Suppr超能文献

皮下注射合成丁香酚对山羊羔进行化学去芽:组织病理学和形态计量学

Chemical disbudding of goat kids with subcutaneous administration of synthetic eugenol: Histopathology and morphometry.

作者信息

Farajli Abbasi Mohammad, Molaei Mohammad Mahdi, Kheirandish Reza, Mostafavi Ali

机构信息

Department of Clinical Sciences, Faculty of Veterinary Medicine, Shahid Bahonar University of Kerman, Kerman, Iran.

Department of Pathobiology, Faculty of Veterinary Medicine, Shahid Bahonar University of Kerman, Kerman, Iran.

出版信息

Vet Res Forum. 2018 Summer;9(3):225-230. doi: 10.30466/vrf.2018.32084. Epub 2018 Sep 15.

Abstract

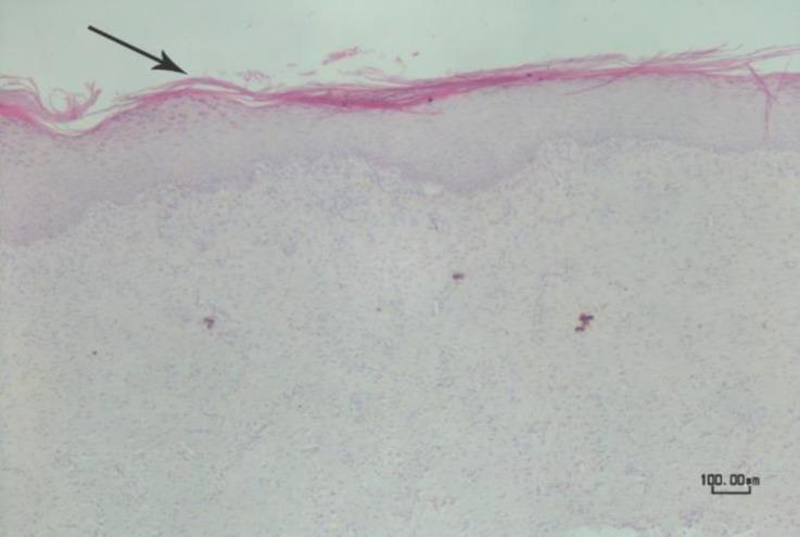
This study was conducted to evaluate the effect of subcutaneous administration of synthetic eugenol (EG) for disbudding of goat kids, as a new chemical method. Thirty apparently healthy Raieni (Cashmere) goat kids (five-day-old) were divided randomly into six groups (n = 5). In the pathology (P) groups (P, P and P according to the sample collection day after injection) an amount of 0.10 mL of EG was subcutaneously administrated in both horn buds. In the disbudding 1 and 2 (DB, DB) groups, 0.10 mL of EG, and in the control (C) group 0.10 mL normal saline was subcutaneously injected in the right horn buds, respectively. Eugenol injection in DB group was done in twelve-day-old goat kids. The left horn buds of DB, DB and C groups were considered as control of horn outgrowing. The horn buds, kidneys, liver, lung, brain and heart, tissue specimens were collected from P and P groups, and bud skin samples were collected from P group. The results showed that the EG was able to stop the horn growth in the first week of goat life. There was no significant difference between left and right horn size in the C group. Histopathological study revealed complete necrosis of bud tissue in dermal and epidermal layers, in P animals. Healing and re-epithelialization were seen in the samples taken from P group. Subcutaneous injection of the synthetic EG can be considered as a new method for goat kids disbudding.

摘要

本研究旨在评估皮下注射合成丁香酚(EG)作为一种新的化学方法用于摘除山羊羔角芽的效果。30只外观健康的拉伊尼(开士米)山羊羔(5日龄)被随机分为6组(每组n = 5)。在病理(P)组(根据注射后样本采集日分为P、P和P组),在两个角芽处皮下注射0.10 mL的EG。在去角1组和去角2组(DB1、DB2),分别在右角芽处皮下注射0.10 mL的EG,而在对照组(C组),在右角芽处皮下注射0.10 mL生理盐水。DB组在12日龄的山羊羔中进行丁香酚注射。DB1组、DB2组和C组的左角芽被视为角生长的对照。从P组和P组采集角芽、肾脏、肝脏、肺、脑和心脏的组织标本,从P组采集芽皮肤样本。结果表明,EG能够在山羊生命的第一周阻止角的生长。C组左右角大小之间无显著差异。组织病理学研究显示,P组动物的芽组织在真皮和表皮层出现完全坏死。从P组采集的样本可见愈合和重新上皮化。皮下注射合成EG可被视为一种摘除山羊羔角芽的新方法。

https://cdn.ncbi.nlm.nih.gov/pmc/blobs/0587/6198155/b49de4ca2914/vrf-9-225-g001.jpg

文献AI研究员

20分钟写一篇综述,助力文献阅读效率提升50倍。

立即体验

用中文搜PubMed

大模型驱动的PubMed中文搜索引擎

马上搜索

文档翻译

学术文献翻译模型,支持多种主流文档格式。

立即体验