Suppr超能文献

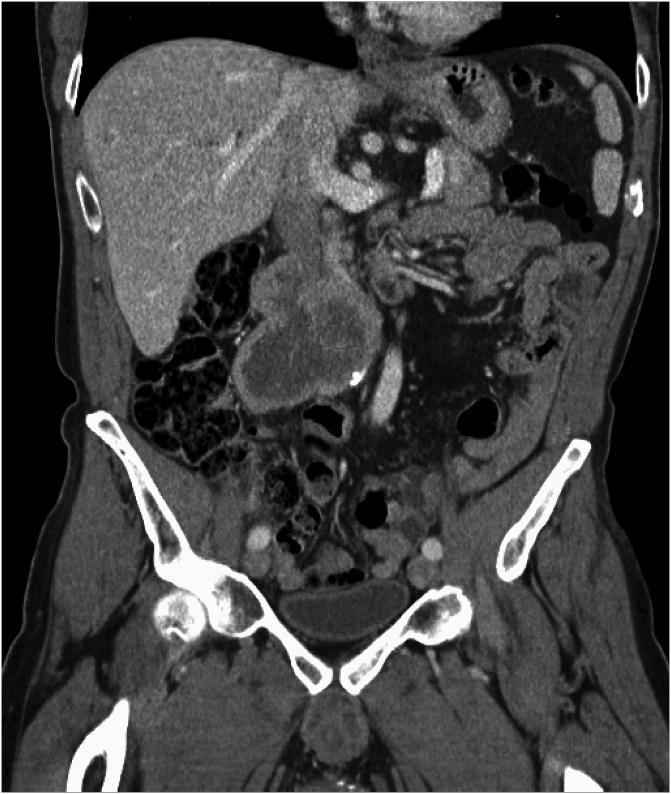
Primary angiosarcoma of the testis with retroperitoneal metastasis.

作者信息

Piotrowski Joshua T, Schaefer Meghan B, Charlson John A, Iczkowski Kenneth A, Johnson Scott C

机构信息

Department of Urology, Medical College of Wisconsin, Milwaukee, WI, USA.

Department of Hematology and Oncology, Medical College of Wisconsin, Milwaukee, WI, USA.

出版信息

Urol Case Rep. 2018 Sep 19;21:116-118. doi: 10.1016/j.eucr.2018.09.014. eCollection 2018 Nov.

Abstract
摘要
https://cdn.ncbi.nlm.nih.gov/pmc/blobs/713f/6168964/294a1d6bdb71/gr1.jpg

文献检索

告别复杂PubMed语法,用中文像聊天一样搜索,搜遍4000万医学文献。AI智能推荐,让科研检索更轻松。

立即免费搜索

文件翻译

保留排版,准确专业,支持PDF/Word/PPT等文件格式,支持 12+语言互译。

免费翻译文档

深度研究

AI帮你快速写综述,25分钟生成高质量综述,智能提取关键信息,辅助科研写作。

立即免费体验