• 文献检索
  • 文档翻译
  • 深度研究
  • 学术资讯
  • Suppr Zotero 插件Zotero 插件
  • 邀请有礼
  • 套餐&价格
  • 历史记录
应用&插件
Suppr Zotero 插件Zotero 插件浏览器插件Mac 客户端Windows 客户端微信小程序
定价
高级版会员购买积分包购买API积分包
服务
文献检索文档翻译深度研究API 文档MCP 服务
关于我们
关于 Suppr公司介绍联系我们用户协议隐私条款
关注我们

Suppr 超能文献

核心技术专利:CN118964589B侵权必究
粤ICP备2023148730 号-1Suppr @ 2026

文献检索

告别复杂PubMed语法,用中文像聊天一样搜索,搜遍4000万医学文献。AI智能推荐,让科研检索更轻松。

立即免费搜索

文件翻译

保留排版,准确专业,支持PDF/Word/PPT等文件格式,支持 12+语言互译。

免费翻译文档

深度研究

AI帮你快速写综述,25分钟生成高质量综述,智能提取关键信息,辅助科研写作。

立即免费体验

肌联蛋白信号促进骨骼肌中线粒体生物发生和氧化代谢。

Sarcolipin Signaling Promotes Mitochondrial Biogenesis and Oxidative Metabolism in Skeletal Muscle.

机构信息

Sanford Burnham Prebys Medical Discovery Institute, Orlando, FL 32827, USA.

Perelman School of Medicine at the University of Pennsylvania, Philadelphia, PA, USA.

出版信息

Cell Rep. 2018 Sep 11;24(11):2919-2931. doi: 10.1016/j.celrep.2018.08.036.

DOI:10.1016/j.celrep.2018.08.036
PMID:30208317
原文链接:https://pmc.ncbi.nlm.nih.gov/articles/PMC6481681/
Abstract

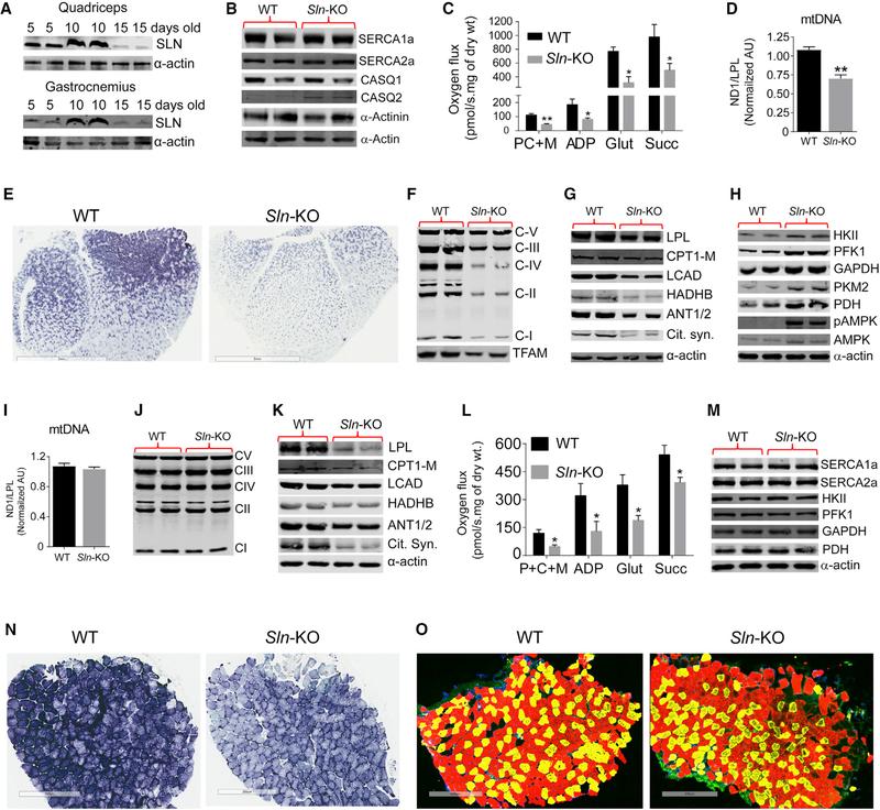
The major objective of this study was to understand the molecular basis of how sarcolipin uncoupling of SERCA regulates muscle oxidative metabolism. Using genetically engineered sarcolipin (SLN) mouse models and primary muscle cells, we demonstrate that SLN plays a crucial role in mitochondrial biogenesis and oxidative metabolism in muscle. Loss of SLN severely compromised muscle oxidative capacity without affecting fiber-type composition. Mice overexpressing SLN in fast-twitch glycolytic muscle reprogrammed mitochondrial phenotype, increasing fat utilization and protecting against high-fat diet-induced lipotoxicity. We show that SLN affects cytosolic Ca transients and activates the Ca/calmodulin-dependent protein kinase II (CamKII) and PGC1α axis to increase mitochondrial biogenesis and oxidative metabolism. These studies provide a fundamental framework for understanding the role of sarcoplasmic reticulum (SR)-Ca cycling as an important factor in mitochondrial health and muscle metabolism. We propose that SLN can be targeted to enhance energy expenditure in muscle and prevent metabolic disease.

摘要

本研究的主要目的是了解肌浆网蛋白解偶联 SERCA 调节肌肉氧化代谢的分子基础。我们利用基因工程肌浆网蛋白(SLN)小鼠模型和原代肌肉细胞,证明 SLN 在肌肉中线粒体生物发生和氧化代谢中起着关键作用。SLN 的缺失严重损害了肌肉的氧化能力,而不影响纤维类型组成。在快速抽搐糖酵解肌肉中过表达 SLN 的小鼠重新编程了线粒体表型,增加了脂肪的利用,并防止了高脂肪饮食诱导的脂毒性。我们表明,SLN 影响细胞质 Ca 瞬变,并激活 Ca/钙调蛋白依赖性蛋白激酶 II(CamKII)和 PGC1α 轴,以增加线粒体生物发生和氧化代谢。这些研究为理解肌浆网(SR)-Ca 循环作为线粒体健康和肌肉代谢的重要因素的作用提供了一个基本框架。我们提出,SLN 可以作为靶点,以增加肌肉的能量消耗并预防代谢疾病。

https://cdn.ncbi.nlm.nih.gov/pmc/blobs/227c/6481681/f0c0c1e74600/nihms-1507855-f0005.jpg
https://cdn.ncbi.nlm.nih.gov/pmc/blobs/227c/6481681/9814e8332a54/nihms-1507855-f0002.jpg
https://cdn.ncbi.nlm.nih.gov/pmc/blobs/227c/6481681/25b77e6116be/nihms-1507855-f0003.jpg
https://cdn.ncbi.nlm.nih.gov/pmc/blobs/227c/6481681/8045417f6adc/nihms-1507855-f0004.jpg
https://cdn.ncbi.nlm.nih.gov/pmc/blobs/227c/6481681/f0c0c1e74600/nihms-1507855-f0005.jpg
https://cdn.ncbi.nlm.nih.gov/pmc/blobs/227c/6481681/9814e8332a54/nihms-1507855-f0002.jpg
https://cdn.ncbi.nlm.nih.gov/pmc/blobs/227c/6481681/25b77e6116be/nihms-1507855-f0003.jpg
https://cdn.ncbi.nlm.nih.gov/pmc/blobs/227c/6481681/8045417f6adc/nihms-1507855-f0004.jpg
https://cdn.ncbi.nlm.nih.gov/pmc/blobs/227c/6481681/f0c0c1e74600/nihms-1507855-f0005.jpg

相似文献

1
Sarcolipin Signaling Promotes Mitochondrial Biogenesis and Oxidative Metabolism in Skeletal Muscle.肌联蛋白信号促进骨骼肌中线粒体生物发生和氧化代谢。
Cell Rep. 2018 Sep 11;24(11):2919-2931. doi: 10.1016/j.celrep.2018.08.036.
2
Sarcolipin Is a Key Determinant of the Basal Metabolic Rate, and Its Overexpression Enhances Energy Expenditure and Resistance against Diet-induced Obesity.肌浆球蛋白是基础代谢率的关键决定因素,其过表达可增强能量消耗并抵抗饮食诱导的肥胖。
J Biol Chem. 2015 Apr 24;290(17):10840-9. doi: 10.1074/jbc.M115.636878. Epub 2015 Feb 24.
3
Chronic melatonin treatment improves obesity by inducing uncoupling of skeletal muscle SERCA-SLN mediated by CaMKII/AMPK/PGC1α pathway and mitochondrial biogenesis in female and male Zücker diabetic fatty rats.慢性褪黑素治疗通过诱导 CaMKII/AMPK/PGC1α 通路和线粒体生物发生介导的骨骼肌 SERCA-SLN 解偶联,改善雌性和雄性 Zücker 糖尿病肥胖大鼠的肥胖。
Biomed Pharmacother. 2024 Mar;172:116314. doi: 10.1016/j.biopha.2024.116314. Epub 2024 Feb 22.
4
Sarcolipin expression is not required for the mitochondrial enzymatic response to physical activity or diet.肌质膜蛋白的表达对于线粒体对体育活动或饮食的酶促反应并非必需。
J Appl Physiol (1985). 2017 May 1;122(5):1276-1283. doi: 10.1152/japplphysiol.00833.2016. Epub 2017 Feb 9.
5
Sarcolipin is a newly identified regulator of muscle-based thermogenesis in mammals.肌浆素是一种新发现的哺乳动物肌肉产热调节蛋白。
Nat Med. 2012 Oct;18(10):1575-9. doi: 10.1038/nm.2897. Epub 2012 Sep 9.
6
The effects of sarcolipin over-expression in mouse skeletal muscle on metabolic activity.肌脂蛋白在小鼠骨骼肌中过表达对代谢活性的影响。
Arch Biochem Biophys. 2015 Mar 1;569:26-31. doi: 10.1016/j.abb.2015.01.027. Epub 2015 Feb 7.
7
Sarcolipin: A Key Thermogenic and Metabolic Regulator in Skeletal Muscle.肌脂蛋白:骨骼肌中关键的产热和代谢调节因子。
Trends Endocrinol Metab. 2016 Dec;27(12):881-892. doi: 10.1016/j.tem.2016.08.006. Epub 2016 Sep 13.
8
Knockdown of sarcolipin (SLN) impairs substrate utilization in human skeletal muscle cells.肌浆球蛋白重链(SLN)的敲低会损害人类骨骼肌细胞对底物的利用。
Mol Biol Rep. 2022 Jul;49(7):6005-6017. doi: 10.1007/s11033-022-07387-0. Epub 2022 Apr 2.
9
Effects of sarcolipin deletion on skeletal muscle adaptive responses to functional overload and unload.肌浆球蛋白轻链调节蛋白缺失对骨骼肌功能超负荷和失负荷适应性反应的影响。
Am J Physiol Cell Physiol. 2017 Aug 1;313(2):C154-C161. doi: 10.1152/ajpcell.00291.2016. Epub 2017 Jun 7.
10
Phospholamban and sarcolipin: Are they functionally redundant or distinct regulators of the Sarco(Endo)Plasmic Reticulum Calcium ATPase?受磷蛋白和肌浆网脂质蛋白:它们是肌浆(内质)网钙ATP酶功能上的冗余调节因子还是不同的调节因子?
J Mol Cell Cardiol. 2016 Feb;91:81-91. doi: 10.1016/j.yjmcc.2015.12.030. Epub 2015 Dec 29.

引用本文的文献

1
Comparison Between the Effect of Mid-Late-Life High-Intensity Interval Training and Continuous Moderate-Intensity Training in Old Mouse Hearts.中年晚期高强度间歇训练与持续中等强度训练对老年小鼠心脏影响的比较
J Gerontol A Biol Sci Med Sci. 2025 Apr 7;80(5). doi: 10.1093/gerona/glaf025.
2
Cellular Feimin enhances exercise performance by suppressing muscle thermogenesis.细胞内的费敏通过抑制肌肉产热来提高运动表现。
Nat Metab. 2025 Jan;7(1):84-101. doi: 10.1038/s42255-024-01176-8. Epub 2025 Jan 2.
3
Extracellular vesicle-mediated delivery of miR-766-3p from bone marrow stromal cells as a therapeutic strategy against colorectal cancer.

本文引用的文献

1
Muscle Non-shivering Thermogenesis and Its Role in the Evolution of Endothermy.肌肉非颤抖性产热及其在恒温动物进化中的作用。
Front Physiol. 2017 Nov 9;8:889. doi: 10.3389/fphys.2017.00889. eCollection 2017.
2
Three-dimensional imaging reveals endo(sarco)plasmic reticulum-containing invaginations within the nucleoplasm of muscle.三维成像揭示了肌细胞核质内含有内质(肌浆)网的内陷。
Am J Physiol Cell Physiol. 2018 Mar 1;314(3):C257-C267. doi: 10.1152/ajpcell.00141.2017. Epub 2017 Nov 22.
3
Skeletal muscle overexpression of nicotinamide phosphoribosyl transferase in mice coupled with voluntary exercise augments exercise endurance.
骨髓基质细胞通过细胞外囊泡介导递送miR-766-3p作为一种抗结直肠癌的治疗策略。
Cancer Cell Int. 2024 Oct 1;24(1):330. doi: 10.1186/s12935-024-03493-0.
4
Cigarette smoke exposure impairs early-stage recovery from lengthening contraction-induced muscle injury in male mice.香烟烟雾暴露会损害雄性小鼠在延长收缩引起的肌肉损伤后的早期恢复。
Physiol Rep. 2024 Sep;12(18):e70064. doi: 10.14814/phy2.70064.
5
Therapeutic potential of tLyp-1-EV-shCTCF in inhibiting liver cancer stem cell self-renewal and immune escape via SALL3 modulation in hepatocellular carcinoma.tLyp-1-EV-shCTCF通过调控SALL3抑制肝癌干细胞自我更新和免疫逃逸在肝细胞癌中的治疗潜力
Transl Oncol. 2024 Nov;49:102048. doi: 10.1016/j.tranon.2024.102048. Epub 2024 Aug 25.
6
Modulating the RPS27A/PSMD12/NF-κB pathway to control immune response in mouse brain ischemia-reperfusion injury.调控 RPS27A/PSMD12/NF-κB 通路控制脑缺血再灌注损伤小鼠的免疫反应。
Mol Med. 2024 Jul 22;30(1):106. doi: 10.1186/s10020-024-00870-3.
7
Fatty infiltration in the musculoskeletal system: pathological mechanisms and clinical implications.肌肉骨骼系统中的脂肪浸润:病理机制与临床意义。
Front Endocrinol (Lausanne). 2024 Jun 28;15:1406046. doi: 10.3389/fendo.2024.1406046. eCollection 2024.
8
The TAS1R2 G-protein-coupled receptor is an ambient glucose sensor in skeletal muscle that regulates NAD homeostasis and mitochondrial capacity.TAS1R2 G 蛋白偶联受体是骨骼肌中的环境葡萄糖传感器,可调节 NAD 动态平衡和线粒体容量。
Nat Commun. 2024 Jun 8;15(1):4915. doi: 10.1038/s41467-024-49100-8.
9
Improved mitochondrial function in the hearts of sarcolipin-deficient dystrophin and utrophin double-knockout mice.肌浆球蛋白缺乏型肌营养不良症和抗肌萎缩蛋白双重敲除小鼠心脏中线粒体功能的改善。
JCI Insight. 2024 Apr 2;9(9):e170185. doi: 10.1172/jci.insight.170185.
10
The Effects of Aging on Sarcoplasmic Reticulum-Related Factors in the Skeletal Muscle of Mice.衰老对小鼠骨骼肌肌浆网相关因子的影响。
Int J Mol Sci. 2024 Feb 10;25(4):2148. doi: 10.3390/ijms25042148.
在小鼠中过表达烟酰胺磷酸核糖基转移酶会增强骨骼肌的耐力,再加上自愿运动。
Mol Metab. 2018 Jan;7:1-11. doi: 10.1016/j.molmet.2017.10.012. Epub 2017 Nov 6.
4
Cold acclimation causes fiber type-specific responses in glucose and fat metabolism in rat skeletal muscles.冷适应会在大鼠骨骼肌的葡萄糖和脂肪代谢中引发纤维类型特异性反应。
Sci Rep. 2017 Nov 13;7(1):15430. doi: 10.1038/s41598-017-15842-3.
5
Pharmacological targeting of exercise adaptations in skeletal muscle: Benefits and pitfalls.骨骼肌运动适应性的药理学靶向作用:益处与陷阱
Biochem Pharmacol. 2018 Jan;147:211-220. doi: 10.1016/j.bcp.2017.10.006. Epub 2017 Oct 20.
6
Targeting thermogenesis in brown fat and muscle to treat obesity and metabolic disease.靶向棕色脂肪和肌肉的产热作用以治疗肥胖和代谢疾病。
Nat Rev Endocrinol. 2018 Feb;14(2):77-87. doi: 10.1038/nrendo.2017.132. Epub 2017 Oct 23.
7
Salsalate Activates Skeletal Muscle Thermogenesis and Protects Mice from High-Fat Diet Induced Metabolic Dysfunction.柳氮磺胺吡啶激活骨骼肌产热并保护小鼠免受高脂饮食诱导的代谢功能障碍。
EBioMedicine. 2017 Sep;23:136-145. doi: 10.1016/j.ebiom.2017.08.004. Epub 2017 Aug 4.
8
The Limits of Exercise Physiology: From Performance to Health.运动生理学的局限:从表现到健康。
Cell Metab. 2017 May 2;25(5):1000-1011. doi: 10.1016/j.cmet.2017.04.018.
9
Transcription Factor EB Controls Metabolic Flexibility during Exercise.转录因子EB在运动过程中控制代谢灵活性。
Cell Metab. 2017 Jan 10;25(1):182-196. doi: 10.1016/j.cmet.2016.11.003. Epub 2016 Dec 20.
10
Exercise Inducible Lactate Dehydrogenase B Regulates Mitochondrial Function in Skeletal Muscle.运动诱导型乳酸脱氢酶B调节骨骼肌中的线粒体功能。
J Biol Chem. 2016 Dec 2;291(49):25306-25318. doi: 10.1074/jbc.M116.749424. Epub 2016 Oct 13.