Suppr超能文献

基于笔形束扫描质子放疗的肺部肿瘤治疗的四维计划优化

Four-dimensional Plan Optimization for the Treatment of Lung Tumors Using Pencil-beam Scanning Proton Radiotherapy.

作者信息

Cummings David, Tang Shikui, Ichter William, Wang Peng, Sturgeon Jared D, Lee Andrew K, Chang Chang

机构信息

Physics, Texas Center for Proton Therapy, Irving, USA.

Medical Physics, Texas Center for Proton Therapy, Irving, USA.

出版信息

Cureus. 2018 Aug 23;10(8):e3192. doi: 10.7759/cureus.3192.

Abstract

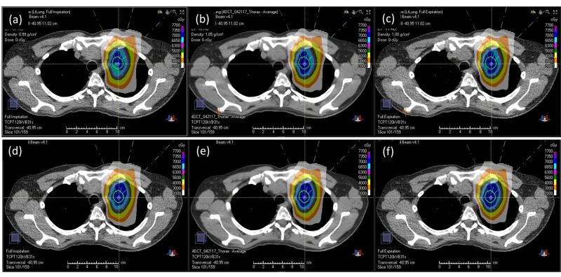
Purpose  This study aimed to evaluate the effectiveness of four-dimensional (4D) robust optimization for proton pencil-beam scanning (PBS) treatment of lung tumors. Patients and methods  In seven patients with lung cancer, proton beam therapy was planned using 4D robust optimization over 4D computed tomography (CT) data sets. The gross target volume (GTV) was contoured based on individual breathing phases, and a 5-mm expansion was used to generate the clinical target volume (CTV) for each phase. The 4D optimization was conducted directly on the 4D CT data set. The robust optimization settings included a CT Hounsfield unit (HU) uncertainty of 4% and a setup uncertainty of 5 mm to obtain the CTV. Additional target dose objectives such as those for the internal target volume (ITV) as well as the organ-at-risk (OAR) dose requirements were placed on the average CT. For comparison, three-dimensional (3D) robust optimization was also performed on the average CT. An additional verification 4D CT was performed to verify plan robustness against inter-fractional variations. Results  Target coverages were generally higher for 4D optimized plans. The difference was most pronounced for ITV V70Gy when evaluating individual breathing phases. The 4D optimized plans were shown to be able to maintain the ITV coverage at full prescription, while 3D optimized plans could not. More importantly, this difference in ITV V70Gy between the 4D and 3D optimized plans was also consistently observed when evaluating the verification 4D CT, indicating that the 4D optimized plans were more robust against inter-fractional variations. Less difference was seen between the 4D and 3D optimized plans in the lungs criteria: V5Gy and V20Gy. Conclusion  The proton PBS treatment plans optimized directly on the 4D CT were shown to be more robust when compared to those optimized on a regular 3D CT. Robust 4D optimization can improve the target coverage for the proton PBS lung treatments.

摘要

目的 本研究旨在评估四维(4D)稳健优化在质子笔形束扫描(PBS)治疗肺癌中的有效性。

患者与方法 对7例肺癌患者,基于4D计算机断层扫描(CT)数据集,采用4D稳健优化进行质子束治疗计划制定。根据个体呼吸相位勾勒大体肿瘤体积(GTV),并使用5 mm的外放生成各相位的临床靶体积(CTV)。4D优化直接在4D CT数据集上进行。稳健优化设置包括4%的CT Hounsfield单位(HU)不确定性和5 mm的摆位不确定性以获得CTV。将诸如内部靶体积(ITV)的额外靶区剂量目标以及危及器官(OAR)的剂量要求置于平均CT上。为作比较,也在平均CT上进行三维(3D)稳健优化。进行额外的验证4D CT以验证计划针对分次间变化的稳健性。

结果 4D优化计划的靶区覆盖通常更高。在评估个体呼吸相位时,差异在ITV V70Gy方面最为明显。结果显示4D优化计划能够在全处方剂量下维持ITV覆盖,而3D优化计划则不能。更重要的是,在评估验证4D CT时,4D和3D优化计划在ITV V70Gy方面的这种差异也始终存在,表明4D优化计划对分次间变化更具稳健性。4D和3D优化计划在肺的指标V5Gy和V20Gy方面差异较小。

结论 与在常规3D CT上优化的计划相比,直接在4D CT上优化的质子PBS治疗计划显示出更强的稳健性。稳健的4D优化可提高质子PBS肺癌治疗的靶区覆盖。

https://cdn.ncbi.nlm.nih.gov/pmc/blobs/c8e8/6200439/9af4a8ccd3b7/cureus-0010-00000003192-i01.jpg

文献AI研究员

20分钟写一篇综述,助力文献阅读效率提升50倍。

立即体验

用中文搜PubMed

大模型驱动的PubMed中文搜索引擎

马上搜索

文档翻译

学术文献翻译模型,支持多种主流文档格式。

立即体验