• 文献检索
  • 文档翻译
  • 深度研究
  • 学术资讯
  • Suppr Zotero 插件Zotero 插件
  • 邀请有礼
  • 套餐&价格
  • 历史记录
应用&插件
Suppr Zotero 插件Zotero 插件浏览器插件Mac 客户端Windows 客户端微信小程序
定价
高级版会员购买积分包购买API积分包
服务
文献检索文档翻译深度研究API 文档MCP 服务
关于我们
关于 Suppr公司介绍联系我们用户协议隐私条款
关注我们

Suppr 超能文献

核心技术专利:CN118964589B侵权必究
粤ICP备2023148730 号-1Suppr @ 2026

文献检索

告别复杂PubMed语法,用中文像聊天一样搜索,搜遍4000万医学文献。AI智能推荐,让科研检索更轻松。

立即免费搜索

文件翻译

保留排版,准确专业,支持PDF/Word/PPT等文件格式,支持 12+语言互译。

免费翻译文档

深度研究

AI帮你快速写综述,25分钟生成高质量综述,智能提取关键信息,辅助科研写作。

立即免费体验

腹主动脉夹层的误诊:使用Nellix血管内动脉瘤封闭系统的影像表现

Misdiagnosis of abdominal aortic dissection: image findings with the Nellix endovascular aneurysm sealing system.

作者信息

de Souza Peter James, Rodway Alexander, Pankhania Ajay

机构信息

East Surrey Hospital, Redhill, UK.

Department of Vascular Surgery, East Surrey Hospital, Redhill, UK.

出版信息

BJR Case Rep. 2016 May 19;2(2):20150318. doi: 10.1259/bjrcr.20150318. eCollection 2016.

DOI:10.1259/bjrcr.20150318
PMID:30363652
原文链接:https://pmc.ncbi.nlm.nih.gov/articles/PMC6180861/
Abstract

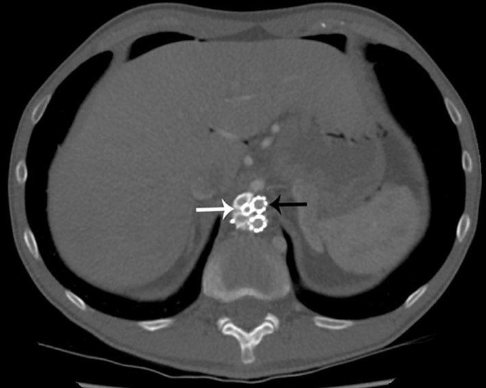
The Nellix endovascular aneurysm sealing system is a relatively new aortic endoprosthesis designed to overcome the problems associated with traditional methods of endovascular aneurysm repair. We report a case in which a 65-year-old male with abdominal pain was mistakenly diagnosed with an acute aortic dissection 7 days postoperatively after Nellix stent insertion, on the basis of the CT angiography findings. This report highlights the typical radiological appearances of the Nellix stent.

摘要

内利克斯血管内动脉瘤封堵系统是一种相对较新的主动脉内假体,旨在克服与传统血管内动脉瘤修复方法相关的问题。我们报告了一例病例,一名65岁男性在植入内利克斯支架术后7天因腹痛被误诊为急性主动脉夹层,诊断依据是CT血管造影结果。本报告重点介绍了内利克斯支架的典型影像学表现。

https://cdn.ncbi.nlm.nih.gov/pmc/blobs/ca7d/6180861/b8d9d3a98df8/bjrcr.20150318.g003.jpg
https://cdn.ncbi.nlm.nih.gov/pmc/blobs/ca7d/6180861/9f1e3950c53a/bjrcr.20150318.g001.jpg
https://cdn.ncbi.nlm.nih.gov/pmc/blobs/ca7d/6180861/f029e10513c6/bjrcr.20150318.g002.jpg
https://cdn.ncbi.nlm.nih.gov/pmc/blobs/ca7d/6180861/b8d9d3a98df8/bjrcr.20150318.g003.jpg
https://cdn.ncbi.nlm.nih.gov/pmc/blobs/ca7d/6180861/9f1e3950c53a/bjrcr.20150318.g001.jpg
https://cdn.ncbi.nlm.nih.gov/pmc/blobs/ca7d/6180861/f029e10513c6/bjrcr.20150318.g002.jpg
https://cdn.ncbi.nlm.nih.gov/pmc/blobs/ca7d/6180861/b8d9d3a98df8/bjrcr.20150318.g003.jpg

相似文献

1
Misdiagnosis of abdominal aortic dissection: image findings with the Nellix endovascular aneurysm sealing system.腹主动脉夹层的误诊:使用Nellix血管内动脉瘤封闭系统的影像表现
BJR Case Rep. 2016 May 19;2(2):20150318. doi: 10.1259/bjrcr.20150318. eCollection 2016.
2
Imaging After Nellix Endovascular Aneurysm Sealing: A Consensus Document.
J Endovasc Ther. 2016 Feb;23(1):7-20. doi: 10.1177/1526602815616251. Epub 2015 Nov 12.
3
Editor's Choice - Mid-term Migration and Device Failure Following Endovascular Aneurysm Sealing with the Nellix Stent Graft System - a Single Centre Experience.编辑精选 - 采用 Nellix 支架系统行血管内动脉瘤封闭术后中期移植物迁移和器械故障:单中心经验。
Eur J Vasc Endovasc Surg. 2018 Sep;56(3):342-348. doi: 10.1016/j.ejvs.2018.06.031.
4
Assessment of changes in stent graft geometry after chimney endovascular aneurysm sealing.烟囱技术腔内动脉瘤封闭术后支架移植物几何形态变化的评估。
J Vasc Surg. 2019 Dec;70(6):1754-1764. doi: 10.1016/j.jvs.2019.02.058. Epub 2019 May 29.
5
Preliminary results of endovascular aneurysm sealing from the multicenter Italian Research on Nellix Endoprosthesis (IRENE) study.Nellix 血管内动脉瘤封闭系统的多中心意大利研究(IRENE)的初步结果。
J Vasc Surg. 2018 May;67(5):1397-1403. doi: 10.1016/j.jvs.2017.09.032. Epub 2017 Dec 11.
6
An Alternative Approach for Treating a Type Ia Endoleak after Conventional EVAR Using the Nellix Endovascular Aneurysm Sealing.一种使用 Nellix 血管内动脉瘤封堵术治疗传统腔内腹主动脉瘤修复术后 Ia 型内漏的替代方法。
Ann Vasc Surg. 2018 May;49:316.e5-316.e10. doi: 10.1016/j.avsg.2017.12.020. Epub 2018 Mar 1.
7
The Nellix™ EndoVascular sealing system in patients with abdominal aortic aneurysms in conjunction with iliac artery occlusive disease.用于患有腹主动脉瘤并伴有髂动脉闭塞性疾病患者的Nellix™ 血管内封堵系统。
Vascular. 2017 Apr;25(2):190-195. doi: 10.1177/1708538116666690. Epub 2016 Sep 24.
8
Refinement of anatomic indications for the Nellix System for endovascular aneurysm sealing based on 2-year outcomes from the EVAS FORWARD IDE trial.基于 EVAS FORWARD IDE 试验 2 年结果对 Nellix 系统血管内动脉瘤封闭的解剖适应证进行细化。
J Vasc Surg. 2018 Sep;68(3):720-730.e1. doi: 10.1016/j.jvs.2018.01.031. Epub 2018 Mar 31.
9
Endovascular repair of a ruptured pararenal aortic aneurysm using the Nellix endovascular aneurysm sealing system and chimney grafts.使用Nellix腔内动脉瘤封闭系统和烟囱式移植物对破裂的肾旁主动脉瘤进行腔内修复。
J Endovasc Ther. 2015 Jun;22(3):291-4. doi: 10.1177/1526602815579899. Epub 2015 Apr 22.
10
Multicenter Nellix EndoVascular Aneurysm Sealing system experience in aneurysm sac sealing.多中心 Nellix 血管内动脉瘤封堵系统在动脉瘤囊封堵方面的经验。
J Vasc Surg. 2015 Aug;62(2):290-8. doi: 10.1016/j.jvs.2015.03.031. Epub 2015 May 5.

本文引用的文献

1
Appearance of the Nellix endovascular aneurysm sealing system on computed tomography: implications for postoperative imaging surveillance.
J Endovasc Ther. 2015 Jun;22(3):297-302. doi: 10.1177/1526602815583455.
2
Endovascular aneurysm sealing for juxtarenal aneurysm using the Nellix device and chimney covered stents.使用 Nellix 装置和烟囱式覆膜支架进行肾周动脉瘤的血管内动脉瘤封堵术。
J Endovasc Ther. 2014 Aug;21(4):541-7. doi: 10.1583/14-4728MR.1.
3
Endovascular repair of abdominal aortic aneurysm.腹主动脉瘤的血管内修复术。
Cochrane Database Syst Rev. 2014 Jan 23;2014(1):CD004178. doi: 10.1002/14651858.CD004178.pub2.
4
Fenestrated endovascular aneurysm repair.开窗型血管内动脉瘤修复术。
Br J Surg. 2012 Feb;99(2):152-9. doi: 10.1002/bjs.7804. Epub 2011 Dec 19.
5
EVAR using the Nellix Sac-anchoring endoprosthesis: treatment of favourable and adverse anatomy.Nellix 腹主动脉瘤覆膜支架系统腔内修复术:治疗有利和不利解剖结构。
Eur J Vasc Endovasc Surg. 2011 Jul;42(1):38-46. doi: 10.1016/j.ejvs.2011.03.007. Epub 2011 Apr 15.
6
Complications after endovascular aneurysm repair.血管内动脉瘤修复术后并发症。
Semin Intervent Radiol. 2009 Mar;26(1):3-9. doi: 10.1055/s-0029-1208377.
7
The chimney graft: a technique for preserving or rescuing aortic branch vessels in stent-graft sealing zones.烟囱移植物:一种在支架型人工血管密封区域保留或挽救主动脉分支血管的技术。
J Endovasc Ther. 2008 Aug;15(4):427-32. doi: 10.1583/07-2315.1.
8
Endoleak--a proposed new terminology to describe incomplete aneurysm exclusion by an endoluminal graft.
J Endovasc Surg. 1996 Feb;3(1):124-5. doi: 10.1583/1074-6218(1996)003<0124b:>2.0.CO;2.
9
Transfemoral intraluminal graft implantation for abdominal aortic aneurysms.经股动脉腔内移植物植入治疗腹主动脉瘤
Ann Vasc Surg. 1991 Nov;5(6):491-9. doi: 10.1007/BF02015271.