• 文献检索
  • 文档翻译
  • 深度研究
  • 学术资讯
  • Suppr Zotero 插件Zotero 插件
  • 邀请有礼
  • 套餐&价格
  • 历史记录
应用&插件
Suppr Zotero 插件Zotero 插件浏览器插件Mac 客户端Windows 客户端微信小程序
定价
高级版会员购买积分包购买API积分包
服务
文献检索文档翻译深度研究API 文档MCP 服务
关于我们
关于 Suppr公司介绍联系我们用户协议隐私条款
关注我们

Suppr 超能文献

核心技术专利:CN118964589B侵权必究
粤ICP备2023148730 号-1Suppr @ 2026

文献检索

告别复杂PubMed语法,用中文像聊天一样搜索,搜遍4000万医学文献。AI智能推荐,让科研检索更轻松。

立即免费搜索

文件翻译

保留排版,准确专业,支持PDF/Word/PPT等文件格式,支持 12+语言互译。

免费翻译文档

深度研究

AI帮你快速写综述,25分钟生成高质量综述,智能提取关键信息,辅助科研写作。

立即免费体验

家族性软脑膜淀粉样变性的颅内和全身表现,CT和MRI所见

Intracranial and systemic manifestations of familial leptomeningeal amyloidosis, as seen on CT and MRI.

作者信息

Beckius Saralyn, Shah Kamran

机构信息

Wayne State University School of Medicine, 540 E Canfield St., Detroit, MI 48201, USA.

Department of Radiology, Wayne State University School of Medicine, 540 E Canfield St., Detroit, MI 48201, USA.

出版信息

Radiol Case Rep. 2018 Sep 13;13(6):1179-1184. doi: 10.1016/j.radcr.2018.07.030. eCollection 2018 Dec.

DOI:10.1016/j.radcr.2018.07.030
PMID:30233755
原文链接:https://pmc.ncbi.nlm.nih.gov/articles/PMC6140409/
Abstract

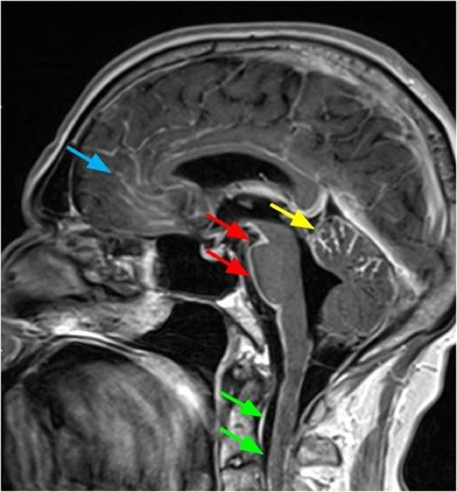
Leptomeningeal amyloidosis is a subset of familial transthyretin amyloidosis, a family of diseases occurring in conjunction with multiple known mutations of the transthyretin gene. Though this is primarily a disease of the central nervous system, amyloid deposition is multisystemic. We describe a case of a 61-year-old man with known central nervous system amyloidosis presenting to the emergency room with stroke-like symptoms, including left hemineglect, right gaze paresis, and left hemiplegia, atop baseline dementia. A noncontrast CT head demonstrated ventriculomegaly and no acute hemorrhage. Urinalysis indicated an underlying urinary tract infection, ultimately believed to have prompted a breakthrough seizure. Electroencephalogram revealed diffuse encephalopathy. Contrast-enhanced MRI demonstrated hallmarks of intracranial amyloid with no new infarct. Previously taken noncontrast CT neck and thorax demonstrated evidence of systemic disease.

摘要

软脑膜淀粉样变性是家族性转甲状腺素蛋白淀粉样变性的一个亚型,这是一类与转甲状腺素蛋白基因的多种已知突变相关的疾病。虽然这主要是一种中枢神经系统疾病,但淀粉样蛋白沉积是多系统的。我们描述了一例61岁男性病例,该患者已知患有中枢神经系统淀粉样变性,因出现类似中风的症状而前往急诊室,这些症状包括左侧偏侧忽视、右眼凝视麻痹和左侧偏瘫,同时伴有基线痴呆。头颅非增强CT显示脑室扩大且无急性出血。尿液分析表明存在潜在的尿路感染,最终认为是该感染引发了一次突破性癫痫发作。脑电图显示弥漫性脑病。增强MRI显示颅内淀粉样变性的特征且无新梗死灶。之前进行的颈部和胸部非增强CT显示了全身性疾病的证据。

https://cdn.ncbi.nlm.nih.gov/pmc/blobs/fc26/6140409/8d11236365b7/gr7.jpg
https://cdn.ncbi.nlm.nih.gov/pmc/blobs/fc26/6140409/015f414bfe23/gr1.jpg
https://cdn.ncbi.nlm.nih.gov/pmc/blobs/fc26/6140409/7dc39e1665c7/gr2.jpg
https://cdn.ncbi.nlm.nih.gov/pmc/blobs/fc26/6140409/e86a9136a1ca/gr3.jpg
https://cdn.ncbi.nlm.nih.gov/pmc/blobs/fc26/6140409/8d1b4524bc5e/gr4.jpg
https://cdn.ncbi.nlm.nih.gov/pmc/blobs/fc26/6140409/0a18913eb4d6/gr5.jpg
https://cdn.ncbi.nlm.nih.gov/pmc/blobs/fc26/6140409/c8a6fe9e6c31/gr6.jpg
https://cdn.ncbi.nlm.nih.gov/pmc/blobs/fc26/6140409/8d11236365b7/gr7.jpg
https://cdn.ncbi.nlm.nih.gov/pmc/blobs/fc26/6140409/015f414bfe23/gr1.jpg
https://cdn.ncbi.nlm.nih.gov/pmc/blobs/fc26/6140409/7dc39e1665c7/gr2.jpg
https://cdn.ncbi.nlm.nih.gov/pmc/blobs/fc26/6140409/e86a9136a1ca/gr3.jpg
https://cdn.ncbi.nlm.nih.gov/pmc/blobs/fc26/6140409/8d1b4524bc5e/gr4.jpg
https://cdn.ncbi.nlm.nih.gov/pmc/blobs/fc26/6140409/0a18913eb4d6/gr5.jpg
https://cdn.ncbi.nlm.nih.gov/pmc/blobs/fc26/6140409/c8a6fe9e6c31/gr6.jpg
https://cdn.ncbi.nlm.nih.gov/pmc/blobs/fc26/6140409/8d11236365b7/gr7.jpg

相似文献

1
Intracranial and systemic manifestations of familial leptomeningeal amyloidosis, as seen on CT and MRI.家族性软脑膜淀粉样变性的颅内和全身表现,CT和MRI所见
Radiol Case Rep. 2018 Sep 13;13(6):1179-1184. doi: 10.1016/j.radcr.2018.07.030. eCollection 2018 Dec.
2
Familial leptomeningeal amyloidosis with a transthyretin variant Asp18Gly representing repeated subarachnoid haemorrhages with superficial siderosis.伴有转甲状腺素蛋白变体Asp18Gly的家族性软脑膜淀粉样变性,表现为反复蛛网膜下腔出血伴表面铁沉积症。
J Neurol Neurosurg Psychiatry. 2004 Oct;75(10):1463-6. doi: 10.1136/jnnp.2003.029942.
3
A new Thr49Pro transthyretin gene mutation associated with leptomeningeal amyloidosis.一种与柔脑膜淀粉样变性相关的新型甲状腺素转运蛋白第49位苏氨酸突变为脯氨酸的基因突变。
J Neurol Sci. 2008 Sep 15;272(1-2):186-90. doi: 10.1016/j.jns.2008.05.014. Epub 2008 Jun 24.
4
[Cerebral amyloid angiopathy with familial transthyretin-derived oculoleptomeningeal amyloidosis].伴有家族性转甲状腺素蛋白源性眼脑脊髓膜淀粉样变性的脑淀粉样血管病
Brain Nerve. 2013 Jul;65(7):831-42.
5
Oculoleptomeningeal Amyloidosis Secondary to the Rare Transthyretin c.381T>G (p.Ile127Met) Mutation.继发于罕见的转甲状腺素蛋白c.381T>G(p.Ile127Met)突变的眼软脑膜淀粉样变性
World Neurosurg. 2018 Mar;111:190-193. doi: 10.1016/j.wneu.2017.12.096. Epub 2017 Dec 23.
6
Hereditary cardiac amyloidosis associated with Pro24Ser transthyretin mutation: a case report.与Pro24Ser转甲状腺素蛋白突变相关的遗传性心脏淀粉样变性:一例报告
J Med Case Rep. 2018 Dec 16;12(1):370. doi: 10.1186/s13256-018-1931-5.
7
TTR associated leptomeningeal amyloidosis in a Sri Lankan patient.斯里兰卡患者伴 TTR 相关硬脑膜血管淀粉样变性。
J Neurol Sci. 2024 Nov 15;466:123273. doi: 10.1016/j.jns.2024.123273. Epub 2024 Oct 15.
8
Massive leptomeningeal amyloidosis associated with a Val30Met transthyretin gene.与转甲状腺素蛋白基因Val30Met相关的大量软脑膜淀粉样变性
Neurology. 1996 Oct;47(4):988-92. doi: 10.1212/wnl.47.4.988.
9
Oculoleptomeningeal amyloidosis in a patient with a TTR Val30Gly mutation in the transthyretin gene.一名转甲状腺素蛋白基因存在TTR Val30Gly突变的患者发生眼软脑膜淀粉样变性。
Ophthalmology. 2007 Nov;114(11):e33-7. doi: 10.1016/j.ophtha.2007.07.007.
10
Neuroradiologic and clinicopathologic features of oculoleptomeningeal type amyloidosis.眼软脑膜型淀粉样变性的神经放射学和临床病理特征
Neurology. 2005 Oct 11;65(7):1051-6. doi: 10.1212/01.wnl.0000178983.20975.af.

引用本文的文献

1
Cognitive manifestations and brain integrity in hereditary transthyretin amyloidosis: a systematic review.遗传性转甲状腺素蛋白淀粉样变性的认知表现与脑完整性:一项系统综述
J Neurol. 2025 May 25;272(6):419. doi: 10.1007/s00415-025-13120-1.
2
Hereditary leptomeningeal transthyretin amyloidosis with heterozygous TTR mutation: a case report and literature review.伴有杂合性甲状腺素转运蛋白(TTR)突变的遗传性软脑膜转甲状腺素蛋白淀粉样变性:一例报告及文献综述
Orphanet J Rare Dis. 2025 May 5;20(1):213. doi: 10.1186/s13023-025-03736-x.
3
Hereditary transthyretin amyloidosis overview.

本文引用的文献

1
The lung in amyloidosis.淀粉样变性中的肺脏。
Eur Respir Rev. 2017 Sep 6;26(145). doi: 10.1183/16000617.0046-2017. Print 2017 Sep 30.
2
Tracheobronchial Amyloidosis Mimicking Tracheal Tumor.酷似气管肿瘤的气管支气管淀粉样变性
Case Rep Med. 2016;2016:1084063. doi: 10.1155/2016/1084063. Epub 2016 Aug 9.
3
[Normal pressure hydrocephalus: A review and practical aspects].[正常压力脑积水:综述与实践要点]
遗传性转甲状腺素蛋白淀粉样变性概述。
Neurol Sci. 2022 Dec;43(Suppl 2):595-604. doi: 10.1007/s10072-020-04889-2. Epub 2020 Nov 14.
Rev Med Interne. 2015 Dec;36(12):825-33. doi: 10.1016/j.revmed.2015.08.001. Epub 2015 Oct 1.
4
Amyloidosis: Modern Cross-sectional Imaging.淀粉样变性:现代横断面成像
Radiographics. 2015 Sep-Oct;35(5):1381-92. doi: 10.1148/rg.2015140179. Epub 2015 Jul 31.
5
Oculoleptomeningeal Amyloidosis associated with transthyretin Leu12Pro in an African patient.一名非洲患者中与转甲状腺素蛋白Leu12Pro相关的眼软脑膜淀粉样变性
J Neurol. 2015 Jan;262(1):228-34. doi: 10.1007/s00415-014-7594-2. Epub 2014 Dec 9.
6
Amyloid neuropathy mimicking chronic inflammatory demyelinating polyneuropathy.淀粉样变性神经病,类似于慢性炎症性脱髓鞘性多发性神经病。
Muscle Nerve. 2012 Jan;45(1):26-31. doi: 10.1002/mus.22229.
7
Patterns of contrast enhancement in the brain and meninges.脑和脑膜的对比增强模式。
Radiographics. 2007 Mar-Apr;27(2):525-51. doi: 10.1148/rg.272065155.
8
Familial oculoleptomeningeal amyloidosis associated with primary angiitis of the CNS.与中枢神经系统原发性血管炎相关的家族性眼脑脊髓膜淀粉样变性
Neurology. 2007 Jan 2;68(1):77-8. doi: 10.1212/01.wnl.0000250343.34110.79.
9
Neuroradiologic and clinicopathologic features of oculoleptomeningeal type amyloidosis.眼软脑膜型淀粉样变性的神经放射学和临床病理特征
Neurology. 2005 Oct 11;65(7):1051-6. doi: 10.1212/01.wnl.0000178983.20975.af.
10
Clinical picture and outcome of transthyretin-related familial amyloid polyneuropathy (FAP) in Japanese patients.日本患者中与转甲状腺素蛋白相关的家族性淀粉样多神经病(FAP)的临床表现及预后
Clin Chem Lab Med. 2002 Dec;40(12):1257-61. doi: 10.1515/CCLM.2002.217.