Suppr超能文献

通过给Zucker肥胖大鼠(一种胰岛素抵抗模型)喂食西式饮食诱导的肝脏病变。

Hepatic lesions induced by feeding Western diets to Zucker fatty rats, an insulin-resistant model.

作者信息

Saito Tomoyuki, Toriniwa Yasufumi, Ishii Yukihito, Uemura Atsuhiro, Miyajima Katsuhiro, Uno Kinuko, Shirai Yuki, Nakae Dai, Ohta Takeshi

机构信息

Japan Tobacco Inc., Central Pharmaceutical Research Institute, 1-1 Murasaki-cho, Takatsuki, Osaka 569-1125, Japan.

Faculty of Applied Biosciences, Tokyo University of Agriculture, 1-1-1 Sakuragaoka, Setagaya-ku, Tokyo 156-8502, Japan.

出版信息

J Toxicol Pathol. 2018 Oct;31(4):283-291. doi: 10.1293/tox.2018-0016. Epub 2018 Sep 2.

Abstract

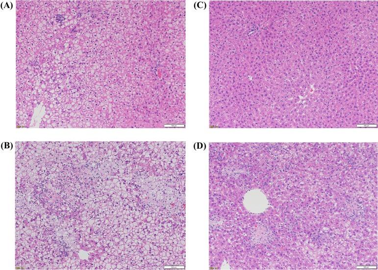
Metabolic diseases including nonalcoholic steatohepatitis develop due to various environmental factors. In particular, the westernization of food is closely related to the development of these diseases. In this study, we investigated pathophysiological changes in the livers of Zucker fatty (ZF) rats induced by feeding Western diets. Male ZF rats were fed a sucrose/fat/cholesterol-enriched diet (Western diet, WD) or standard diet (SD) for 18 weeks, from 7 to 25 weeks of age. Body weight, food intake, and biochemical parameters were periodically measured, histopathological analyses were performed at 25 weeks, and mRNA expression in the liver was determined. ZF rats fed the WD (ZF-WD rats) developed obesity, hyperinsulinemia, hyperglycemia, and hyperlipidemia, and their alanine aminotransferase and aspartate aminotransferase levels increased compared with those of ZF rats fed the SD (ZF-SD rats). Hepatic lesions including fibrosis and necrosis were observed in the ZF-WD rats at 25 weeks; however, fibrosis and necrosis were not observed in the ZF-SD rats. Oxidative stress markers also increased in the livers of ZF-WD rats. Hepatic mRNA expression related to inflammation and fibrosis increased in the ZF-WD rats; however, mRNA expression related to lipid synthesis decreased. Microsomal triglyceride transfer protein mRNA levels in the ZF-WD rats also decreased. In Zucker lean rats fed the WD, similar changes were observed in the liver; however, the hepatic changes were not serious compared with ZF-WD rats. In conclusion, hepatic lesions, such as inflammation, fibrosis, and necrosis, were observed in the ZF-WD rats. The sucrose/fat/cholesterol-enriched diet induced significant lipotoxicity in the livers of animals in this insulin-resistant model.

摘要

包括非酒精性脂肪性肝炎在内的代谢性疾病是由多种环境因素引起的。特别是,食物的西方化与这些疾病的发展密切相关。在本研究中,我们调查了喂食西方饮食诱导的Zucker肥胖(ZF)大鼠肝脏的病理生理变化。雄性ZF大鼠从7周龄到25周龄被喂食富含蔗糖/脂肪/胆固醇的饮食(西方饮食,WD)或标准饮食(SD)18周。定期测量体重、食物摄入量和生化参数,在25周时进行组织病理学分析,并测定肝脏中的mRNA表达。喂食WD(ZF-WD大鼠)的ZF大鼠出现肥胖、高胰岛素血症、高血糖和高脂血症,与喂食SD的ZF大鼠(ZF-SD大鼠)相比,它们的丙氨酸转氨酶和天冬氨酸转氨酶水平升高。在25周时,ZF-WD大鼠肝脏观察到包括纤维化和坏死在内的病变;然而,ZF-SD大鼠未观察到纤维化和坏死。氧化应激标志物在ZF-WD大鼠肝脏中也增加。与炎症和纤维化相关的肝脏mRNA表达在ZF-WD大鼠中增加;然而,与脂质合成相关的mRNA表达下降。ZF-WD大鼠微粒体甘油三酯转移蛋白mRNA水平也下降。在喂食WD的Zucker瘦大鼠肝脏中观察到类似变化;然而,与ZF-WD大鼠相比,肝脏变化不严重。总之,在ZF-WD大鼠中观察到肝脏病变,如炎症、纤维化和坏死。在这个胰岛素抵抗模型中,富含蔗糖/脂肪/胆固醇的饮食在动物肝脏中诱导了显著的脂毒性。

https://cdn.ncbi.nlm.nih.gov/pmc/blobs/2af9/6206288/e7f213aa41bd/tox-31-283-g003.jpg

文献AI研究员

20分钟写一篇综述,助力文献阅读效率提升50倍。

立即体验

用中文搜PubMed

大模型驱动的PubMed中文搜索引擎

马上搜索

文档翻译

学术文献翻译模型,支持多种主流文档格式。

立即体验