Suppr超能文献

RUNX2的Runt结构域在黑色素瘤细胞增殖和迁移中的新见解。

New Insights into the Runt Domain of RUNX2 in Melanoma Cell Proliferation and Migration.

作者信息

Deiana Michela, Dalle Carbonare Luca, Serena Michela, Cheri Samuele, Parolini Francesca, Gandini Alberto, Marchetto Giulia, Innamorati Giulio, Manfredi Marcello, Marengo Emilio, Brandi Jessica, Cecconi Daniela, Mori Antonio, Mina Maria Mihaela, Antoniazzi Franco, Mottes Monica, Tiso Natascia, Malerba Giovanni, Zipeto Donato, Valenti Maria Teresa

机构信息

Department of Neurosciences, Biomedicine and Movement Sciences, University of Verona, I-37134 Verona, Italy.

Department of Medicine, University of Verona, I-37134 Verona, Italy.

出版信息

Cells. 2018 Nov 20;7(11):220. doi: 10.3390/cells7110220.

Abstract

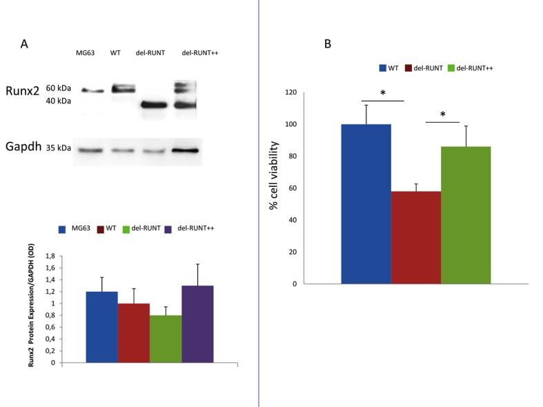
The mortality rate for malignant melanoma (MM) is very high, since it is highly invasive and resistant to chemotherapeutic treatments. The modulation of some transcription factors affects cellular processes in MM. In particular, a higher expression of the osteogenic master gene RUNX2 has been reported in melanoma cells, compared to normal melanocytes. By analyzing public databases for recurrent RUNX2 genetic and epigenetic modifications in melanoma, we found that the most common RUNX2 genetic alteration that exists in transcription upregulation is, followed by genomic amplification, nucleotide substitution and multiple changes. Additionally, altered RUNX2 is involved in unchecked pathways promoting tumor progression, Epithelial Mesenchymal Transition (EMT), and metastasis. In order to investigate further the role of RUNX2 in melanoma development and to identify a therapeutic target, we applied the CRISPR/Cas9 technique to explore the role of the RUNT domain of RUNX2 in a melanoma cell line. RUNT-deleted cells showed reduced proliferation, increased apoptosis, and reduced EMT features, suggesting the involvement of the RUNT domain in different pathways. In addition, del-RUNT cells showed a downregulation of genes involved in migration ability. In an in vivo zebrafish model, we observed that wild-type melanoma cells migrated in 81% of transplanted fishes, while del-RUNT cells migrated in 58%. All these findings strongly suggest the involvement of the RUNT domain in melanoma metastasis and cell migration and indicate RUNX2 as a prospective target in MM therapy.

摘要

恶性黑色素瘤(MM)的死亡率非常高,因为它具有高度侵袭性且对化疗治疗有抗性。某些转录因子的调节会影响MM中的细胞过程。特别是,与正常黑素细胞相比,黑色素瘤细胞中已报道成骨主基因RUNX2的表达更高。通过分析黑色素瘤中RUNX2基因和表观遗传修饰复发的公共数据库,我们发现转录上调中存在的最常见的RUNX2基因改变是,其次是基因组扩增、核苷酸取代和多种变化。此外,改变的RUNX2参与促进肿瘤进展、上皮-间质转化(EMT)和转移的失控途径。为了进一步研究RUNX2在黑色素瘤发展中的作用并确定治疗靶点,我们应用CRISPR/Cas9技术来探索RUNX2的RUNT结构域在黑色素瘤细胞系中的作用。缺失RUNT的细胞显示增殖减少、凋亡增加和EMT特征减少,表明RUNT结构域参与不同途径。此外,del-RUNT细胞显示参与迁移能力的基因下调。在体内斑马鱼模型中,我们观察到野生型黑色素瘤细胞在81%的移植鱼中迁移,而del-RUNT细胞在58%的移植鱼中迁移。所有这些发现都强烈表明RUNT结构域参与黑色素瘤转移和细胞迁移,并表明RUNX2作为MM治疗中的一个潜在靶点。

https://cdn.ncbi.nlm.nih.gov/pmc/blobs/5ef4/6262450/c4decd3abbe7/cells-07-00220-g001.jpg

文献检索

告别复杂PubMed语法,用中文像聊天一样搜索,搜遍4000万医学文献。AI智能推荐,让科研检索更轻松。

立即免费搜索

文件翻译

保留排版,准确专业,支持PDF/Word/PPT等文件格式,支持 12+语言互译。

免费翻译文档

深度研究

AI帮你快速写综述,25分钟生成高质量综述,智能提取关键信息,辅助科研写作。

立即免费体验