Suppr超能文献

左十二指肠旁疝继发小肠梗阻:一例报告及文献复习

Small bowel obstruction secondary to left paraduodenal hernia: A case report and literature review.

作者信息

Sleiman Youssef, El-Kheir Alaa, El-Khoury Melody, Hamdach Omar, Ismail Layla, Allouch Mustafa

机构信息

Department of Surgical Oncology, Institut Jules Bordet, Université Libre de Bruxelles (ULB), Lebanon; Department of General and Digestive Surgery, Nini Hospital, Tripoli, Lebanon.

Department of General and Digestive Surgery, Nini Hospital, Tripoli, Lebanon.

出版信息

Int J Surg Case Rep. 2018;53:29-31. doi: 10.1016/j.ijscr.2018.10.018. Epub 2018 Oct 12.

Abstract

INTRODUCTION

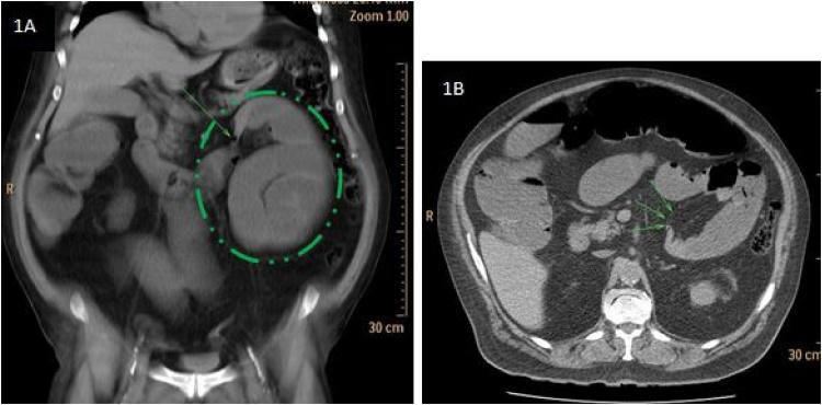
Internal hernias are uncommon and are defined by the protrusion of a viscus through intraperitoneal defects. Left paraduodenal hernias (LPDH) are the most common type of congenital internal hernia (CIH). We report a clinical case of a patient with a small bowel obstruction (SBO) due to a LPDH.

CASE PRESENTATION

An elderly patient, with negative surgical history, presented to the emergency room with abdominal pain and vomiting. Clinical and radiologic investigations were consistent with SBO due to an internal hernia. During laparotomy, a large LPDH containing dilated small bowel loops was identified. The hernia contents were reduced and the opening was closed with non-absorbable sutures. The post-operative course was uneventful without signs of recurrence at follow up.

DISCUSSION

LPDH result from absence of retroperitoneal fixation of the descending colon mesentery. Usually, patients are asymptomatic and LPDH are incidental findings detected on imaging and/or during laparotomy. However, LPDH may lead to acute SBO therefore a high index of clinical suspicion and preoperative imaging is crucial to make an early diagnosis.

CONCLUSION

CIH is a rare condition due to embryologic developmental abnormalities. Their diagnosis is based on pathognomonic findings on computed tomography scanner (CTscan). Surgical treatment is the mainstay treatment. Delay diagnosis of strangulated CIH is associated with significant morbidity andmortality.

摘要

引言

内疝并不常见,其定义为脏器通过腹膜内缺损突出。左十二指肠旁疝(LPDH)是最常见的先天性内疝(CIH)类型。我们报告一例因LPDH导致小肠梗阻(SBO)的临床病例。

病例介绍

一名既往无手术史的老年患者因腹痛和呕吐就诊于急诊室。临床和影像学检查结果与因内疝导致的SBO相符。剖腹手术期间,发现一个包含扩张小肠袢的大型LPDH。将疝内容物回纳,并用不可吸收缝线关闭开口。术后过程顺利,随访时无复发迹象。

讨论

LPDH是由于降结肠系膜腹膜后固定缺失所致。通常,患者无症状,LPDH是在影像学检查和/或剖腹手术期间偶然发现的。然而,LPDH可能导致急性SBO,因此高度的临床怀疑和术前影像学检查对于早期诊断至关重要。

结论

CIH是一种由于胚胎发育异常导致的罕见疾病。其诊断基于计算机断层扫描仪(CT扫描)上的特征性表现。手术治疗是主要治疗方法。绞窄性CIH的延迟诊断与显著的发病率和死亡率相关。

https://cdn.ncbi.nlm.nih.gov/pmc/blobs/24f2/6205147/ae882026c47e/gr1.jpg

文献检索

告别复杂PubMed语法,用中文像聊天一样搜索,搜遍4000万医学文献。AI智能推荐,让科研检索更轻松。

立即免费搜索

文件翻译

保留排版,准确专业,支持PDF/Word/PPT等文件格式,支持 12+语言互译。

免费翻译文档

深度研究

AI帮你快速写综述,25分钟生成高质量综述,智能提取关键信息,辅助科研写作。

立即免费体验