• 文献检索
  • 文档翻译
  • 深度研究
  • 学术资讯
  • Suppr Zotero 插件Zotero 插件
  • 邀请有礼
  • 套餐&价格
  • 历史记录
应用&插件
Suppr Zotero 插件Zotero 插件浏览器插件Mac 客户端Windows 客户端微信小程序
定价
高级版会员购买积分包购买API积分包
服务
文献检索文档翻译深度研究API 文档MCP 服务
关于我们
关于 Suppr公司介绍联系我们用户协议隐私条款
关注我们

Suppr 超能文献

核心技术专利:CN118964589B侵权必究
粤ICP备2023148730 号-1Suppr @ 2026

文献检索

告别复杂PubMed语法,用中文像聊天一样搜索,搜遍4000万医学文献。AI智能推荐,让科研检索更轻松。

立即免费搜索

文件翻译

保留排版,准确专业,支持PDF/Word/PPT等文件格式,支持 12+语言互译。

免费翻译文档

深度研究

AI帮你快速写综述,25分钟生成高质量综述,智能提取关键信息,辅助科研写作。

立即免费体验

蛋白质羰基化检测方法:比较

Protein carbonylation detection methods: A comparison.

作者信息

Alomari Esra'a, Bruno Stefano, Ronda Luca, Paredi Gianluca, Bettati Stefano, Mozzarelli Andrea

机构信息

Department of Food and Drug, University of Parma, Parma, Italy.

Biopharmanet-TEC, University of Parma, Parma, Italy.

出版信息

Data Brief. 2018 Jul 3;19:2215-2220. doi: 10.1016/j.dib.2018.06.088. eCollection 2018 Aug.

DOI:10.1016/j.dib.2018.06.088
PMID:30229098
原文链接:https://pmc.ncbi.nlm.nih.gov/articles/PMC6141388/
Abstract

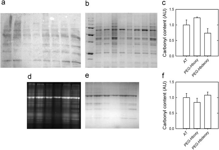
The data reported here are a comparison among four different methods for the detection of carbonylated proteins, a validated biomarker of oxidative stress. The reference samples were heart and kidney extracts of Guinea pigs transfused with hemoglobin-based oxygen carriers (Alomari et al. FRBM, [11]). We measured the carbonyl content of organ extracts by using i) the Levine spectrophotometric method, which takes advantage of the chromogenic reaction of carbonyl groups with 2,4-dinitrophenylhydrazine (DNPH), ii) a commercially available ELISA assay based on an anti-DNPH antibodies, iii) a commercially available Western blot method based on anti-DNPH antibodies and iv) an in-gel detection approach with the fluorophoric reagent fluorescein-5-thiosemicarbazide. The former two methods measure total protein carbonylation of a sample, whereas the latter two require an electrophoretic separation and therefore potentially allow for the identification of specific carbonylated proteins.

摘要

本文报道的数据是对四种不同的羰基化蛋白质检测方法的比较,羰基化蛋白质是一种经过验证的氧化应激生物标志物。参考样品是输注基于血红蛋白的氧载体的豚鼠的心脏和肾脏提取物(Alomari等人,《自由基生物学与医学》,[11])。我们使用以下方法测量器官提取物中的羰基含量:i)莱文分光光度法,该方法利用羰基与2,4-二硝基苯肼(DNPH)的显色反应;ii)基于抗DNPH抗体的市售ELISA检测法;iii)基于抗DNPH抗体的市售蛋白质印迹法;iv)使用荧光试剂5-硫代半卡巴腙荧光素的凝胶内检测方法。前两种方法测量样品中的总蛋白质羰基化,而后两种方法需要进行电泳分离,因此有可能识别特定的羰基化蛋白质。

https://cdn.ncbi.nlm.nih.gov/pmc/blobs/9b93/6141388/87d323eeb8a5/gr4.jpg
https://cdn.ncbi.nlm.nih.gov/pmc/blobs/9b93/6141388/c85246c1c49c/gr1.jpg
https://cdn.ncbi.nlm.nih.gov/pmc/blobs/9b93/6141388/25fea6338d5d/gr2.jpg
https://cdn.ncbi.nlm.nih.gov/pmc/blobs/9b93/6141388/81106ae386a4/gr3.jpg
https://cdn.ncbi.nlm.nih.gov/pmc/blobs/9b93/6141388/87d323eeb8a5/gr4.jpg
https://cdn.ncbi.nlm.nih.gov/pmc/blobs/9b93/6141388/c85246c1c49c/gr1.jpg
https://cdn.ncbi.nlm.nih.gov/pmc/blobs/9b93/6141388/25fea6338d5d/gr2.jpg
https://cdn.ncbi.nlm.nih.gov/pmc/blobs/9b93/6141388/81106ae386a4/gr3.jpg
https://cdn.ncbi.nlm.nih.gov/pmc/blobs/9b93/6141388/87d323eeb8a5/gr4.jpg

相似文献

1
Protein carbonylation detection methods: A comparison.蛋白质羰基化检测方法:比较
Data Brief. 2018 Jul 3;19:2215-2220. doi: 10.1016/j.dib.2018.06.088. eCollection 2018 Aug.
2
A step-by-step protocol for assaying protein carbonylation in biological samples.生物样品中蛋白质羰基化检测的逐步方案。
J Chromatogr B Analyt Technol Biomed Life Sci. 2016 Apr 15;1019:178-90. doi: 10.1016/j.jchromb.2015.11.052. Epub 2015 Dec 2.
3
Oxime blot: A novel method for reliable and sensitive detection of carbonylated proteins in diverse biological systems.肟印迹法:一种可靠且灵敏的检测多种生物体系中羰基化蛋白质的新方法。
Redox Biol. 2023 Jul;63:102743. doi: 10.1016/j.redox.2023.102743. Epub 2023 May 12.
4
Proteomic approaches to identifying carbonylated proteins in brain tissue.蛋白质组学方法鉴定脑组织中的羰基化蛋白。
J Proteome Res. 2011 Apr 1;10(4):1719-27. doi: 10.1021/pr101014e. Epub 2011 Feb 24.
5
Protein carbonylation: avoiding pitfalls in the 2,4-dinitrophenylhydrazine assay.蛋白质羰基化:避免2,4-二硝基苯肼测定法中的陷阱
Redox Rep. 2009;14(4):159-66. doi: 10.1179/135100009X392601.
6
A Simplified Method to Assay Protein Carbonylation by Spectrophotometry.一种通过分光光度法测定蛋白质羰基化的简化方法。
Methods Mol Biol. 2022;2526:135-141. doi: 10.1007/978-1-0716-2469-2_10.
7
A fluorimetric semi-microplate format assay of protein carbonyls in blood plasma.一种基于荧光半微量板格式的血浆蛋白羰基检测方法。
Anal Biochem. 2010 May 15;400(2):289-94. doi: 10.1016/j.ab.2010.01.032. Epub 2010 Feb 1.
8
Proteome-wide profiling of carbonylated proteins and carbonylation sites in HeLa cells under mild oxidative stress conditions.在温和氧化应激条件下 HeLa 细胞中羰基化蛋白质和羰基化位点的蛋白质组全面分析。
Free Radic Biol Med. 2014 Mar;68:186-95. doi: 10.1016/j.freeradbiomed.2013.11.030. Epub 2013 Dec 7.
9
Protein and cell wall polysaccharide carbonyl determination by a neutral pH 2,4-dinitrophenylhydrazine-based photometric assay.基于中性 pH 2,4-二硝基苯肼比色法测定蛋白质和细胞壁多糖羰基。
Redox Biol. 2018 Jul;17:128-142. doi: 10.1016/j.redox.2018.04.010. Epub 2018 Apr 10.
10
Protein carbonylation during natural leaf senescence in winter wheat, as probed by fluorescein-5-thiosemicarbazide.用5-硫代氨基脲荧光素检测冬小麦自然叶片衰老过程中的蛋白质羰基化。
Plant Biol (Stuttg). 2015 Sep;17(5):973-9. doi: 10.1111/plb.12315. Epub 2015 Mar 13.

引用本文的文献

1
Prenatal Bisphenol A Exposure Impairs Fetal Heart Development: Molecular and Structural Alterations with Sex-Specific Differences.产前双酚A暴露损害胎儿心脏发育:具有性别特异性差异的分子和结构改变
Antioxidants (Basel). 2025 Jul 14;14(7):863. doi: 10.3390/antiox14070863.
2
Explainable Deep Multilevel Attention Learning for Predicting Protein Carbonylation Sites.用于预测蛋白质羰基化位点的可解释深度多级注意力学习
Adv Sci (Weinh). 2025 Jun;12(23):e2500581. doi: 10.1002/advs.202500581. Epub 2025 Mar 27.
3
The Evolution of In Vitro Toxicity Assessment Methods for Oral Cavity Tissues-From 2D Cell Cultures to Organ-on-a-Chip.

本文引用的文献

1
High- and low-affinity PEGylated hemoglobin-based oxygen carriers: Differential oxidative stress in a Guinea pig transfusion model.高亲和力和低亲和力聚乙二醇化血红蛋白类氧载体:豚鼠输血模型中的差异氧化应激。
Free Radic Biol Med. 2018 Aug 20;124:299-310. doi: 10.1016/j.freeradbiomed.2018.06.018. Epub 2018 Jun 18.
2
Determination of protein carbonyls in plasma, cell extracts, tissue homogenates, isolated proteins: Focus on sample preparation and derivatization conditions.血浆、细胞提取物、组织匀浆、分离蛋白中蛋白质羰基的测定:聚焦于样品制备和衍生化条件
Redox Biol. 2015 Aug;5:367-380. doi: 10.1016/j.redox.2015.06.005. Epub 2015 Jun 18.
3
口腔组织体外毒性评估方法的演变——从二维细胞培养到芯片器官
Toxics. 2025 Mar 8;13(3):195. doi: 10.3390/toxics13030195.
4
Early Handling Exerts Anxiolytic Effects and Alters Brain Mitochondrial Dynamics in Adult High Anxiety Mice.早期处理可产生抗焦虑作用,并改变成年高焦虑小鼠的大脑线粒体动力学。
Mol Neurobiol. 2024 Dec;61(12):10593-10612. doi: 10.1007/s12035-024-04116-5. Epub 2024 May 18.
5
Protein Carbonylation as a Biomarker of Oxidative Stress and a Therapeutic Target in Neonatal Brain Damage.蛋白质羰基化作为氧化应激的生物标志物及新生儿脑损伤的治疗靶点
Antioxidants (Basel). 2023 Oct 10;12(10):1839. doi: 10.3390/antiox12101839.
6
Targeting protein modifications in metabolic diseases: molecular mechanisms and targeted therapies.靶向代谢疾病中的蛋白质修饰:分子机制与靶向治疗。
Signal Transduct Target Ther. 2023 May 27;8(1):220. doi: 10.1038/s41392-023-01439-y.
7
The Role of Potential Oxidative Biomarkers in the Prognosis of Acute Ischemic Stroke and the Exploration of Antioxidants as Possible Preventive and Treatment Options.潜在氧化生物标志物在急性缺血性脑卒中预后中的作用及抗氧化剂作为可能的预防和治疗选择的探索。
Int J Mol Sci. 2023 Mar 28;24(7):6389. doi: 10.3390/ijms24076389.
8
Current Probes for Imaging Carbonylation in Cellular Systems and Their Relevance to Progression of Diseases.细胞体系中羰基化成像的当前探针及其与疾病进展的相关性。
Technol Cancer Res Treat. 2022 Jan-Dec;21:15330338221137303. doi: 10.1177/15330338221137303.
9
Positive Aspects of Oxidative Stress at Different Levels of the Human Body: A Review.人体不同层面氧化应激的积极方面:综述
Antioxidants (Basel). 2022 Mar 17;11(3):572. doi: 10.3390/antiox11030572.
10
Protein carbonylation in food and nutrition: a concise update.食品与营养中的蛋白质羰基化:简要更新。
Amino Acids. 2022 Apr;54(4):559-573. doi: 10.1007/s00726-021-03085-6. Epub 2021 Oct 20.
Electrophoretic analysis of PEGylated hemoglobin-based blood substitutes.
聚乙二醇化血红蛋白类血代用品的电泳分析。
Anal Biochem. 2011 Jan 1;408(1):118-23. doi: 10.1016/j.ab.2010.08.043. Epub 2010 Sep 19.
4
Polymerized and polyethylene glycol-conjugated hemoglobins: a globin-based calibration curve for dynamic light scattering analysis.聚合血红蛋白和聚乙二醇化血红蛋白:用于动态光散射分析的球蛋白校准曲线。
Anal Biochem. 2010 Jun 15;401(2):266-70. doi: 10.1016/j.ab.2010.02.025. Epub 2010 Feb 23.
5
PEGylation promotes hemoglobin tetramer dissociation.聚乙二醇化促进血红蛋白四聚体解离。
Bioconjug Chem. 2009 Jul;20(7):1356-66. doi: 10.1021/bc900130f.
6
Ligand reactivity and allosteric regulation of hemoglobin-based oxygen carriers.
Biochim Biophys Acta. 2008 Oct;1784(10):1365-77. doi: 10.1016/j.bbapap.2008.04.021. Epub 2008 May 4.
7
Oxygen binding to heme proteins in solution, encapsulated in silica gels, and in the crystalline state.氧气在溶液中、包裹于硅胶中以及处于晶体状态时与血红素蛋白的结合。
Methods Enzymol. 2008;437:311-28. doi: 10.1016/S0076-6879(07)37016-X.
8
Towards a novel haemoglobin-based oxygen carrier: Euro-PEG-Hb, physico-chemical properties, vasoactivity and renal filtration.迈向一种新型基于血红蛋白的氧载体:欧洲聚乙二醇化血红蛋白、理化性质、血管活性和肾滤过
Biochim Biophys Acta. 2008 Oct;1784(10):1402-9. doi: 10.1016/j.bbapap.2008.03.005. Epub 2008 Mar 20.
9
Detection of protein carbonyls in aging liver tissue: A fluorescence-based proteomic approach.衰老肝脏组织中蛋白质羰基的检测:一种基于荧光的蛋白质组学方法。
Mech Ageing Dev. 2006 Nov;127(11):849-61. doi: 10.1016/j.mad.2006.08.006. Epub 2006 Sep 26.
10
Quantitation of oxidative damage to tissue proteins.组织蛋白质氧化损伤的定量分析。
Int J Biochem Cell Biol. 1999 Jul;31(7):751-7. doi: 10.1016/s1357-2725(99)00034-5.