Nuclear Medicine Department, S. Andrea Hospital, 19124, La Spezia, Italy.
Memory Laboratory CNS-ONLUS, 19124, La Spezia, Italy.
Eur J Nucl Med Mol Imaging. 2019 Feb;46(2):288-296. doi: 10.1007/s00259-018-4149-2. Epub 2018 Sep 22.
The extent of amyloid burden associated with cognitive impairment in amnestic mild cognitive impairment is unknown. The primary aim of the study was to determine the extent to which amyloid burden is associated to the cognitive impairment. The secondary objective was to test the relationship between amyloid accumulation and memory or cognitive impairment.
In this prospective study 66 participants with amnestic mild cognitive impairment underwent clinical, neuropsychological and PET amyloid imaging tests. Composite scores assessing memory and non-memory domains were used to identify two clinical classes of neuropsychological phenotypes expressing different degree of cognitive impairment. Detection of amyloid status and definition of optimal amyloid ± cutoff for discrimination relied on unsupervised k-means clustering method.
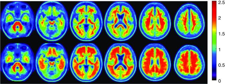
Threshold for identifying low and high amyloid retention groups was of SUVr = 1.3. Aß + participants showed poorer global cognitive and episodic memory performance than subjects with low amyloid deposition. Aß positivity significantly identified individuals with episodic memory impairment with a sensitivity and specificity of 80 and 79%, (χ2 = 21.48; P < 0.00001). Positive and negative predictive values were 82 and 76%, respectively. Amyloid deposition increased linearly as function of memory impairment with a rate of 0.13/ point of composite memory score (R = -44, P = 0.0003).
The amyloid burden of SUVr = 1.3 allows early identification of subjects with episodic memory impairment which might predict progression from MCI to Alzheimer's disease.
EudraCT 2015-001184-39.
与遗忘型轻度认知障碍认知障碍相关的淀粉样蛋白负担程度尚不清楚。本研究的主要目的是确定淀粉样蛋白负担与认知障碍的关联程度。次要目的是测试淀粉样蛋白积累与记忆或认知障碍之间的关系。
在这项前瞻性研究中,66 名遗忘型轻度认知障碍患者接受了临床、神经心理学和 PET 淀粉样蛋白成像测试。用于识别两种具有不同认知障碍程度的神经心理学表型的临床类别,使用综合评分来评估记忆和非记忆领域。通过无监督 k-均值聚类方法检测淀粉样蛋白状态和定义最佳淀粉样蛋白 ± 截止值以进行区分。
识别低和高淀粉样蛋白保留组的阈值为 SUVr = 1.3。Aβ+参与者的整体认知和情景记忆表现比低淀粉样蛋白沉积者差。Aβ阳性显著识别出情景记忆障碍患者,其敏感性和特异性分别为 80%和 79%(χ2 = 21.48;P < 0.00001)。阳性和阴性预测值分别为 82%和 76%。淀粉样蛋白沉积随记忆障碍呈线性增加,复合记忆评分每增加 0.13 分(R = -44,P = 0.0003)。
SUVr = 1.3 的淀粉样蛋白负担允许早期识别出情景记忆障碍患者,这可能预示着从 MCI 向阿尔茨海默病的进展。
EudraCT 2015-001184-39。