Suppr超能文献

以巨噬细胞活化综合征为系统性红斑狼疮首发表现的罕见病例

A Rare Case of Macrophage Activation Syndrome Presenting as the First Manifestation of Systemic Lupus Erythematosus.

作者信息

Poudel Pooja, Swe Thein, Rayancha Sheetal

机构信息

State University of New York Upstate Medical University, Syracuse, NY, USA.

Interfaith Medical Center, New York, NY, USA.

出版信息

J Investig Med High Impact Case Rep. 2018 Nov 15;6:2324709618812196. doi: 10.1177/2324709618812196. eCollection 2018 Jan-Dec.

Abstract

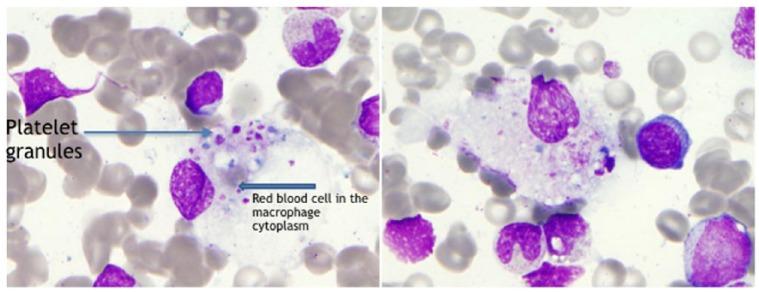
Macrophage activation syndrome (MAS) itself is a rare, potentially life-threatening complication of a rheumatic disease, mostly seen in juvenile idiopathic arthritis. It infrequently occurs in systemic lupus erythematosus (SLE), and it is extremely rare to be the first presentation of SLE. In a study of 511 patients with SLE, 7 cases (1.4%) of MAS were identified. In all the cases, MAS was simultaneous to the presentation of SLE in this article, we report a case of a patient with MAS who presented with fever, rash, and high ferritin level up to 16911 ng/mL. A high degree of suspicion is required that high fever and rash can be clues to MAS. Early diagnosis is necessary since mortality rates remain high for untreated cases.

摘要

巨噬细胞活化综合征(MAS)本身是一种罕见的、可能危及生命的风湿性疾病并发症,多见于幼年特发性关节炎。它在系统性红斑狼疮(SLE)中很少发生,作为SLE的首发表现极为罕见。在一项对511例SLE患者的研究中,确诊了7例(1.4%)MAS。在本文所有病例中,MAS均与SLE同时出现,我们报告一例MAS患者,其表现为发热、皮疹,铁蛋白水平高达16911 ng/mL。对于高热和皮疹可能是MAS的线索需要高度怀疑。由于未治疗病例的死亡率仍然很高,因此早期诊断是必要的。

https://cdn.ncbi.nlm.nih.gov/pmc/blobs/bfc0/6243398/227034e3ef99/10.1177_2324709618812196-fig1.jpg

文献AI研究员

20分钟写一篇综述,助力文献阅读效率提升50倍。

立即体验

用中文搜PubMed

大模型驱动的PubMed中文搜索引擎

马上搜索

文档翻译

学术文献翻译模型,支持多种主流文档格式。

立即体验