Suppr超能文献

磨牙症和酸蚀磨损牙齿的美学修复

Aesthetic Rehabilitation in Teeth with Wear from Bruxism and Acid Erosion.

作者信息

Godoy de Oliveira Pamella Tomazi, Somacal Deise Caren, Júnior Luiz Henrique Burnett, Spohr Ana Maria

机构信息

Department of Restorative Dentistry, School of Dentistry, Pontifical Catholic University of Rio Grande do Sul, Porto Alegre, Brazil.

出版信息

Open Dent J. 2018 Jul 31;12:486-493. doi: 10.2174/1874210601812010486. eCollection 2018.

Abstract

BACKGROUND

Bruxism is defined as a repetitive activity of grinding the teeth through lateral or protrusive movements of the mandible, and it is considered the most complex and destructive functional disorder. In addition, erosion caused by diet or reflux can damage the remaining teeth.

OBJECTIVE

In this report, a patient with bruxism and dental erosion was treated with a multidisciplinary approach to restore the function and aesthetic.

METHODS

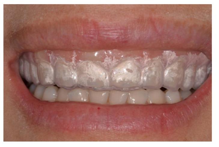
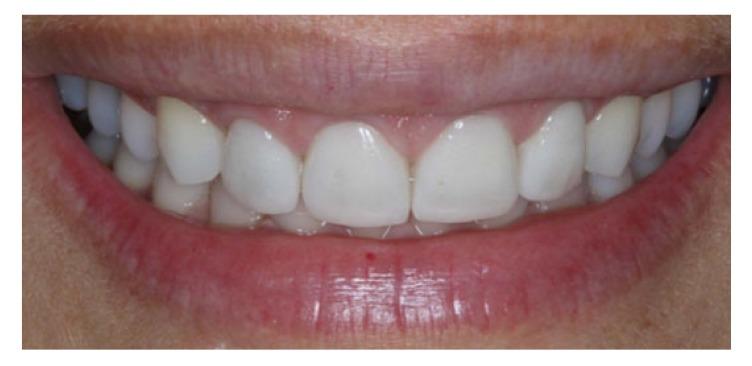
This clinical report describes the management of an adult woman, 33 years old, who was dissatisfied with the aesthetics of her smile and complained of joint pain and headaches. As result of her condition, the patient's dentition exhibited generalized wear on the vestibular and incisal surface of the upper incisors incompatible with her age, moderate darkening of the teeth and excess gingival tissue in the upper incisors. After a detailed anamnesis and clinical examination, a diagnosis of bruxism and acid erosion caused by a diet rich in citrus foods and beverages was obtained. Forthwith, a treatment plan was established, and the patient underwent home bleaching, gingivoplasty and ceramic laminates of lithium disilicate on the anterior teeth. After the rehabilitation was completed, a night guard was made to reduce the symptoms of bruxism and avoid fracture of the ceramic restorations. The patient was followed at different time intervals.

CONCLUSION

The improvement in the aesthetics of the teeth was significant and remained stable after periodic controls in which no adverse effects were observed.

摘要

背景

磨牙症被定义为通过下颌骨的侧向或前伸运动反复磨牙的活动,它被认为是最复杂且具有破坏性的功能紊乱。此外,饮食或反流引起的侵蚀会损害剩余牙齿。

目的

在本报告中,一名患有磨牙症和牙齿侵蚀的患者接受了多学科治疗方法,以恢复其功能和美观。

方法

本临床报告描述了一名33岁成年女性的治疗过程,她对自己笑容的美观不满意,并抱怨有关节疼痛和头痛。由于她的病情,患者的牙列在上颌切牙的前庭面和切缘出现了与她年龄不相符的广泛性磨损、牙齿中度变黑以及上颌切牙牙龈组织过多。经过详细的问诊和临床检查,诊断为磨牙症以及由富含柑橘类食物和饮料的饮食导致的酸蚀症。随即制定了治疗计划,患者接受了家庭漂白、牙龈成形术以及在前牙使用二硅酸锂陶瓷贴面。康复完成后,制作了一个夜磨牙垫以减轻磨牙症症状并避免陶瓷修复体折断。在不同时间间隔对患者进行随访。

结论

牙齿美观度有显著改善,在定期复查中保持稳定,未观察到不良反应。

https://cdn.ncbi.nlm.nih.gov/pmc/blobs/d25d/6080063/3a88952a5878/TODENTJ-12-486_F1.jpg

文献检索

告别复杂PubMed语法,用中文像聊天一样搜索,搜遍4000万医学文献。AI智能推荐,让科研检索更轻松。

立即免费搜索

文件翻译

保留排版,准确专业,支持PDF/Word/PPT等文件格式,支持 12+语言互译。

免费翻译文档

深度研究

AI帮你快速写综述,25分钟生成高质量综述,智能提取关键信息,辅助科研写作。

立即免费体验