Department of Neurology, University of São Paulo, São Paulo, Brazil.
Institute of Radiology, LIM-44, Hospital das Clinicas, Faculdade de Medicina, Universidade de Sao Paulo, São Paulo, Brazil.
J Alzheimers Dis. 2022;89(1):181-192. doi: 10.3233/JAD-220100.
Previous studies of hippocampal function and volume related to episodic memory deficits in patients with amnestic mild cognitive impairment (aMCI) have produced mixed results including increased or decreased activity and volume. However, most of them have not included biomarkers, such as amyloid-β (Aβ) deposition which is the hallmark for early identification of the Alzheimer's disease continuum.
We investigated the role of Aβ deposition, functional hippocampal activity and structural volume in aMCI patients and healthy elderly controls (HC) using a new functional MRI (fMRI) ecological episodic memory task.
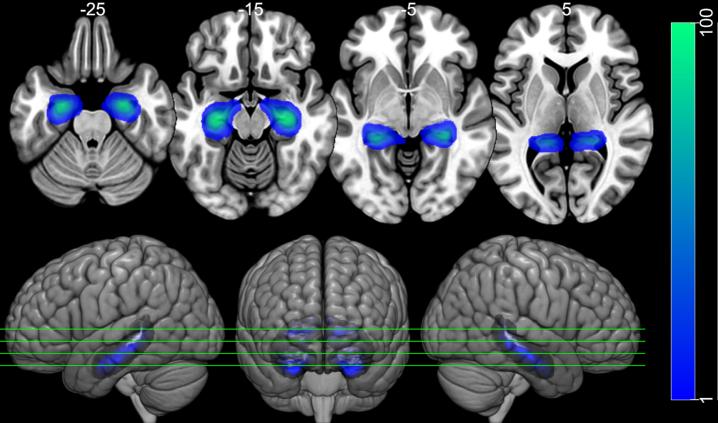
Forty-six older adults were included, among them Aβ PET PIB positive (PIB+) aMCI (N = 17), Aβ PET PIB negative (PIB-) aMCI (N = 15), and HC (N = 14). Hippocampal volume and function were analyzed using Freesurfer v6.0 and FSL for news headlines episodic memory fMRI task, and logistic regression for group classification in conjunction with episodic memory task and traditional neuropsychological tests.
The aMCI PIB+ and PIB-patients showed significantly worse performance in relation to HC in most traditional neuropsychological tests and within group difference only on story recall and the ecological episodic memory fMRI task delayed recall. The classification model reached a significant accuracy (78%) and the classification pattern characterizing the PIB+ included decreased left hippocampal function and volume, increased right hippocampal function and volume, and worse episodic memory performance differing from PIB-which showed increased left hippocampus volume.
The main findings showed differential neural correlates, hippocampal volume and function during episodic memory in aMCI patients with the presence of Aβ deposition.
先前研究发现,遗忘型轻度认知障碍(aMCI)患者的海马功能和体积与情景记忆缺陷有关,研究结果喜忧参半,包括活动和体积增加或减少。然而,大多数研究都没有纳入生物标志物,如淀粉样蛋白-β(Aβ)沉积,这是阿尔茨海默病连续体早期识别的标志。
我们使用新的功能磁共振成像(fMRI)生态情景记忆任务,研究 Aβ 沉积、海马功能和结构体积在 aMCI 患者和健康老年人对照(HC)中的作用。
共纳入 46 名老年人,其中 Aβ PET PIB 阳性(PIB+)aMCI(n=17)、Aβ PET PIB 阴性(PIB-)aMCI(n=15)和 HC(n=14)。使用 Freesurfer v6.0 和 FSL 分析海马体积和功能,使用逻辑回归进行组分类,并结合情景记忆任务和传统神经心理学测试。
aMCI PIB+和 PIB-患者在大多数传统神经心理学测试中表现明显差于 HC,且在组内差异仅在故事回忆和生态情景记忆 fMRI 任务延迟回忆中出现。分类模型达到了显著的准确性(78%),并显示出 PIB+的分类模式包括左侧海马功能和体积下降、右侧海马功能和体积增加以及情景记忆表现更差,与 PIB-不同,后者表现为左侧海马体积增加。
主要发现表明,在存在 Aβ 沉积的情况下,aMCI 患者的情景记忆存在不同的神经相关性、海马体积和功能。