Guo Yue, Zhou Hong Chang, Dong Ying, Zhang Ting, Sun Yu Yang, Zhong Jian Feng, Cao Yu Liang, Shao Sheng Wen, Pan Yong Liang, Dong Hai Yan
School of Medicine, Huzhou University, Huzhou, China.
Infectious Diseases Dept., Huzhou Central Hospital, Huzhou, China.
Iran J Parasitol. 2018 Jul-Sep;13(3):362-368.
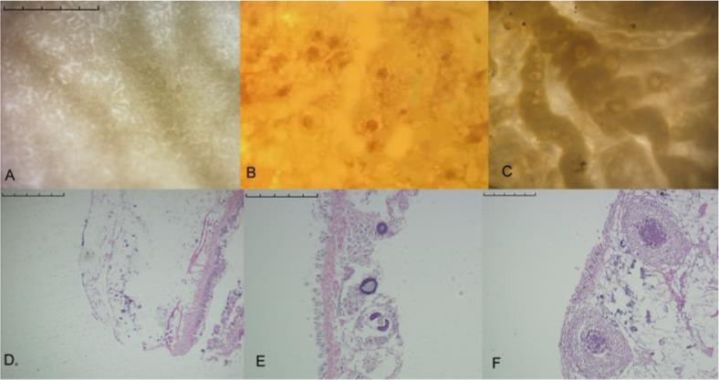
() lung nodules, were commonly caused by infection. Here, we found a new nodule type without any parasites.
Overall, 447 P. canaliculata snails were collected in Ning Bo, Zhe Jiang, China in 2018. In order to exhibit the similarities and differences between two nodules types (2018, Huzhou Zhejiang, China), both types were collected in formalin for tissue pathological sectioning. Besides, to obtain the microbial community of the new nodule, the 18S ribosomal RNA (rRNA) gene of it was amplified and analyzed using the Illumina second-generation sequencing platform.
Although two nodules were found in the lungs of , they were different in shape and pathology. Illumina sequencing indicated sp., a species of golden algae, might be the causing agent of the new nodule.
We firstly found a new pathological nodule type in the lungs of , and this nodule might be induced by golden algae infection, however, the direct link between the golden algae and the new nodules, as well as the nodules' impact on the snails' physiology and infection require further study.
()肺结节通常由感染引起。在此,我们发现了一种没有任何寄生虫的新结节类型。
2018年在中国浙江宁波共收集了447只福寿螺。为了展示两种结节类型(2018年,中国浙江湖州)之间的异同,两种类型的结节均用福尔马林固定用于组织病理切片。此外,为了获得新结节的微生物群落,使用Illumina二代测序平台对其18S核糖体RNA(rRNA)基因进行扩增和分析。
尽管在()的肺中发现了两种结节,但它们在形状和病理上有所不同。Illumina测序表明,一种金藻(sp.)可能是新结节的致病因子。
我们首次在()的肺中发现了一种新的病理结节类型,这种结节可能由金藻感染引起,然而,金藻与新结节之间的直接联系以及结节对福寿螺生理和感染的影响需要进一步研究。