Suppr超能文献

建立一种单管巢式 PCR-侧向流生物传感器检测方法,用于快速准确地检测人参链格孢菌

Development of a single-tube nested PCR-lateral flow biosensor assay for rapid and accurate detection of Alternaria panax Whetz.

机构信息

College of Agronomy, Jilin College of Agricultural Science and Technology, Jilin, Jilin, China.

Department of Neurology, China-Japan Union Hospital of Jilin University, Changchun, Jilin, China.

出版信息

PLoS One. 2018 Nov 8;13(11):e0206462. doi: 10.1371/journal.pone.0206462. eCollection 2018.

Abstract

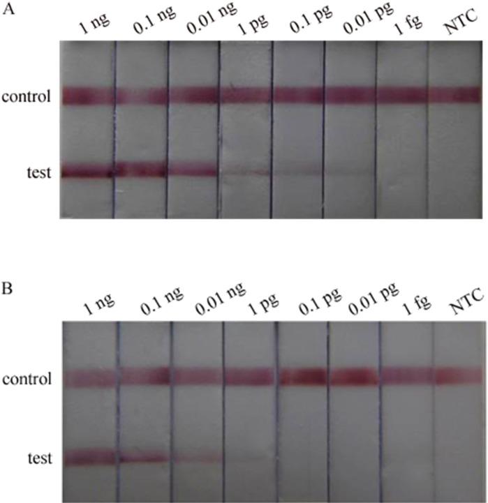
Alternaria panax Whetz causes one of the most commonly occurring and serious diseases in ginseng cultivation, and may cause significant production and economic losses in the ginseng industry. Rapid, early, and accurate identification of Alternaria panax Whetz is an essential prerequisite for the effective prevention and control of further infection spread. In this work, a rapid and accurate molecular diagnostic method, a single-tube nested PCR-lateral flow biosensor assay (STNPCR-LFBA), was developed for rapid identification of Alternaria panax Whetz. The STNPCR-LFBA was 100 times more sensitive than the traditional PCR-LFBA. Besides that, the PCR product was checked by a lateral flow biosensor assay, which provided a basis for the migration of the detection technology to a point-of-care test (POCT) format. STNPCR-LFBA was specific to Alternaria panax Whetz, and no cross-reactions were observed in other non-target samples; the limit of detection was up to 0.01 pg of Alternaria panax Whetz genomic DNA. STNPCR-LFBA could also be used for specific identification of Alternaria panax Whetz in real samples. STNPCR-LFBA is useful for identifying Alternaria panax Whetz due to its rapidity, accuracy, and simple manipulation.

摘要

交链格孢(Alternaria panax Whetz)引起人参种植中最常见和最严重的疾病之一,可能会给人参产业造成重大的生产和经济损失。快速、早期、准确地鉴定交链格孢(Alternaria panax Whetz)是有效预防和控制进一步感染传播的必要前提。在这项工作中,开发了一种快速、准确的分子诊断方法,即单管嵌套 PCR-侧向流动生物传感器检测法(STNPCR-LFBA),用于快速鉴定交链格孢(Alternaria panax Whetz)。与传统的 PCR-LFBA 相比,STNPCR-LFBA 的灵敏度高 100 倍。此外,通过侧向流动生物传感器检测法检查 PCR 产物,为检测技术向即时检测(POCT)格式迁移提供了依据。STNPCR-LFBA 对交链格孢(Alternaria panax Whetz)具有特异性,在其他非目标样本中没有观察到交叉反应;检测限低至 0.01pg 交链格孢(Alternaria panax Whetz)基因组 DNA。STNPCR-LFBA 还可用于实际样本中交链格孢(Alternaria panax Whetz)的特异性鉴定。STNPCR-LFBA 由于其快速、准确和简单的操作而有助于鉴定交链格孢(Alternaria panax Whetz)。

https://cdn.ncbi.nlm.nih.gov/pmc/blobs/9557/6224276/9c3510a6f5bc/pone.0206462.g001.jpg

文献AI研究员

20分钟写一篇综述,助力文献阅读效率提升50倍。

立即体验

用中文搜PubMed

大模型驱动的PubMed中文搜索引擎

马上搜索

文档翻译

学术文献翻译模型,支持多种主流文档格式。

立即体验