Suppr超能文献

在定量结构组分析和冷冻透射电子显微镜检查中,基原异名比……更能表达与……形态学表型更为相似的特征。(原文表述不太完整准确,翻译可能会存在一定局限性)

, Basonym , Expresses Morphological Phenotypes Much More Similar to Than in Quantitative Structome Analysis and CryoTEM Examination.

作者信息

Yamada Hiroyuki, Yamaguchi Masashi, Igarashi Yuriko, Chikamatsu Kinuyo, Aono Akio, Murase Yoshiro, Morishige Yuta, Takaki Akiko, Chibana Hiroji, Mitarai Satoshi

机构信息

Department of Mycobacterium Reference and Research, The Research Institute of Tuberculosis, Japan Anti-Tuberculosis Association, Kiyose, Japan.

Medical Mycology Research Center, Chiba University, Chiba, Japan.

出版信息

Front Microbiol. 2018 Sep 11;9:1992. doi: 10.3389/fmicb.2018.01992. eCollection 2018.

Abstract

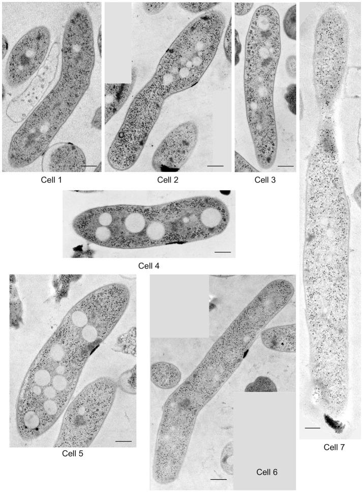
A series of structome analyses, that is, quantitative and three-dimensional structural analysis of a whole cell at the electron microscopic level, have already been achieved individually in , Myojin spiral bacteria, and . In these analyses, sample cells were processed through cryo-fixation and rapid freeze-substitution, resulting in the exquisite preservation of ultrastructures on the serial ultrathin sections examined by transmission electron microscopy. In this paper, structome analysis of non pathogenic , basonym , was performed. As has often been used in molecular biological experiments and experimental tuberculosis as a substitute of highly pathogenic , it has been a task to compare two species in the same genus, , by structome analysis. Seven cells cut into serial ultrathin sections, and, totally, 220 serial ultrathin sections were examined by transmission electron microscopy. Cell profiles were measured, including cell length, diameter of cell and cytoplasm, surface area of outer membrane and plasma membrane, volume of whole cell, periplasm, and cytoplasm, and total ribosome number and density per 0.1 fl cytoplasm. These data are based on direct measurement and enumeration of exquisitely preserved single cell structures in the transmission electron microscopy images, and are not based on the calculation or assumptions from biochemical or molecular biological indirect data. All measurements in , except cell length, are significantly higher than those of . In addition, these data may explain the more rapid growth of than and contribute to the understanding of their structural properties, which are substantially different from , relating to the expression of antigenicity, acid-fastness, and the mechanism of drug resistance in relation to the ratio of the targets to the corresponding drugs. In addition, data obtained from cryo-transmission electron microscopy examination were used to support the validity of structome analysis. Finally, our data strongly support the most recent establishment of the novel genus , into which basonym has been classified.

摘要

已经分别在明神螺旋菌等中完成了一系列结构组分析,即电子显微镜水平下对整个细胞的定量和三维结构分析。在这些分析中,样本细胞通过冷冻固定和快速冷冻置换进行处理,从而在透射电子显微镜检查的连续超薄切片上实现了超微结构的精美保存。在本文中,对非致病性的[菌种名称](原名称)进行了结构组分析。由于[菌种名称]经常在分子生物学实验和实验性结核病中被用作高致病性[另一种菌种名称]的替代品,因此通过结构组分析比较同一属中的这两个菌种一直是一项任务。将7个[菌种名称]细胞切成连续超薄切片,总共220个连续超薄切片通过透射电子显微镜进行检查。测量了细胞轮廓,包括细胞长度、细胞和细胞质直径、外膜和质膜表面积、全细胞、周质和细胞质体积,以及每0.1飞升细胞质中的核糖体总数和密度。这些数据基于对透射电子显微镜图像中精美保存的单细胞结构的直接测量和计数,而不是基于生化或分子生物学间接数据的计算或假设。除细胞长度外,[菌种名称]中的所有测量值均显著高于[另一种菌种名称]。此外,这些数据可能解释了[菌种名称]比[另一种菌种名称]生长更快的原因,并有助于理解它们与[另一种菌种名称]在抗原性表达、抗酸性以及与靶点与相应药物比例相关的耐药机制方面存在显著差异的结构特性。此外,从冷冻透射电子显微镜检查获得的数据用于支持结构组分析的有效性。最后,我们的数据有力地支持了最近建立的新属[新属名称],原名称[菌种名称]已被归入该属。

https://cdn.ncbi.nlm.nih.gov/pmc/blobs/ee3c/6145149/7a37ad326c8a/fmicb-09-01992-g0001.jpg

文献AI研究员

20分钟写一篇综述,助力文献阅读效率提升50倍。

立即体验

用中文搜PubMed

大模型驱动的PubMed中文搜索引擎

马上搜索

文档翻译

学术文献翻译模型,支持多种主流文档格式。

立即体验