• 文献检索
  • 文档翻译
  • 深度研究
  • 学术资讯
  • Suppr Zotero 插件Zotero 插件
  • 邀请有礼
  • 套餐&价格
  • 历史记录
应用&插件
Suppr Zotero 插件Zotero 插件浏览器插件Mac 客户端Windows 客户端微信小程序
定价
高级版会员购买积分包购买API积分包
服务
文献检索文档翻译深度研究API 文档MCP 服务
关于我们
关于 Suppr公司介绍联系我们用户协议隐私条款
关注我们

Suppr 超能文献

核心技术专利:CN118964589B侵权必究
粤ICP备2023148730 号-1Suppr @ 2026

文献检索

告别复杂PubMed语法,用中文像聊天一样搜索,搜遍4000万医学文献。AI智能推荐,让科研检索更轻松。

立即免费搜索

文件翻译

保留排版,准确专业,支持PDF/Word/PPT等文件格式,支持 12+语言互译。

免费翻译文档

深度研究

AI帮你快速写综述,25分钟生成高质量综述,智能提取关键信息,辅助科研写作。

立即免费体验

骶髂关节MRI在青少年脊柱关节炎中的诊断价值

Diagnostic Value of MRI of the Sacroiliac Joints in Juvenile Spondyloarthritis.

作者信息

Herregods Nele, Dehoorne Joke, Jaremko Jacob, Joos Rik, Baraliakos Xenofon, Verstraete Koenraad, Jans Lennart

机构信息

Ghent University Hospital, BE.

University of Alberta Hospital, CA.

出版信息

J Belg Soc Radiol. 2016 Nov 19;100(1):95. doi: 10.5334/jbr-btr.1198.

DOI:10.5334/jbr-btr.1198
PMID:30151489
原文链接:https://pmc.ncbi.nlm.nih.gov/articles/PMC6100675/
Abstract

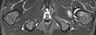
Early diagnosis of spondyloarthritis (SpA) is becoming more important as new medical treatment options have become available to treat inflammation and delay progression of the disease. Increasingly, magnetic resonance imaging (MRI) of the sacroiliac joints is obtained for early detection of inflammatory changes, as it shows active inflammatory and structural lesions of sacroiliitis long before radiographic changes become evident. MRI of the sacroiliac joints in children is a useful tool for suspected juvenile spondyloarthritis (JSpA), even though it is not yet included in the current pediatric classification systems. Recognizing MRI features of pediatric sacroiliitis is a challenge. As most radiologists are not familiar with the normal MRI appearance of the pediatric sacroiliac joint, clear definitions are mandatory. Actually, the adult Assessment of Spondyloarthritis International Society (ASAS) definition for sacroiliitis needs some adaptations for children. A proposal for a possible pediatric-specific definition for active sacroiliitis on MRI is presented in this review. Furthermore, MRI without contrast administration is sufficient to identify bone marrow edema (BME), capsulitis, and retroarticular enthesitis as features of active sacroiliitis in JSpA. In selected cases, when high short tau inversion recovery (STIR) signal in the joint is the only finding, gadolinium-enhanced images may help to confirm the presence of synovitis. Lastly, we found a high correlation between pelvic enthesitis and sacroiliitis on MRI of the sacroiliac joints in children. As pelvic enthesitis indicates active inflammation, it may play a role in assessment of the inflammatory status. Therefore, it should be carefully sought and noted when examining MRI of the sacroiliac joints in children.

摘要

随着可用于治疗炎症和延缓疾病进展的新医疗选择不断出现,脊柱关节炎(SpA)的早期诊断变得愈发重要。越来越多地,骶髂关节的磁共振成像(MRI)被用于早期检测炎症变化,因为它能在放射学改变明显之前很久就显示出骶髂关节炎的活动性炎症和结构性病变。儿童骶髂关节的MRI对于疑似幼年脊柱关节炎(JSpA)是一种有用的工具,尽管它尚未被纳入当前的儿科分类系统。识别儿童骶髂关节炎的MRI特征是一项挑战。由于大多数放射科医生不熟悉儿童骶髂关节的正常MRI表现,明确的定义是必不可少的。实际上,成人脊柱关节炎国际协会(ASAS)对骶髂关节炎的定义需要针对儿童进行一些调整。本综述提出了一个可能的针对儿童的MRI上活动性骶髂关节炎的特定定义建议。此外,不使用造影剂的MRI足以识别骨髓水肿(BME)、关节囊炎和关节后附着点炎,这些是JSpA中活动性骶髂关节炎的特征。在某些选定的病例中,当关节内高短tau反转恢复(STIR)信号是唯一发现时,钆增强图像可能有助于确认滑膜炎的存在。最后,我们发现儿童骶髂关节MRI上盆腔附着点炎与骶髂关节炎之间存在高度相关性。由于盆腔附着点炎表明存在活动性炎症,它可能在评估炎症状态中发挥作用。因此,在检查儿童骶髂关节MRI时应仔细寻找并记录。

https://cdn.ncbi.nlm.nih.gov/pmc/blobs/642c/6100675/6db5456a82a3/jbsr-100-1-1198-g25.jpg
https://cdn.ncbi.nlm.nih.gov/pmc/blobs/642c/6100675/7fc7131fa39f/jbsr-100-1-1198-g1.jpg
https://cdn.ncbi.nlm.nih.gov/pmc/blobs/642c/6100675/fc4468526228/jbsr-100-1-1198-g2.jpg
https://cdn.ncbi.nlm.nih.gov/pmc/blobs/642c/6100675/6b952ad42f3c/jbsr-100-1-1198-g3.jpg
https://cdn.ncbi.nlm.nih.gov/pmc/blobs/642c/6100675/5201b6416f02/jbsr-100-1-1198-g4.jpg
https://cdn.ncbi.nlm.nih.gov/pmc/blobs/642c/6100675/b16ec1faf61b/jbsr-100-1-1198-g5.jpg
https://cdn.ncbi.nlm.nih.gov/pmc/blobs/642c/6100675/3b5ff3fffa5e/jbsr-100-1-1198-g6.jpg
https://cdn.ncbi.nlm.nih.gov/pmc/blobs/642c/6100675/7a2856b8b3da/jbsr-100-1-1198-g7.jpg
https://cdn.ncbi.nlm.nih.gov/pmc/blobs/642c/6100675/1d7f4a7b3715/jbsr-100-1-1198-g8.jpg
https://cdn.ncbi.nlm.nih.gov/pmc/blobs/642c/6100675/478a25cfcc57/jbsr-100-1-1198-g9.jpg
https://cdn.ncbi.nlm.nih.gov/pmc/blobs/642c/6100675/96752ca9f50c/jbsr-100-1-1198-g10.jpg
https://cdn.ncbi.nlm.nih.gov/pmc/blobs/642c/6100675/29bece12fc63/jbsr-100-1-1198-g11.jpg
https://cdn.ncbi.nlm.nih.gov/pmc/blobs/642c/6100675/9ef1c8f9ef98/jbsr-100-1-1198-g12.jpg
https://cdn.ncbi.nlm.nih.gov/pmc/blobs/642c/6100675/fc33974fce92/jbsr-100-1-1198-g13.jpg
https://cdn.ncbi.nlm.nih.gov/pmc/blobs/642c/6100675/fd53adcfdb37/jbsr-100-1-1198-g14.jpg
https://cdn.ncbi.nlm.nih.gov/pmc/blobs/642c/6100675/8ff6f0b0107c/jbsr-100-1-1198-g15.jpg
https://cdn.ncbi.nlm.nih.gov/pmc/blobs/642c/6100675/6d5a0217cbb5/jbsr-100-1-1198-g16.jpg
https://cdn.ncbi.nlm.nih.gov/pmc/blobs/642c/6100675/114b0c454d79/jbsr-100-1-1198-g17.jpg
https://cdn.ncbi.nlm.nih.gov/pmc/blobs/642c/6100675/445fd715c86c/jbsr-100-1-1198-g18.jpg
https://cdn.ncbi.nlm.nih.gov/pmc/blobs/642c/6100675/cf121b55c154/jbsr-100-1-1198-g19.jpg
https://cdn.ncbi.nlm.nih.gov/pmc/blobs/642c/6100675/1b7b48f2e3d6/jbsr-100-1-1198-g20.jpg
https://cdn.ncbi.nlm.nih.gov/pmc/blobs/642c/6100675/6f77b7a5b322/jbsr-100-1-1198-g21.jpg
https://cdn.ncbi.nlm.nih.gov/pmc/blobs/642c/6100675/78004927b4e0/jbsr-100-1-1198-g22.jpg
https://cdn.ncbi.nlm.nih.gov/pmc/blobs/642c/6100675/815df4f1e5a4/jbsr-100-1-1198-g23.jpg
https://cdn.ncbi.nlm.nih.gov/pmc/blobs/642c/6100675/d7a012fd534f/jbsr-100-1-1198-g24.jpg
https://cdn.ncbi.nlm.nih.gov/pmc/blobs/642c/6100675/6db5456a82a3/jbsr-100-1-1198-g25.jpg
https://cdn.ncbi.nlm.nih.gov/pmc/blobs/642c/6100675/7fc7131fa39f/jbsr-100-1-1198-g1.jpg
https://cdn.ncbi.nlm.nih.gov/pmc/blobs/642c/6100675/fc4468526228/jbsr-100-1-1198-g2.jpg
https://cdn.ncbi.nlm.nih.gov/pmc/blobs/642c/6100675/6b952ad42f3c/jbsr-100-1-1198-g3.jpg
https://cdn.ncbi.nlm.nih.gov/pmc/blobs/642c/6100675/5201b6416f02/jbsr-100-1-1198-g4.jpg
https://cdn.ncbi.nlm.nih.gov/pmc/blobs/642c/6100675/b16ec1faf61b/jbsr-100-1-1198-g5.jpg
https://cdn.ncbi.nlm.nih.gov/pmc/blobs/642c/6100675/3b5ff3fffa5e/jbsr-100-1-1198-g6.jpg
https://cdn.ncbi.nlm.nih.gov/pmc/blobs/642c/6100675/7a2856b8b3da/jbsr-100-1-1198-g7.jpg
https://cdn.ncbi.nlm.nih.gov/pmc/blobs/642c/6100675/1d7f4a7b3715/jbsr-100-1-1198-g8.jpg
https://cdn.ncbi.nlm.nih.gov/pmc/blobs/642c/6100675/478a25cfcc57/jbsr-100-1-1198-g9.jpg
https://cdn.ncbi.nlm.nih.gov/pmc/blobs/642c/6100675/96752ca9f50c/jbsr-100-1-1198-g10.jpg
https://cdn.ncbi.nlm.nih.gov/pmc/blobs/642c/6100675/29bece12fc63/jbsr-100-1-1198-g11.jpg
https://cdn.ncbi.nlm.nih.gov/pmc/blobs/642c/6100675/9ef1c8f9ef98/jbsr-100-1-1198-g12.jpg
https://cdn.ncbi.nlm.nih.gov/pmc/blobs/642c/6100675/fc33974fce92/jbsr-100-1-1198-g13.jpg
https://cdn.ncbi.nlm.nih.gov/pmc/blobs/642c/6100675/fd53adcfdb37/jbsr-100-1-1198-g14.jpg
https://cdn.ncbi.nlm.nih.gov/pmc/blobs/642c/6100675/8ff6f0b0107c/jbsr-100-1-1198-g15.jpg
https://cdn.ncbi.nlm.nih.gov/pmc/blobs/642c/6100675/6d5a0217cbb5/jbsr-100-1-1198-g16.jpg
https://cdn.ncbi.nlm.nih.gov/pmc/blobs/642c/6100675/114b0c454d79/jbsr-100-1-1198-g17.jpg
https://cdn.ncbi.nlm.nih.gov/pmc/blobs/642c/6100675/445fd715c86c/jbsr-100-1-1198-g18.jpg
https://cdn.ncbi.nlm.nih.gov/pmc/blobs/642c/6100675/cf121b55c154/jbsr-100-1-1198-g19.jpg
https://cdn.ncbi.nlm.nih.gov/pmc/blobs/642c/6100675/1b7b48f2e3d6/jbsr-100-1-1198-g20.jpg
https://cdn.ncbi.nlm.nih.gov/pmc/blobs/642c/6100675/6f77b7a5b322/jbsr-100-1-1198-g21.jpg
https://cdn.ncbi.nlm.nih.gov/pmc/blobs/642c/6100675/78004927b4e0/jbsr-100-1-1198-g22.jpg
https://cdn.ncbi.nlm.nih.gov/pmc/blobs/642c/6100675/815df4f1e5a4/jbsr-100-1-1198-g23.jpg
https://cdn.ncbi.nlm.nih.gov/pmc/blobs/642c/6100675/d7a012fd534f/jbsr-100-1-1198-g24.jpg
https://cdn.ncbi.nlm.nih.gov/pmc/blobs/642c/6100675/6db5456a82a3/jbsr-100-1-1198-g25.jpg

相似文献

1
Diagnostic Value of MRI of the Sacroiliac Joints in Juvenile Spondyloarthritis.骶髂关节MRI在青少年脊柱关节炎中的诊断价值
J Belg Soc Radiol. 2016 Nov 19;100(1):95. doi: 10.5334/jbr-btr.1198.
2
Limited role of gadolinium to detect active sacroiliitis on MRI in juvenile spondyloarthritis.钆在检测青少年脊柱关节炎患者骶髂关节磁共振成像中的活动性骶髂关节炎方面作用有限。
Skeletal Radiol. 2015 Nov;44(11):1637-46. doi: 10.1007/s00256-015-2211-8. Epub 2015 Jul 24.
3
Magnetic resonance imaging of the sacroiliac joints in the early detection of spondyloarthritis: no added value of gadolinium compared with short tau inversion recovery sequence.磁共振成像在早期强直性脊柱炎骶髂关节中的应用:钆增强与短 tau 反转恢复序列比较无额外价值。
Rheumatology (Oxford). 2013 Jul;52(7):1220-4. doi: 10.1093/rheumatology/ket012. Epub 2013 Feb 16.
4
ASAS definition for sacroiliitis on MRI in SpA: applicable to children?脊柱关节炎中MRI骶髂关节炎的ASAS定义:适用于儿童吗?
Pediatr Rheumatol Online J. 2017 Apr 11;15(1):24. doi: 10.1186/s12969-017-0159-z.
5
Diagnostic value of MRI features of sacroiliitis in juvenile spondyloarthritis.幼年型脊柱关节炎中骶髂关节炎MRI特征的诊断价值
Clin Radiol. 2015 Dec;70(12):1428-38. doi: 10.1016/j.crad.2015.09.003. Epub 2015 Oct 23.
6
Diagnositic value of pelvic enthesitis on MRI of the sacroiliac joints in enthesitis related arthritis.骨盆附着点炎在附着点炎相关关节炎骶髂关节MRI上的诊断价值
Pediatr Rheumatol Online J. 2015 Nov 10;13(1):46. doi: 10.1186/s12969-015-0045-5.
7
Common incidental findings on sacroiliac joint MRI in children clinically suspected of juvenile spondyloarthritis.临床怀疑患有幼年型脊柱关节炎的儿童骶髂关节MRI常见的偶然发现。
Eur J Radiol Open. 2020 Mar 4;7:100225. doi: 10.1016/j.ejro.2020.100225. eCollection 2020.
8
Diagnostic value of pelvic enthesitis on MRI of the sacroiliac joints in spondyloarthritis.骶髂关节 MRI 中骨盆附着点炎对脊柱关节炎的诊断价值。
Eur Radiol. 2014 Apr;24(4):866-71. doi: 10.1007/s00330-013-3074-9. Epub 2013 Nov 22.
9
Postpartum Bone Marrow Edema at the Sacroiliac Joints May Mimic Sacroiliitis of Axial Spondyloarthritis on MRI.产后骶髂关节骨髓水肿可能在 MRI 上模拟轴性脊柱关节炎的骶髂关节炎。
AJR Am J Roentgenol. 2018 Dec;211(6):1306-1312. doi: 10.2214/AJR.17.19404. Epub 2018 Sep 24.
10
Defining active sacroiliitis on magnetic resonance imaging (MRI) for classification of axial spondyloarthritis: a consensual approach by the ASAS/OMERACT MRI group.磁共振成像(MRI)上活动性骶髂关节炎的定义用于轴向型脊柱关节炎的分类:ASAS/OMERACT MRI小组的共识方法。
Ann Rheum Dis. 2009 Oct;68(10):1520-7. doi: 10.1136/ard.2009.110767. Epub 2009 May 18.

引用本文的文献

1
Enthesitis-related arthritis: monitoring and specific tools.附着点相关关节炎:监测和特定工具。
J Pediatr (Rio J). 2022 May-Jun;98(3):223-229. doi: 10.1016/j.jped.2021.08.002. Epub 2021 Sep 28.
2
Usefulness of magnetic resonance enterography in detecting signs of sacroiliitis in young patients with inflammatory bowel disease.磁共振肠道成像在检测炎症性肠病年轻患者中骶髂关节炎征象的作用。
Pediatr Rheumatol Online J. 2020 Jun 3;18(1):42. doi: 10.1186/s12969-020-00433-w.
3
Belgian Radiology Research in Full Power!比利时放射学研究全力推进!

本文引用的文献

1
Defining active sacroiliitis on MRI for classification of axial spondyloarthritis: update by the ASAS MRI working group.MRI 中活动性骶髂关节炎的定义用于强直性脊柱炎的分类:ASAS MRI 工作组的更新。
Ann Rheum Dis. 2016 Nov;75(11):1958-1963. doi: 10.1136/annrheumdis-2015-208642. Epub 2016 Jan 14.
2
Enthesopathies and enthesitis. Part 1. Etiopathogenesis.附着点病与附着点炎。第1部分。病因发病机制。
J Ultrason. 2015 Mar;15(60):72-84. doi: 10.15557/JoU.2015.0006. Epub 2015 Mar 30.
3
Diagnositic value of pelvic enthesitis on MRI of the sacroiliac joints in enthesitis related arthritis.
J Belg Soc Radiol. 2017 Feb 27;101(1):13. doi: 10.5334/jbr-btr.1240.
骨盆附着点炎在附着点炎相关关节炎骶髂关节MRI上的诊断价值
Pediatr Rheumatol Online J. 2015 Nov 10;13(1):46. doi: 10.1186/s12969-015-0045-5.
4
Diagnostic value of MRI features of sacroiliitis in juvenile spondyloarthritis.幼年型脊柱关节炎中骶髂关节炎MRI特征的诊断价值
Clin Radiol. 2015 Dec;70(12):1428-38. doi: 10.1016/j.crad.2015.09.003. Epub 2015 Oct 23.
5
Assessment of Sacroiliitis at Diagnosis of Juvenile Spondyloarthritis by Radiography, Magnetic Resonance Imaging, and Clinical Examination.通过X线摄影、磁共振成像和临床检查对青少年脊柱关节炎诊断时的骶髂关节炎进行评估。
Arthritis Care Res (Hoboken). 2016 Feb;68(2):187-94. doi: 10.1002/acr.22665.
6
Limited role of gadolinium to detect active sacroiliitis on MRI in juvenile spondyloarthritis.钆在检测青少年脊柱关节炎患者骶髂关节磁共振成像中的活动性骶髂关节炎方面作用有限。
Skeletal Radiol. 2015 Nov;44(11):1637-46. doi: 10.1007/s00256-015-2211-8. Epub 2015 Jul 24.
7
How sensitive and specific are MRI features of sacroiliitis for diagnosis of spondyloarthritis in patients with inflammatory back pain?骶髂关节炎的MRI特征对于炎性背痛患者脊柱关节炎诊断的敏感性和特异性如何?
JBR-BTR. 2014 Jul-Aug;97(4):202-5. doi: 10.5334/jbr-btr.94.
8
Magnetic resonance imaging findings in juvenile spondyloarthropathy and effects of treatment observed on subsequent imaging.青少年脊柱关节病的磁共振成像表现及后续成像观察到的治疗效果。
Pediatr Rheumatol Online J. 2014 Jul 11;12:25. doi: 10.1186/1546-0096-12-25. eCollection 2014.
9
Diagnostic utility of magnetic resonance imaging and radiography in juvenile spondyloarthritis: evaluation of the sacroiliac joints in controls and affected subjects.磁共振成像和X线摄影在青少年脊柱关节炎中的诊断效用:对照和患病受试者骶髂关节的评估
J Rheumatol. 2014 May;41(5):963-70. doi: 10.3899/jrheum.131064. Epub 2014 Mar 15.
10
Continuous long-term anti-TNF therapy does not lead to an increase in the rate of new bone formation over 8 years in patients with ankylosing spondylitis.连续长期的抗 TNF 治疗不会导致强直性脊柱炎患者在 8 年内新骨形成率增加。
Ann Rheum Dis. 2014 Apr;73(4):710-5. doi: 10.1136/annrheumdis-2012-202698. Epub 2013 Mar 16.