Suppr超能文献

穿孔素抑制可防止暴发性病毒性肝炎期间的致命内皮损伤。

Perforin inhibition protects from lethal endothelial damage during fulminant viral hepatitis.

机构信息

Institute of Experimental Immunology, University Hospital, University of Bonn, 53127, Bonn, Germany.

Department of Internal Medicine I, University of Bonn, Bonn, 53127, Germany.

出版信息

Nat Commun. 2018 Nov 15;9(1):4805. doi: 10.1038/s41467-018-07213-x.

Abstract

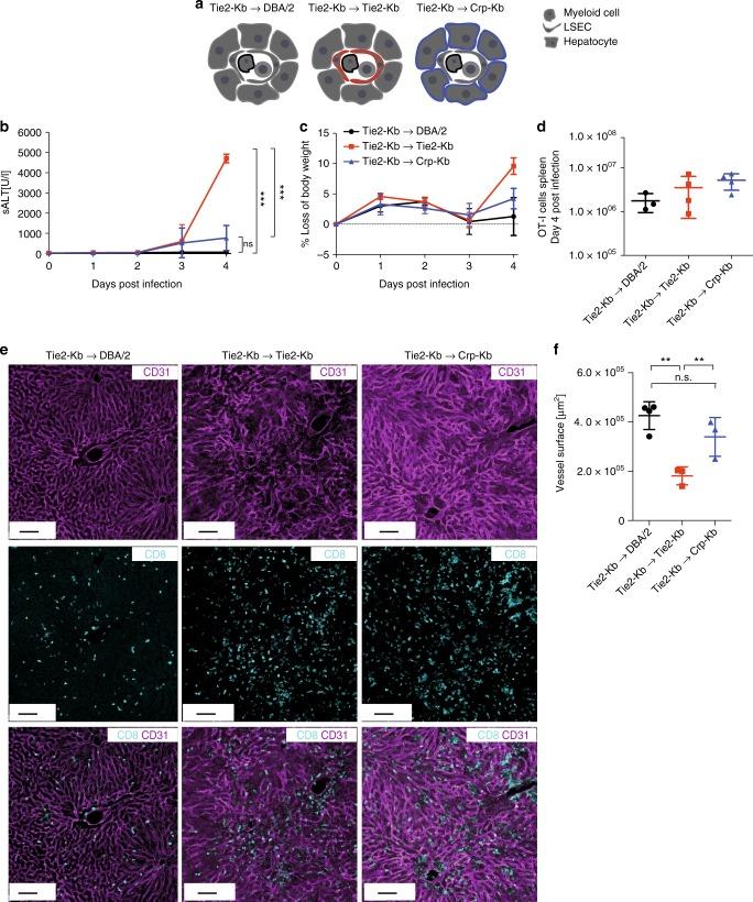
CD8 T cells protect the liver against viral infection, but can also cause severe liver damage that may even lead to organ failure. Given the lack of mechanistic insights and specific treatment options in patients with acute fulminant hepatitis, we develop a mouse model reflecting a severe acute virus-induced CD8 T cell-mediated hepatitis. Here we show that antigen-specific CD8 T cells induce liver damage in a perforin-dependent manner, yet liver failure is not caused by effector responses targeting virus-infected hepatocytes alone. Additionally, CD8 T cell mediated elimination of cross-presenting liver sinusoidal endothelial cells causes endothelial damage that leads to a dramatically impaired sinusoidal perfusion and indirectly to hepatocyte death. With the identification of perforin-mediated killing as a critical pathophysiologic mechanism of liver failure and the protective function of a new class of perforin inhibitor, our study opens new potential therapeutic angles for fulminant viral hepatitis.

摘要

CD8 T 细胞可保护肝脏免受病毒感染,但也可能导致严重的肝损伤,甚至导致器官衰竭。鉴于急性暴发性肝炎患者缺乏机制见解和特定的治疗选择,我们开发了一种反映严重急性病毒诱导的 CD8 T 细胞介导的肝炎的小鼠模型。在这里,我们表明抗原特异性 CD8 T 细胞以依赖穿孔素的方式诱导肝损伤,但肝衰竭不是由针对病毒感染的肝细胞的效应应答单独引起的。此外,CD8 T 细胞介导的清除交叉呈递的肝窦内皮细胞导致内皮损伤,导致显著受损的窦状隙灌注,并间接导致肝细胞死亡。随着对穿孔素介导的杀伤作为肝衰竭的关键病理生理机制的鉴定以及新型穿孔素抑制剂的保护功能的鉴定,我们的研究为暴发性病毒性肝炎开辟了新的潜在治疗角度。

https://cdn.ncbi.nlm.nih.gov/pmc/blobs/a630/6237769/caeeae049f6c/41467_2018_7213_Fig1_HTML.jpg

文献检索

告别复杂PubMed语法,用中文像聊天一样搜索,搜遍4000万医学文献。AI智能推荐,让科研检索更轻松。

立即免费搜索

文件翻译

保留排版,准确专业,支持PDF/Word/PPT等文件格式,支持 12+语言互译。

免费翻译文档

深度研究

AI帮你快速写综述,25分钟生成高质量综述,智能提取关键信息,辅助科研写作。

立即免费体验