Suppr超能文献

实验性关节积血会产生与细胞内马耳他十字相关的轻度炎症。

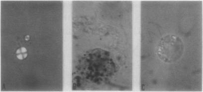
Experimental haemarthrosis produces mild inflammation associated with intracellular Maltese crosses.

作者信息

Choi S J, Schumacher H R, Clayburne G

出版信息

Ann Rheum Dis. 1986 Dec;45(12):1025-8. doi: 10.1136/ard.45.12.1025.

Abstract

Injection of autologous blood into rabbit joints induces an inflammatory reaction with Maltese cross-like birefringent spherulites. Similar microspherules seen in human joint fluids may be formed by lipids derived from breakdown of erythrocytes and other cells.

摘要

向兔关节内注射自体血液会引发炎症反应,并出现马耳他十字样双折射球晶。在人类关节液中看到的类似微球可能是由红细胞和其他细胞分解产生的脂质形成的。

https://cdn.ncbi.nlm.nih.gov/pmc/blobs/6f75/1002044/aaf7b1948c9e/annrheumd00279-0058-a.jpg

文献AI研究员

20分钟写一篇综述,助力文献阅读效率提升50倍。

立即体验

用中文搜PubMed

大模型驱动的PubMed中文搜索引擎

马上搜索

文档翻译

学术文献翻译模型,支持多种主流文档格式。

立即体验