Suppr超能文献

岩藻黄质通过调节 Smad 依赖性和 Smad 非依赖性信号通路抑制鼻息肉衍生成纤维细胞中的肌成纤维细胞分化和细胞外基质产生。

Fucoxanthin Inhibits Myofibroblast Differentiation and Extracellular Matrix Production in Nasal Polyp-Derived Fibroblasts via Modulation of Smad-Dependent and Smad-Independent Signaling Pathways.

机构信息

Department of Otorhinolaryngology-Head & Neck Surgery, Inje University College of Medicine, Busan 47392, Korea.

Department of Applied Research, National Marine Biodiversity Institute of Korea, Seocheon 33662, Korea.

出版信息

Mar Drugs. 2018 Sep 10;16(9):323. doi: 10.3390/md16090323.

Abstract

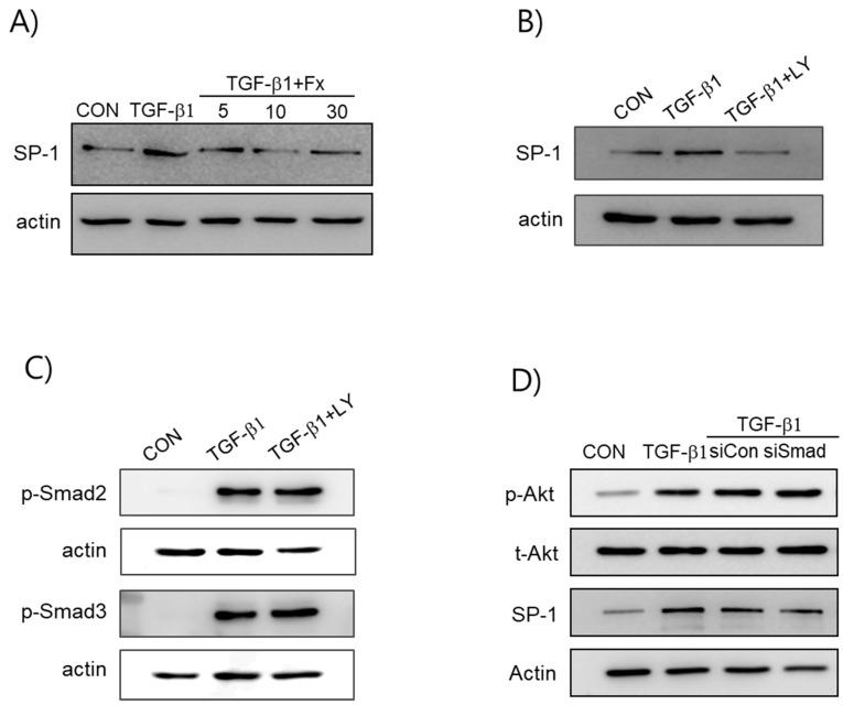
Nasal polyps (NPs) are a multifactorial disorder associated with a chronic inflammatory state of the nasal mucosa. Fucoxanthin (Fx) is a characteristic orange carotenoid obtained from brown algae and has diverse immunological properties. The present study investigated whether Fx inhibits fibrosis-related effects in nasal polyp-derived fibroblasts (NPDFs) and elucidated the molecular signaling pathways involved. The production of collagen type I (Col-1) was investigated in NP tissue via immunohistochemistry and western blot analysis. NPDFs were treated with transforming growth factor (TGF)-β1 (1 ng/mL) in the presence or absence of Fx (5⁻30 µM). The levels of α-smooth muscle actin (α-SMA), Col-1, and phosphorylated (p)-Smad 2/3, signal protein-1 (SP-1), MAPKs (mitogen-activated protein kinases), and Akt were measured by western blot analysis. The expression of Col-1 was detected in NP tissues. TGF-β1 stimulated the production of α-SMA and Col-1, and stimulated the contraction of collagen gel. However, pretreatment with Fx attenuated these effects. Furthermore, these inhibitory effects were mediated through modulation of both Smad 2/3 and Akt/SP-1 signaling pathways in TGF-β1-induced NPDFs. The results from the present study suggest that Fx may be a novel anti-fibrotic agent for the treatment of NP formation.

摘要

鼻息肉(NPs)是一种与鼻黏膜慢性炎症状态相关的多因素疾病。岩藻黄素(Fx)是一种从褐藻中获得的特征性橙色类胡萝卜素,具有多种免疫特性。本研究旨在探讨 Fx 是否抑制鼻息肉衍生成纤维细胞(NPDFs)中的纤维化相关作用,并阐明涉及的分子信号通路。通过免疫组织化学和 Western blot 分析研究 NP 组织中 I 型胶原(Col-1)的产生。用转化生长因子(TGF)-β1(1ng/mL)处理 NPDFs,同时存在或不存在 Fx(5-30μM)。通过 Western blot 分析测量α-平滑肌肌动蛋白(α-SMA)、Col-1 和磷酸化(p)-Smad 2/3、信号蛋白-1(SP-1)、MAPKs(丝裂原活化蛋白激酶)和 Akt 的水平。检测 NP 组织中 Col-1 的表达。TGF-β1 刺激α-SMA 和 Col-1 的产生,并刺激胶原凝胶的收缩。然而,Fx 的预处理减弱了这些作用。此外,这些抑制作用是通过调节 TGF-β1 诱导的 NPDFs 中的 Smad 2/3 和 Akt/SP-1 信号通路来介导的。本研究结果表明,Fx 可能是治疗 NP 形成的一种新型抗纤维化药物。

https://cdn.ncbi.nlm.nih.gov/pmc/blobs/2b02/6165344/29a5f3764a5c/marinedrugs-16-00323-g001.jpg

文献检索

告别复杂PubMed语法,用中文像聊天一样搜索,搜遍4000万医学文献。AI智能推荐,让科研检索更轻松。

立即免费搜索

文件翻译

保留排版,准确专业,支持PDF/Word/PPT等文件格式,支持 12+语言互译。

免费翻译文档

深度研究

AI帮你快速写综述,25分钟生成高质量综述,智能提取关键信息,辅助科研写作。

立即免费体验