• 文献检索
  • 文档翻译
  • 深度研究
  • 学术资讯
  • Suppr Zotero 插件Zotero 插件
  • 邀请有礼
  • 套餐&价格
  • 历史记录
应用&插件
Suppr Zotero 插件Zotero 插件浏览器插件Mac 客户端Windows 客户端微信小程序
定价
高级版会员购买积分包购买API积分包
服务
文献检索文档翻译深度研究API 文档MCP 服务
关于我们
关于 Suppr公司介绍联系我们用户协议隐私条款
关注我们

Suppr 超能文献

核心技术专利:CN118964589B侵权必究
粤ICP备2023148730 号-1Suppr @ 2026

文献检索

告别复杂PubMed语法,用中文像聊天一样搜索,搜遍4000万医学文献。AI智能推荐,让科研检索更轻松。

立即免费搜索

文件翻译

保留排版,准确专业,支持PDF/Word/PPT等文件格式,支持 12+语言互译。

免费翻译文档

深度研究

AI帮你快速写综述,25分钟生成高质量综述,智能提取关键信息,辅助科研写作。

立即免费体验

沙特阿拉伯西部和西南部地区西瓜黄化病发病情况的洞察

Insights into the Incidence of Causing Yellowing Disease of Watermelon in Western and Southwestern Regions of Saudi Arabia.

作者信息

Ahmad M H, Shakeel M T, Al-Shahwan I M, Al-Saleh M A, Amer M A

机构信息

Plant Protection Department, College of Food and Agriculture Sciences, King Saud University, Riyadh, Saudi Arabia.

Department of Plant Pathology, Bahauddin Zakariya University, Multan, Pakistan.

出版信息

Plant Pathol J. 2018 Oct;34(5):426-434. doi: 10.5423/PPJ.OA.04.2018.0059. Epub 2018 Oct 1.

DOI:10.5423/PPJ.OA.04.2018.0059
PMID:30369852
原文链接:https://pmc.ncbi.nlm.nih.gov/articles/PMC6200047/
Abstract

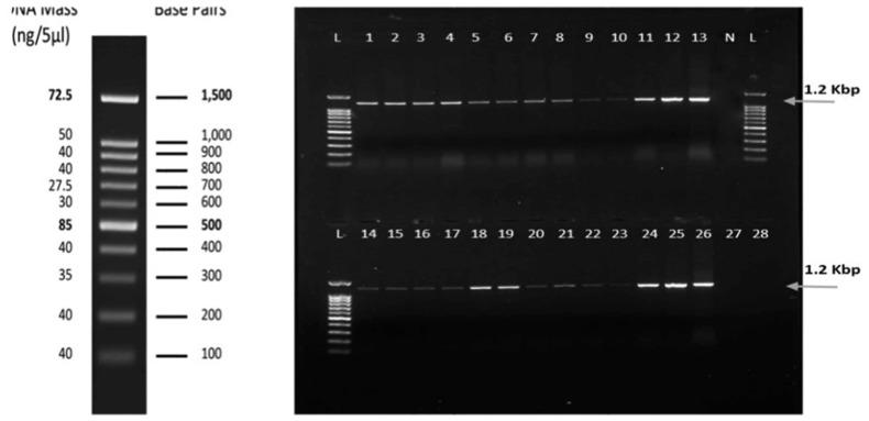
During the spring season of 2014, a total of 148 melon and watermelon leaf samples were collected from symptomatic and asymptomatic plants in the western and southwestern regions of Saudi Arabia and were tested for the presence of (WmCSV) and other suspected cucurbit viruses by double antibody sandwich enzyme-linked immunosorbent assays. Ninety-eight samples were found to be positive for the presence of WmCSV, nine samples were positive for the presence of (CYSDV), and 22 showed a mixed infection with both WmCSV and CYSDV. No other cucurbit viruses were detected in any of the samples. Host range experiments revealed that eight out of fourteen tested plant species were susceptible to WmCSV. PCR products of approximately 1.2 kb were obtained after amplification using primers specifically targeting the coat protein region of WmCSV. Positive PCR results were confirmed by dot blot hybridization. Coat protein gene sequences from eleven WmCSV isolates indicated that the highest identity was between the 104WMA-SA isolate from the Wadi Baish location and a previously reported isolate from the AL-Lith location in Saudi Arabia. The lowest identity was observed between the 42WMA-SA isolate and an isolate from Palestine.

摘要

2014年春季,从沙特阿拉伯西部和西南部有症状及无症状的甜瓜和西瓜植株上共采集了148份叶片样本,通过双抗体夹心酶联免疫吸附测定法检测西瓜褪绿斑驳病毒(WmCSV)及其他疑似葫芦科病毒的存在情况。发现98份样本WmCSV呈阳性,9份样本黄瓜黄化斑驳病毒(CYSDV)呈阳性,22份样本同时感染了WmCSV和CYSDV。在任何样本中均未检测到其他葫芦科病毒。寄主范围试验表明,受试的14种植物中有8种对WmCSV敏感。使用特异性靶向WmCSV外壳蛋白区域的引物进行扩增后,获得了约1.2 kb的PCR产物。PCR阳性结果通过斑点杂交得以证实。来自11个WmCSV分离株的外壳蛋白基因序列表明,来自瓦迪拜什地区的104WMA-SA分离株与沙特阿拉伯以前报道的来自利思地区的分离株之间的同源性最高。42WMA-SA分离株与来自巴勒斯坦的一个分离株之间的同源性最低。

https://cdn.ncbi.nlm.nih.gov/pmc/blobs/de2b/6200047/8bbae8682be5/ppj-34-426f5.jpg
https://cdn.ncbi.nlm.nih.gov/pmc/blobs/de2b/6200047/3ad841d02618/ppj-34-426f1.jpg
https://cdn.ncbi.nlm.nih.gov/pmc/blobs/de2b/6200047/b3c43e6a66d2/ppj-34-426f2.jpg
https://cdn.ncbi.nlm.nih.gov/pmc/blobs/de2b/6200047/08ebe07bdf79/ppj-34-426f3.jpg
https://cdn.ncbi.nlm.nih.gov/pmc/blobs/de2b/6200047/2e9ba41a06a1/ppj-34-426f4.jpg
https://cdn.ncbi.nlm.nih.gov/pmc/blobs/de2b/6200047/8bbae8682be5/ppj-34-426f5.jpg
https://cdn.ncbi.nlm.nih.gov/pmc/blobs/de2b/6200047/3ad841d02618/ppj-34-426f1.jpg
https://cdn.ncbi.nlm.nih.gov/pmc/blobs/de2b/6200047/b3c43e6a66d2/ppj-34-426f2.jpg
https://cdn.ncbi.nlm.nih.gov/pmc/blobs/de2b/6200047/08ebe07bdf79/ppj-34-426f3.jpg
https://cdn.ncbi.nlm.nih.gov/pmc/blobs/de2b/6200047/2e9ba41a06a1/ppj-34-426f4.jpg
https://cdn.ncbi.nlm.nih.gov/pmc/blobs/de2b/6200047/8bbae8682be5/ppj-34-426f5.jpg

相似文献

1
Insights into the Incidence of Causing Yellowing Disease of Watermelon in Western and Southwestern Regions of Saudi Arabia.沙特阿拉伯西部和西南部地区西瓜黄化病发病情况的洞察
Plant Pathol J. 2018 Oct;34(5):426-434. doi: 10.5423/PPJ.OA.04.2018.0059. Epub 2018 Oct 1.
2
Emergence of watermelon chlorotic stunt virus in melon and watermelon in the southwestern United States.西瓜褪绿矮化病毒在美国西南部甜瓜和西瓜中的出现。
Plant Dis. 2024 Oct 9. doi: 10.1094/PDIS-05-24-1009-PDN.
3
First Report of Watermelon chlorotic stunt virus in Cucurbits in Lebanon.黎巴嫩葫芦科作物中西瓜褪绿矮化病毒的首次报道
Plant Dis. 2012 Nov;96(11):1703. doi: 10.1094/PDIS-04-12-0366-PDN.
4
First Report of Watermelon chlorotic stunt virus Infecting Watermelon in Saudi Arabia.西瓜褪绿矮化病毒侵染沙特阿拉伯西瓜的首次报道。
Plant Dis. 2014 Oct;98(10):1451. doi: 10.1094/PDIS-06-14-0583-PDN.
5
First Report of Cucurbit Chlorotic Yellows Virus affecting Watermelon in USA.美国关于南瓜褪绿黄化病毒侵染西瓜的首次报道。
Plant Dis. 2021 Aug 22. doi: 10.1094/PDIS-03-21-0639-PDN.
6
Watermelon chlorotic stunt virus (WmCSV): a serious disease threatening watermelon production in Jordan.西瓜褪绿矮化病毒(WmCSV):一种威胁约旦西瓜生产的严重病害。
Virus Genes. 2011 Aug;43(1):79-89. doi: 10.1007/s11262-011-0594-8. Epub 2011 Mar 12.
7
First Report of Watermelon chlorotic stunt virus in Watermelon in the Palestinian Authority.巴勒斯坦权力机构西瓜中西瓜褪绿矮化病毒的首次报道
Plant Dis. 2012 Jan;96(1):149. doi: 10.1094/PDIS-08-11-0679.
8
First Report of Cucurbit chlorotic yellows virus in Cucumber, Melon, and Watermelon in Greece.希腊黄瓜、甜瓜和西瓜上黄瓜褪绿黄化病毒的首次报道
Plant Dis. 2014 Oct;98(10):1446. doi: 10.1094/PDIS-03-14-0311-PDN.
9
Molecular characterization of watermelon chlorotic stunt virus (WmCSV) from Palestine.来自巴勒斯坦的西瓜褪绿矮化病毒(WmCSV)的分子特征分析
Viruses. 2014 Jun 20;6(6):2444-62. doi: 10.3390/v6062444.
10
First Report on the Association of Squash leaf curl virus and Watermelon chlorotic stunt virus with Tomato Yellow Leaf Curl Disease.南瓜曲叶病毒和西瓜褪绿矮化病毒与番茄黄化曲叶病关联的首次报告
Plant Dis. 2013 Mar;97(3):428. doi: 10.1094/PDIS-08-12-0712-PDN.

引用本文的文献

1
Cross-reaction between mouse and rat immunoglobulin G: does it matter in sandwich ELISA?小鼠和大鼠免疫球蛋白G之间的交叉反应:在夹心酶联免疫吸附测定中这重要吗?
J Genet Eng Biotechnol. 2021 Aug 17;19(1):119. doi: 10.1186/s43141-021-00222-2.

本文引用的文献

1
First Report of Watermelon chlorotic stunt virus Infecting Watermelon in Saudi Arabia.西瓜褪绿矮化病毒侵染沙特阿拉伯西瓜的首次报道。
Plant Dis. 2014 Oct;98(10):1451. doi: 10.1094/PDIS-06-14-0583-PDN.
2
ICTV Virus Taxonomy Profile: Geminiviridae.国际病毒分类委员会病毒分类概况:双生病毒科
J Gen Virol. 2017 Feb;98(2):131-133. doi: 10.1099/jgv.0.000738.
3
Molecular characterization of watermelon chlorotic stunt virus (WmCSV) from Palestine.来自巴勒斯坦的西瓜褪绿矮化病毒(WmCSV)的分子特征分析
Viruses. 2014 Jun 20;6(6):2444-62. doi: 10.3390/v6062444.
4
Complete nucleotide sequence of watermelon chlorotic stunt virus originating from Oman.源自阿曼的西瓜曲叶病毒的全核苷酸序列。
Viruses. 2012 Jul;4(7):1169-81. doi: 10.3390/v4071169. Epub 2012 Jul 24.
5
Watermelon chlorotic stunt virus (WmCSV): a serious disease threatening watermelon production in Jordan.西瓜褪绿矮化病毒(WmCSV):一种威胁约旦西瓜生产的严重病害。
Virus Genes. 2011 Aug;43(1):79-89. doi: 10.1007/s11262-011-0594-8. Epub 2011 Mar 12.
6
Watermelon chlorotic stunt virus from the Sudan and Iran: Sequence Comparisons and Identification of a Whitefly-Transmission Determinant.来自苏丹和伊朗的西瓜褪绿矮缩病毒:序列比较和粉虱传播决定因素的鉴定。
Phytopathology. 2000 Jun;90(6):629-35. doi: 10.1094/PHYTO.2000.90.6.629.
7
An Asian origin for a 10,000-year-old domesticated plant in the Americas.美洲一种有一万年历史的驯化植物起源于亚洲。
Proc Natl Acad Sci U S A. 2005 Dec 20;102(51):18315-20. doi: 10.1073/pnas.0509279102. Epub 2005 Dec 13.
8
Detection of plant RNA viruses by nonisotopic dot-blot hybridization.通过非同位素斑点杂交检测植物RNA病毒
Methods Mol Biol. 1998;81:461-8. doi: 10.1385/0-89603-385-6:461.
9
Chemiluminescent detection of potato and pome fruit viroids by digoxigenin-labeled dot blot and tissue blot hybridization.用地高辛标记的斑点杂交和组织印迹杂交法对马铃薯和梨果类病毒进行化学发光检测。
J Virol Methods. 1993 Jul;43(2):147-58. doi: 10.1016/0166-0934(93)90072-y.
10
Characteristics of the microplate method of enzyme-linked immunosorbent assay for the detection of plant viruses.用于检测植物病毒的酶联免疫吸附测定微孔板法的特点
J Gen Virol. 1977 Mar;34(3):475-83. doi: 10.1099/0022-1317-34-3-475.