1 Division of Vascular Surgery Guangdong Key Engineering Laboratory for Diagnosis and Treatment of Vascular Disease First Affiliated Hospital Sun Yat-sen University Guangzhou China.
2 Laboratory of General Surgery Guangdong Key Engineering Laboratory for Diagnosis and Treatment of Vascular Disease First Affiliated Hospital Sun Yat-sen University Guangzhou China.
J Am Heart Assoc. 2018 Oct 2;7(19):e008596. doi: 10.1161/JAHA.118.008596.
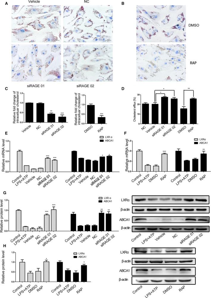
Background This study aimed at investigating whether NLRP 3 (the Nod like receptor family, pyrin domain-containing 3 protein) inflammasome activation induced HMGB 1 (high mobility group box-1 protein) secretion and foam cell formation in human vascular smooth muscle cells ( VSMC s) and atherosclerosis in ApoE mice. Methods and Results VSMC s or ApoE mice were treated with lipopolysaccharides ( LPS ) and/or ATP or LPS and high-fat diet to induce NLRP 3 inflammasome activation. HMGB 1 distribution and foam cell formation in VSMC s were characterized. Liver X receptor α and ATP -binding cassette transporter expression were determined. The impact of NLRP 3 or receptor for advanced glycation end product silencing, ZYVAD - FMK (caspase-1 inhibitor), glycyrrhizin ( HMGB 1 inhibitor) or receptor for advanced glycation end product antagonist peptide on HMGB 1 secretion, foam cell formation, liver X receptor α and ATP -binding cassette transporter expression was examined. Expression level of HMGB 1 in human atherosclerosis obliterans arterial tissues was characterized. Our results found that NLRP 3 inflammasome activation promoted foam cell formation and HMGB 1 secretion in VSMC s. Extracellular HMGB 1 was a key signal molecule in inflammasome activation-mediated foam cell formation. Furthermore, inflammasome activation-induced HMGB 1 activity and foam cell formation were achieved by receptor for advanced glycation end product/liver X receptor α / ATP -binding cassette transporter glycyrrhizin. Experiments in vivo found glycyrrhizin significantly attenuated the LPS /high-fat diet-induced atherosclerosis and serum HMGB 1 levels in mice. Finally, levels of HMGB 1 and NLRP 3 were increased in tunica media adjacent to intima of atherosclerosis obliteran arteries. Conclusions Our results revealed that HMGB1 is a key downstream signal molecule of NLRP 3 inflammasome activation and plays an important role in VSMC s foam cell formation and atherogenesis by downregulating liver X receptor α and ATP -binding cassette transporter expression through receptor for advanced glycation end product.
背景 本研究旨在探讨 NLRP3(核苷酸结合寡聚化结构域样受体家族,富含pyrin 结构域蛋白 3)炎性小体激活是否导致人血管平滑肌细胞(VSMC)中 HMGB1(高迁移率族蛋白 B1)分泌和泡沫细胞形成,并在 ApoE 小鼠中导致动脉粥样硬化。
方法和结果 用脂多糖(LPS)和/或三磷酸腺苷(ATP)或 LPS 和高脂肪饮食处理 VSMC 或 ApoE 小鼠,以诱导 NLRP3 炎性小体激活。对 VSMC 中 HMGB1 分布和泡沫细胞形成进行了特征描述。测定了肝 X 受体α和三磷酸腺苷结合盒转运蛋白的表达。用 NLRP3 或晚期糖基化终产物受体沉默、ZYVAD-FMK(半胱天冬酶-1 抑制剂)、甘草酸(HMGB1 抑制剂)或晚期糖基化终产物受体拮抗剂肽处理,观察对 HMGB1 分泌、泡沫细胞形成、肝 X 受体α和三磷酸腺苷结合盒转运蛋白表达的影响。对人动脉粥样硬化闭塞性动脉组织中的 HMGB1 表达水平进行了特征描述。
结果 我们发现,NLRP3 炎性小体激活促进了 VSMC 中的泡沫细胞形成和 HMGB1 分泌。细胞外 HMGB1 是炎性小体激活介导的泡沫细胞形成中关键的信号分子。此外,炎性小体激活诱导的 HMGB1 活性和泡沫细胞形成是通过晚期糖基化终产物受体/肝 X 受体α/三磷酸腺苷结合盒转运蛋白/甘草酸实现的。体内实验发现,甘草酸显著减轻了 LPS/高脂肪饮食诱导的小鼠动脉粥样硬化和血清 HMGB1 水平。最后,在动脉粥样硬化闭塞性动脉中层与内膜相邻的血管壁中,HMGB1 和 NLRP3 的水平升高。
结论 我们的研究结果表明,HMGB1 是 NLRP3 炎性小体激活的关键下游信号分子,通过下调晚期糖基化终产物受体,下调肝 X 受体α和三磷酸腺苷结合盒转运蛋白的表达,在 VSMC 泡沫细胞形成和动脉粥样形成中发挥重要作用。