Suppr超能文献

上颌窦炎性疾病的扩散加权磁共振成像:三例报告及文献复习

Diffusion-Weighted Magnetic Resonance Imaging in Maxillary Sinuses Inflammatory Diseases: Report of Three Cases and Literature Review.

作者信息

Munhoz Luciana, Abdala Júnior Reinaldo, Abdala Rogério, Asaumi Junichi, Arita Emiko Saito

机构信息

Department of Stomatology, School of Dentistry, São Paulo University, São PauloBrazil.

Centro de Diagnósticos Brasil, São PauloBrazil.

出版信息

J Oral Maxillofac Res. 2018 Jun 29;9(2):e4. doi: 10.5037/jomr.2018.9204. eCollection 2018 Apr-Jun.

Abstract

BACKGROUND

Magnetic resonance imaging is considered a preferable imaging examination in the diagnosis of inflammatory maxillary sinus disease and can provide precise sinonasal characterization. Diffusion-weighted magnetic resonance imaging and apparent diffusion coefficient are complementary magnetic resonance imaging tools that can be applied to the differentiation of sinus diseases. In this report, 3 cases of inflammatory maxillary sinus diseases imaging findings considering diffusion-weighted magnetic resonance imaging features were described. Additionally, a literature review considering the use of diffusion-weighted magnetic resonance imaging in inflammatory lesions is provided.

METHODS

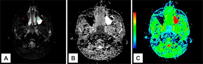
The cases reported were: presence of air-fluid levels, mucosal thickening and a mucous retention cyst. Conventional magnetic resonance imaging and apparent diffusion coefficient (ADC) maps, with ADC values were demonstrated. In the literature review, the studies considering inflammatory lesions were detailed, as well as ADC values established by investigators.

RESULTS

ADC values for presence of air-fluid levels, mucosal thickening and mucous retention cyst were respectively: 1.99 x 10 mm/s; 1.83 x 10 mm/s; 2.05 x 10 mm/s.

CONCLUSIONS

It was observed that apparent diffusion coefficient values from the inflammatory lesions described in this report were different and apparent diffusion coefficient may be useful in the differentiation of these maxillary sinus alterations. Further larger sample investigations considering apparent diffusion coefficient values focusing in inflammatory lesions are recommended. The lack of studies considering the use of diffusion-weighted magnetic resonance imaging on inflammatory diseases diagnostic was the major limitation to the literature review.

摘要

背景

磁共振成像被认为是诊断炎性上颌窦疾病的一种较好的影像学检查方法,能够提供精确的鼻窦特征。扩散加权磁共振成像和表观扩散系数是可用于鉴别鼻窦疾病的互补性磁共振成像工具。在本报告中,描述了3例考虑扩散加权磁共振成像特征的炎性上颌窦疾病的影像学表现。此外,还提供了一篇关于扩散加权磁共振成像在炎性病变中应用的文献综述。

方法

报告的病例包括:气液平面、黏膜增厚和黏液潴留囊肿的存在。展示了常规磁共振成像和表观扩散系数(ADC)图以及ADC值。在文献综述中,详细介绍了有关炎性病变的研究以及研究者确定的ADC值。

结果

气液平面、黏膜增厚和黏液潴留囊肿的ADC值分别为:1.99×10⁻³mm²/s;1.83×10⁻³mm²/s;2.05×10⁻³mm²/s。

结论

观察到本报告中描述的炎性病变的表观扩散系数值有所不同,表观扩散系数可能有助于鉴别这些上颌窦病变。建议进一步开展更大样本的研究,重点关注炎性病变的表观扩散系数值。缺乏关于扩散加权磁共振成像在炎性疾病诊断中应用的研究是文献综述的主要局限性。

https://cdn.ncbi.nlm.nih.gov/pmc/blobs/af9a/6090247/f678005ea752/jomr-09-e4-g001.jpg

文献AI研究员

20分钟写一篇综述,助力文献阅读效率提升50倍。

立即体验

用中文搜PubMed

大模型驱动的PubMed中文搜索引擎

马上搜索

文档翻译

学术文献翻译模型,支持多种主流文档格式。

立即体验