• 文献检索
  • 文档翻译
  • 深度研究
  • 学术资讯
  • Suppr Zotero 插件Zotero 插件
  • 邀请有礼
  • 套餐&价格
  • 历史记录
应用&插件
Suppr Zotero 插件Zotero 插件浏览器插件Mac 客户端Windows 客户端微信小程序
定价
高级版会员购买积分包购买API积分包
服务
文献检索文档翻译深度研究API 文档MCP 服务
关于我们
关于 Suppr公司介绍联系我们用户协议隐私条款
关注我们

Suppr 超能文献

核心技术专利:CN118964589B侵权必究
粤ICP备2023148730 号-1Suppr @ 2026

文献检索

告别复杂PubMed语法,用中文像聊天一样搜索,搜遍4000万医学文献。AI智能推荐,让科研检索更轻松。

立即免费搜索

文件翻译

保留排版,准确专业,支持PDF/Word/PPT等文件格式,支持 12+语言互译。

免费翻译文档

深度研究

AI帮你快速写综述,25分钟生成高质量综述,智能提取关键信息,辅助科研写作。

立即免费体验

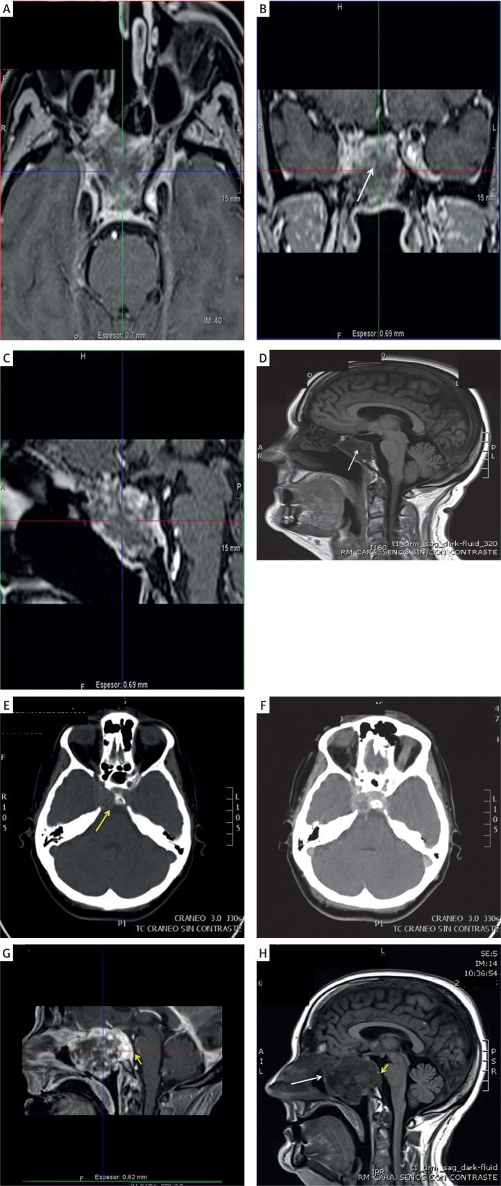
具有侵袭性生长模式的巨大颅鼻上皮样血管内皮瘤,酷似颅底软骨肉瘤。

Giant cranionasal epithelioid haemangioendothelioma with invasive growth pattern mimicking a skull base chondrosarcoma.

作者信息

Batista Kelvin Piña, Gómez Gonzalo Lepe, Quintana Eduardo Murias, Astudillo Aurora, Fernandez-Vega Ivan, Fernandez Belen Alvarez, Cuellar-Martínez Ana, Llorente-Pendás José, Rovira-Pereira Veronica, Alvarez-Reyes Kenia

机构信息

Hospital Universitario Central de Asturias, Spain.

Hospital Clínico Universitario de Valladolid, Spain.

出版信息

Contemp Oncol (Pozn). 2018;22(2):118-123. doi: 10.5114/wo.2018.76235. Epub 2018 Jun 13.

DOI:10.5114/wo.2018.76235
PMID:30150890
原文链接:https://pmc.ncbi.nlm.nih.gov/articles/PMC6103236/
Abstract

Epithelioid haemangioendothelioma (EHE) is a rare low-grade vascular neoplasm that is composed of mostly epithelioid cells. EHE may arise as a solitary tumour or in the form of multiple body lesions, and commonly occurs in soft tissues, liver, pleura, lung, peritoneum, lymph nodes, breast, and many other sites. EHE in the cranionasal region is extremely rare. There are very few reports of cases of skull-base EHE. We discuss an extremely rare presentation of an aggressive EHE that originated from the sellar region. Based on literature review, our patient is the first reported case of a giant solitary EHE with prepontine cistern invasion and abducens nerve encroachment mimicking a chondrosarcoma. We treated this rare tumour by near subtotal surgical excision with subsequent radiotherapy, considering that complete tumour resection with free margins in both cavernous sinus and clival region avoiding neural and vascular structure encroachment becomes technically difficult.

摘要

上皮样血管内皮瘤(EHE)是一种罕见的低级别血管肿瘤,主要由上皮样细胞组成。EHE可表现为孤立性肿瘤或多发性全身病变,常见于软组织、肝脏、胸膜、肺、腹膜、淋巴结、乳腺及许多其他部位。颅鼻区域的EHE极为罕见。关于颅底EHE的病例报道非常少。我们讨论了一例起源于鞍区的侵袭性EHE的极其罕见的病例。基于文献回顾,我们的患者是首例报道的巨大孤立性EHE,侵犯脑桥前池并压迫展神经,酷似软骨肉瘤。考虑到在海绵窦和斜坡区域实现肿瘤完整切除且切缘阴性,同时避免侵犯神经和血管结构在技术上具有难度,我们对这例罕见肿瘤进行了近全手术切除并随后进行放疗。

https://cdn.ncbi.nlm.nih.gov/pmc/blobs/832d/6103236/09c1043d5322/WO-22-76235-g003.jpg
https://cdn.ncbi.nlm.nih.gov/pmc/blobs/832d/6103236/2a6903330c85/WO-22-76235-g001.jpg
https://cdn.ncbi.nlm.nih.gov/pmc/blobs/832d/6103236/8d7a6d24fabc/WO-22-76235-g002.jpg
https://cdn.ncbi.nlm.nih.gov/pmc/blobs/832d/6103236/09c1043d5322/WO-22-76235-g003.jpg
https://cdn.ncbi.nlm.nih.gov/pmc/blobs/832d/6103236/2a6903330c85/WO-22-76235-g001.jpg
https://cdn.ncbi.nlm.nih.gov/pmc/blobs/832d/6103236/8d7a6d24fabc/WO-22-76235-g002.jpg
https://cdn.ncbi.nlm.nih.gov/pmc/blobs/832d/6103236/09c1043d5322/WO-22-76235-g003.jpg

相似文献

1
Giant cranionasal epithelioid haemangioendothelioma with invasive growth pattern mimicking a skull base chondrosarcoma.具有侵袭性生长模式的巨大颅鼻上皮样血管内皮瘤,酷似颅底软骨肉瘤。
Contemp Oncol (Pozn). 2018;22(2):118-123. doi: 10.5114/wo.2018.76235. Epub 2018 Jun 13.
2
Surgical considerations in a paediatric case of a large skull-base epithelioid haemangioendothelioma.小儿巨大颅底上皮样血管内皮瘤病例的手术考量
Childs Nerv Syst. 2019 Mar;35(3):559-563. doi: 10.1007/s00381-018-3988-2. Epub 2018 Oct 19.
3
[Hemangioendotheliomas--evolution of a concept of a heterogeneous group of vascular neoplasms].[血管内皮瘤——一组异质性血管肿瘤概念的演变]
Verh Dtsch Ges Pathol. 1998;82:99-111.
4
Long-Term Observation and Treatment of Epithelioid Haemangioendothelioma of the Mediastinum: A Case Report.纵隔上皮样血管内皮瘤的长期观察与治疗:一例报告
Front Surg. 2021 Oct 5;8:678572. doi: 10.3389/fsurg.2021.678572. eCollection 2021.
5
Primary pleural epithelioid haemangioendothelioma with metastases to the skin. A case report and literature review.原发性胸膜上皮样血管内皮瘤伴皮肤转移:一例报告及文献复习
J Clin Pathol. 2005 Jan;58(1):107-9. doi: 10.1136/jcp.2004.018937.
6
Nasal cavity epithelioid hemangioendothelioma invading the anterior skull base.鼻腔上皮样血管内皮瘤侵犯前颅底。
Surg Neurol Int. 2016 May 6;7:53. doi: 10.4103/2152-7806.181902. eCollection 2016.
7
Recurrent upper limb neuropathies secondary to an epithelioid haemangioendothelioma - A rare mimic of nerve tumours.继发于上皮样血管内皮细胞瘤的复发性上肢神经病——一种罕见的神经肿瘤模拟物。
J Clin Neurosci. 2020 Mar;73:326-328. doi: 10.1016/j.jocn.2019.10.014. Epub 2019 Nov 7.
8
Primary Intranodal Epithelioid Haemangioendothelioma in the Submandibular Region: A Case Report.下颌下区原发性淋巴结内上皮样血管内皮瘤:一例报告
Indian J Otolaryngol Head Neck Surg. 2024 Oct;76(5):3956-3961. doi: 10.1007/s12070-024-04752-2. Epub 2024 Jun 6.
9
Primary epithelioid hemangioendothelioma in the clival region: a case report and literature review.颅底原发性上皮样血管内皮细胞瘤:病例报告及文献复习。
Neuropathology. 2011 Oct;31(5):519-22. doi: 10.1111/j.1440-1789.2010.01180.x. Epub 2010 Dec 22.
10
Mediastinal hemangioendothelioma: Case report and review of the literature.纵隔血管内皮瘤:病例报告及文献复习
Respir Med Case Rep. 2017 Jun 3;22:19-23. doi: 10.1016/j.rmcr.2017.05.005. eCollection 2017.

引用本文的文献

1
Dural composite hemangioendothelioma: The first intracranial case.硬脑膜复合性血管内皮瘤:首例颅内病例。
Surg Neurol Int. 2024 Feb 23;15:55. doi: 10.25259/SNI_3_2024. eCollection 2024.

本文引用的文献

1
Immunophenotypic features of dedifferentiated skull base chordoma: An insight into the intratumoural heterogeneity.去分化颅底脊索瘤的免疫表型特征:对肿瘤内异质性的深入了解
Contemp Oncol (Pozn). 2017;21(4):267-273. doi: 10.5114/wo.2017.72385. Epub 2017 Dec 30.
2
Multiple epithelioid hemangioedothelioma of the skull in a child: A case report.儿童颅骨多发性上皮样血管内皮瘤:一例报告
Medicine (Baltimore). 2016 Jul;95(30):e4081. doi: 10.1097/MD.0000000000004081.
3
Nasal cavity epithelioid hemangioendothelioma invading the anterior skull base.
鼻腔上皮样血管内皮瘤侵犯前颅底。
Surg Neurol Int. 2016 May 6;7:53. doi: 10.4103/2152-7806.181902. eCollection 2016.
4
Nuclear Brachyury Expression Is Consistent in Chordoma, Common in Germ Cell Tumors and Small Cell Carcinomas, and Rare in Other Carcinomas and Sarcomas: An Immunohistochemical Study of 5229 Cases.核Brachyury表达在脊索瘤中一致,在生殖细胞肿瘤和小细胞癌中常见,而在其他癌和肉瘤中罕见:一项对5229例病例的免疫组织化学研究
Am J Surg Pathol. 2015 Oct;39(10):1305-12. doi: 10.1097/PAS.0000000000000462.
5
Epithelioid hemangioendothelioma: an overview and update on a rare vascular tumor.上皮样血管内皮瘤:一种罕见血管肿瘤的概述与更新
Oncol Rev. 2014 Oct 13;8(2):259. doi: 10.4081/oncol.2014.259. eCollection 2014 Sep 23.
6
Imaging case of the month. Multifocal epithelioid hemangioendothelioma with massive lateral skull base involvement.
Otol Neurotol. 2015 Feb;36(2):e67-9. doi: 10.1097/MAO.0000000000000304.
7
Brachyury: a diagnostic marker for the differential diagnosis of chordoma and hemangioblastoma versus neoplastic histological mimickers.Brachyury:一种用于鉴别诊断脊索瘤和血管母细胞瘤与肿瘤性组织学模拟物的诊断标志物。
Dis Markers. 2014;2014:514753. doi: 10.1155/2014/514753. Epub 2014 Jan 21.
8
Clinical and pathological features of intradural retroclival chordoma.椎管内硬膜外脊索瘤的临床和病理学特征。
World Neurosurg. 2014 Nov;82(5):791-8. doi: 10.1016/j.wneu.2012.12.037. Epub 2013 Feb 13.
9
A tragical paediatric case history of intraorbital and intracranial epithelioid hemangioendothelioma.一例眶内及颅内上皮样血管内皮瘤的儿童悲剧性病例史。
Case Rep Neurol Med. 2012;2012:396097. doi: 10.1155/2012/396097. Epub 2012 Oct 24.
10
Epithelioid hemangioendothelioma of nasal cavity.鼻腔上皮样血管内皮瘤
J Lab Physicians. 2010 Jul;2(2):111-3. doi: 10.4103/0974-2727.72214.