Suppr超能文献

建立常规 PCR 和实时 PCR 检测方法以区分来源于花椒属植物的花椒油和草药材料的产地。

Development of conventional PCR and real-time PCR assays to discriminate the origins of Chinese pepper oil and herbal materials from Zanthoxylum.

机构信息

Herbal Medicine Research Division, Korea Institute of Oriental Medicine, Daejeon, Republic of Korea.

出版信息

J Sci Food Agric. 2019 Mar 15;99(4):2021-2029. doi: 10.1002/jsfa.9458. Epub 2018 Dec 13.

Abstract

BACKGROUND

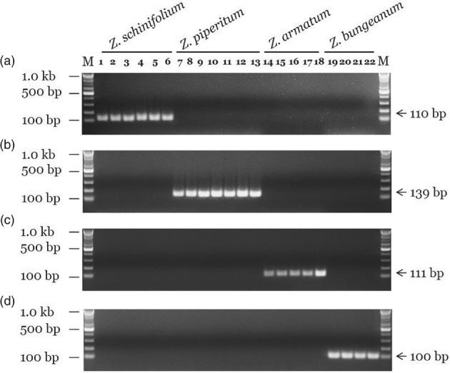
To ensure the safety, quality and therapeutic efficacy of processed foods and herbal medicines, it is important to identify and discriminate economically motivated adulterants. Zanthoxylum schinifolium is sold at a higher price than other Zanthoxylum species and is frequently adulterated with closely related Zanthoxylum species because of its high demand as a Korean food ingredient and medicinal material in markets. In addition, the pericarps of three Zanthoxylum species (Z. schinifolium, Z. bungeanum and Z. piperitum) are defined as herbal medicine Zanthoxyli Pericarpium in Korean pharmacopoeias, but not Z. piperitum in Chinese pharmacopoeias. Further confusion arises in the morphological similarity between Z. armatum (adulterant) and Z. bungeanum. Therefore, the aim of this study was to develop a sequence characterized amplified region (SCAR) marker for discrimination of four Zanthoxylum species.

RESULTS

With the goal of developing rapid and reliable tools for genetic discrimination of authentic Zanthoxyli Pericarpium, we designed species-specific SCAR markers, based on ITS2 sequences, that generate amplicons of less than 200 bp. Using these markers, we established both conventional and real-time PCR assay methods capable of differentiating samples at the species level. We validated the ability of SCAR markers to authenticate edible oil and herbal medicine, and confirmed that some herbal medicines contaminated with Z. armatum are being distributed as Zanthoxyli Pericarpium in Korean and Chinese markets.

CONCLUSIONS

The SCAR markers and PCR methods described represent powerful tools for protecting against adulteration and ensuring standardization of processed foods and herbal medicine. © 2018 The Authors. Journal of the Science of Food and Agriculture published by John Wiley & Sons Ltd on behalf of Society of Chemical Industry.

摘要

背景

为了确保加工食品和草药的安全性、质量和疗效,识别和区分出于经济动机的掺假行为非常重要。花椒的售价高于其他花椒属物种,由于其作为韩国食品成分和药用材料的高需求,经常与亲缘关系密切的花椒属物种掺假。此外,三种花椒属物种(花椒、花椒和花椒)的果皮被韩国药典定义为草药花椒果皮,但中国药典中没有花椒。花椒(掺假物)与花椒在形态上的相似性进一步造成了混淆。因此,本研究旨在开发用于区分四种花椒属物种的序列特征扩增区(SCAR)标记。

结果

为了开发用于鉴定正品花椒果皮的快速可靠的遗传鉴别工具,我们根据 ITS2 序列设计了基于物种特异性的 SCAR 标记,这些标记产生的扩增子小于 200bp。使用这些标记,我们建立了能够在物种水平上区分样品的常规和实时 PCR 检测方法。我们验证了 SCAR 标记鉴定食用油和草药的能力,并证实一些被花椒污染的草药正在韩国和中国市场作为花椒果皮销售。

结论

所描述的 SCAR 标记和 PCR 方法代表了防止掺假和确保加工食品和草药标准化的有力工具。© 2018 作者。约翰威立父子公司代表化学工业协会出版的《食品科学杂志》。

https://cdn.ncbi.nlm.nih.gov/pmc/blobs/bb25/6590328/78d8a3594aa1/JSFA-99-2021-g002.jpg

文献AI研究员

20分钟写一篇综述,助力文献阅读效率提升50倍。

立即体验

用中文搜PubMed

大模型驱动的PubMed中文搜索引擎

马上搜索

文档翻译

学术文献翻译模型,支持多种主流文档格式。

立即体验