a4/JMAU-4-123-g016.jpg
https://cdn.ncbi.nlm.nih.gov/pmc/blobs/4d19/6014199/ad60c353ef3b/JMAU-4-123-g017.jpg
https://cdn.ncbi.nlm.nih.gov/pmc/blobs/4d19/6014199/e4191acb749d/JMAU-4-123-g018.jpg
https://cdn.ncbi.nlm.nih.gov/pmc/blobs/4d19/6014199/28734368c8e9/JMAU-4-123-g019.jpg
https://cdn.ncbi.nlm.nih.gov/pmc/blobs/4d19/6014199/b8059446900c/JMAU-4-123-g020.jpg
https://cdn.ncbi.nlm.nih.gov/pmc/blobs/4d19/6014199/8a4698e10e15/JMAU-4-123-g001.jpg
https://cdn.ncbi.nlm.nih.gov/pmc/blobs/4d19/6014199/e1ab5d27b29c/JMAU-4-123-g002.jpg
https://cdn.ncbi.nlm.nih.gov/pmc/blobs/4d19/6014199/3f30a3c3ef60/JMAU-4-123-g003.jpg
https://cdn.ncbi.nlm.nih.gov/pmc/blobs/4d19/6014199/767515583e6f/JMAU-4-123-g004.jpg
https://cdn.ncbi.nlm.nih.gov/pmc/blobs/4d19/6014199/91ba62094758/JMAU-4-123-g005.jpg
https://cdn.ncbi.nlm.nih.gov/pmc/blobs/4d19/6014199/e363de881a2a/JMAU-4-123-g006.jpg
https://cdn.ncbi.nlm.nih.gov/pmc/blobs/4d19/6014199/9d13d92605ba/JMAU-4-123-g007.jpg
https://cdn.ncbi.nlm.nih.gov/pmc/blobs/4d19/6014199/c1c223ab57c0/JMAU-4-123-g008.jpg
https://cdn.ncbi.nlm.nih.gov/pmc/blobs/4d19/6014199/f98d943bcb1a/JMAU-4-123-g009.jpg
https://cdn.ncbi.nlm.nih.gov/pmc/blobs/4d19/6014199/3a4819573909/JMAU-4-123-g010.jpg
https://cdn.ncbi.nlm.nih.gov/pmc/blobs/4d19/6014199/b004046f1a3b/JMAU-4-123-g011.jpg
https://cdn.ncbi.nlm.nih.gov/pmc/blobs/4d19/6014199/db6efc22142d/JMAU-4-123-g012.jpg
https://cdn.ncbi.nlm.nih.gov/pmc/blobs/4d19/6014199/a8c2a09694e2/JMAU-4-123-g013.jpg
https://cdn.ncbi.nlm.nih.gov/pmc/blobs/4d19/6014199/4bfe94cfe2fd/JMAU-4-123-g014.jpg
https://cdn.ncbi.nlm.nih.gov/pmc/blobs/4d19/6014199/00f824f1e841/JMAU-4-123-g015.jpg
https://cdn.ncbi.nlm.nih.gov/pmc/blobs/4d19/6014199/634dadf559a4/JMAU-4-123-g016.jpg
https://cdn.ncbi.nlm.nih.gov/pmc/blobs/4d19/6014199/ad60c353ef3b/JMAU-4-123-g017.jpg
https://cdn.ncbi.nlm.nih.gov/pmc/blobs/4d19/6014199/e4191acb749d/JMAU-4-123-g018.jpg
https://cdn.ncbi.nlm.nih.gov/pmc/blobs/4d19/6014199/28734368c8e9/JMAU-4-123-g019.jpg
https://cdn.ncbi.nlm.nih.gov/pmc/blobs/4d19/6014199/b8059446900c/JMAU-4-123-g020.jpg

相似文献

1
Histopathological and immunohistochemical study of the protective effect of triptorelin on the neurocytes of the hippocampus and the cerebral cortex of male albino rats after short-term exposure to cyclophosphamide.曲普瑞林对短期暴露于环磷酰胺的雄性白化大鼠海马和大脑皮质神经细胞保护作用的组织病理学和免疫组织化学研究
J Microsc Ultrastruct. 2016 Jul-Sep;4(3):123-132. doi: 10.1016/j.jmau.2015.12.002. Epub 2015 Dec 15.
2
The Protective Effect of GnRH Agonist Triptorelin on the Histomorphometric Parameters of the Utero-ovarian Tissue in the Doxorubicin- and Cyclophosphamide-treated Mice.促性腺激素释放激素激动剂曲普瑞林对多柔比星和顺铂治疗小鼠子宫卵巢组织组织形态计量学参数的保护作用。
Cell Biochem Biophys. 2025 Mar;83(1):573-586. doi: 10.1007/s12013-024-01487-3. Epub 2024 Sep 8.
3
Possible protective effect of royal jelly against cyclophosphamide induced prostatic damage in male albino rats; a biochemical, histological and immuno-histo-chemical study.蜂王浆对环磷酰胺诱导的雄性白化大鼠前列腺损伤的可能保护作用;一项生化、组织学和免疫组织化学研究。
Biomed Pharmacother. 2017 Jun;90:15-23. doi: 10.1016/j.biopha.2017.03.020. Epub 2017 Mar 21.
4
Ameliorating effect of selenium nanoparticles on cyclophosphamide-induced hippocampal neurotoxicity in male rats: light, electron microscopic and immunohistochemical study.硒纳米粒子对环磷酰胺诱导雄性大鼠海马神经毒性的改善作用:光镜、电镜和免疫组织化学研究。
Folia Morphol (Warsz). 2021;80(4):806-819. doi: 10.5603/FM.a2020.0117. Epub 2020 Oct 21.
5
Effect of a gonadotropin-releasing hormone analogue on cyclophosphamide-induced ovarian toxicity in adult mice.促性腺激素释放激素类似物对成年小鼠环磷酰胺诱导的卵巢毒性的影响。
Arch Gynecol Obstet. 2013 May;287(5):1023-9. doi: 10.1007/s00404-012-2658-y. Epub 2012 Dec 7.
6
The model of pentylenetetrazol-induced status epilepticus in the immature rat: short- and long-term effects.幼鼠戊四氮诱导癫痫持续状态模型:短期和长期影响
Epilepsy Res. 1996 Dec;26(1):93-103. doi: 10.1016/s0920-1211(96)00045-9.
7
[Clinical study of subcutaneous administration of gonadotropin-releasing hormone agonist every six weeks in girls with idiopathic central precocious puberty].[每六周皮下注射促性腺激素释放激素激动剂治疗特发性中枢性性早熟女童的临床研究]
Zhonghua Er Ke Za Zhi. 2004 Nov;42(11):845-9.
8
Increase of antitumor activity of cisplatin using agonist of gonadotropin-realising hormone and inhibitor of aromatase on the model of ascites ovarian tumor.在腹水型卵巢肿瘤模型上使用促性腺激素释放激素激动剂和芳香化酶抑制剂增强顺铂的抗肿瘤活性
Exp Oncol. 2014 Sep;36(3):184-90.
9
Efficacy of subcutaneous administration of gonadotropin-releasing hormone agonist on idiopathic central precocious puberty.皮下注射促性腺激素释放激素激动剂治疗特发性中枢性性早熟的疗效
J Huazhong Univ Sci Technolog Med Sci. 2006;26(5):558-61. doi: 10.1007/s11596-006-0519-2.
10
Expression of gonadotropin-releasing hormone (GnRH) receptor gene is altered by GnRH agonist desensitization in a manner similar to that of gonadotropin beta-subunit genes in normal and castrated rat pituitary.促性腺激素释放激素(GnRH)受体基因的表达在正常和去势大鼠垂体中,以与促性腺激素β亚基基因类似的方式被GnRH激动剂脱敏所改变。
Endocrinology. 1995 Jul;136(7):2803-8. doi: 10.1210/endo.136.7.7789305.

引用本文的文献

1
Effects of empagliflozin on cyclophosphamide-induced neurotoxicity in rats without diabetes.恩格列净对无糖尿病大鼠环磷酰胺诱导的神经毒性的影响。
Turk J Med Sci. 2024 Dec 30;55(1):65-71. doi: 10.55730/1300-0144.5943. eCollection 2025.
2
Extraction, Phytochemical profile, and neuroprotective activity of fruit extract against sodium valproate-induced postnatal autism in BALB/c mice.水果提取物对丙戊酸钠诱导的BALB/c小鼠产后自闭症的提取、植物化学特征及神经保护活性
Heliyon. 2024 Jul 20;10(15):e34992. doi: 10.1016/j.heliyon.2024.e34992. eCollection 2024 Aug 15.
3
Molecular mechanisms underlying cyclophosphamide-induced cognitive impairment and strategies for neuroprotection in preclinical models.

本文引用的文献

1
Decapeptyl ameliorates cyclophosphamide-induced reproductive toxicity in male Balb/C mice: histomorphometric, stereologic and hormonal evidences.曲普瑞林改善环磷酰胺诱导的雄性Balb/C小鼠生殖毒性:组织形态计量学、体视学和激素证据
Iran J Reprod Med. 2013 Oct;11(10):791-800.
2
The chemotherapy long-term effect on cognitive functions and brain metabolism in lymphoma patients.化疗对淋巴瘤患者认知功能和脑代谢的长期影响。
Q J Nucl Med Mol Imaging. 2012 Dec;56(6):559-68. Epub 2012 Nov 21.
3
Frontal gray matter reduction after breast cancer chemotherapy and association with executive symptoms: a replication and extension study.
环磷酰胺导致认知障碍的分子机制及在临床前模型中神经保护的策略。
Mol Cell Biochem. 2024 Aug;479(8):1873-1893. doi: 10.1007/s11010-023-04805-0. Epub 2023 Jul 31.
4
Protective effects of hesperidin in cyclophosphamide-induced parotid toxicity in rats.橙皮苷对环磷酰胺诱导的大鼠腮腺毒性的保护作用。
Sci Rep. 2023 Jan 4;13(1):158. doi: 10.1038/s41598-022-26881-w.
5
Protective Effects of Intranasally Administrated Oxytocin-Loaded Nanoparticles on Pentylenetetrazole-Kindling Epilepsy in Terms of Seizure Severity, Memory, Neurogenesis, and Neuronal Damage.经鼻给予载催产素纳米粒子对戊四氮点燃癫痫的保护作用:从发作严重程度、记忆、神经发生和神经元损伤方面评估。
ACS Chem Neurosci. 2022 Jul 6;13(13):1923-1937. doi: 10.1021/acschemneuro.2c00124. Epub 2022 Jun 17.
6
Exercise Normalized the Hippocampal Renin-Angiotensin System and Restored Spatial Memory Function, Neurogenesis, and Blood-Brain Barrier Permeability in the 2K1C-Hypertensive Mouse.运动使 2K1C 高血压小鼠海马肾素-血管紧张素系统正常化,并恢复其空间记忆功能、神经发生和血脑屏障通透性。
Int J Mol Sci. 2022 May 16;23(10):5531. doi: 10.3390/ijms23105531.
7
Sitagliptin Attenuates the Cognitive Deficits in L-Methionine-Induced Vascular Dementia in Rats.西他列汀可减轻 L-蛋氨酸诱导的血管性痴呆大鼠的认知功能障碍。
Biomed Res Int. 2022 Feb 27;2022:7222590. doi: 10.1155/2022/7222590. eCollection 2022.
8
Alpha-Lipoic Acid Protects Co-Exposure to Lead and Zinc Oxide Nanoparticles Induced Neuro, Immuno and Male Reproductive Toxicity in Rats.α-硫辛酸可保护大鼠免受铅与氧化锌纳米颗粒共同暴露所致的神经、免疫及雄性生殖毒性。
Front Pharmacol. 2021 Jul 8;12:626238. doi: 10.3389/fphar.2021.626238. eCollection 2021.
乳腺癌化疗后额部灰质减少与执行症状的关系:一项复制和扩展研究。
Brain Behav Immun. 2013 Mar;30 Suppl(0):S117-25. doi: 10.1016/j.bbi.2012.05.007. Epub 2012 May 18.
4
Global and focal brain volume in long-term breast cancer survivors exposed to adjuvant chemotherapy.长期接受辅助化疗的乳腺癌幸存者的全脑和局部脑容量。
Breast Cancer Res Treat. 2012 Apr;132(3):1099-106. doi: 10.1007/s10549-011-1888-1. Epub 2011 Dec 29.
5
Protective effects of green tea polyphenols against subacute hepatotoxicity induced by microcystin-LR in mice.
Environ Toxicol Pharmacol. 2007 Sep;24(2):140-8. doi: 10.1016/j.etap.2007.04.004. Epub 2007 Apr 21.
6
Cyclophosphamide impairs hippocampus-dependent learning and memory in adult mice: Possible involvement of hippocampal neurogenesis in chemotherapy-induced memory deficits.环磷酰胺损害成年小鼠海马依赖性学习和记忆:海马神经发生在化疗诱导的记忆缺陷中的可能作用。
Neurobiol Learn Mem. 2010 May;93(4):487-94. doi: 10.1016/j.nlm.2010.01.006. Epub 2010 Jan 28.
7
5-Fluorouracil chemotherapy affects spatial working memory and newborn neurons in the adult rat hippocampus.5-氟尿嘧啶化疗影响成年大鼠海马体的空间工作记忆和新生神经元。
Eur J Neurosci. 2008 Jul;28(2):323-30. doi: 10.1111/j.1460-9568.2008.06325.x.
8
Transient impairment of hippocampus-dependent learning and memory in relatively low-dose of acute radiation syndrome is associated with inhibition of hippocampal neurogenesis.相对低剂量急性放射综合征中海马体依赖性学习和记忆的短暂损伤与海马体神经发生的抑制有关。
J Radiat Res. 2008 Sep;49(5):517-26. doi: 10.1269/jrr.08020. Epub 2008 Jun 24.
9
Immunoreactive GnRH type I receptors in the mouse and sheep brain.小鼠和绵羊大脑中的免疫反应性促性腺激素释放激素I型受体
J Chem Neuroanat. 2008 Jul;35(4):326-33. doi: 10.1016/j.jchemneu.2008.03.004. Epub 2008 Mar 22.
10
How chemotherapy damages the central nervous system.化疗如何损害中枢神经系统。
J Biol. 2008;7(4):11. doi: 10.1186/jbiol73. Epub 2008 Apr 22.