Suppr超能文献

硼替佐米对去卵巢大鼠子宫的影响:一项组织病理学、体视学和免疫组织化学研究。

The effects of bortezomib on the ovariectomy applied rat uterus: A histopathological, stereological, and immunohistochemical study.

作者信息

Khoshvaghti Habib, Altunkaynak Berrin Zuhal

机构信息

Department of Histology and Embryology, Medical Faculty, Bülent Ecevit University, Zonguldak, Turkey.

Department of Histology and Embryology, Medical Faculty, İstanbul Okan University, İstanbul, Turkey.

出版信息

Iran J Basic Med Sci. 2018 Nov;21(11):1118-1125. doi: 10.22038/IJBMS.2018.24756.6152.

Abstract

OBJECTIVES

In this study, potential protective effects of Bortezomib (Bort), as a proteasome inhibitor, were investigated on the uterus of ovariectomized rats by histological, morphometric and immunohistochemical methods.

MATERIALS AND METHODS

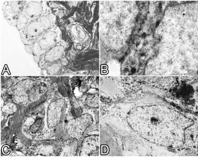
In this study, 18 strain female rats (12 weeks old, 250-300 g body weight) were used. Animals in the control group (Cont, n=6) were not exposed to any treatment. Ovariectomy was performed on the experimental groups. They (n=12) were divided into ovariectomy (Ovt, n=6) and Bortezomib (Bort, n=6) subgroups. Twelve weeks later, the rats were perfused. Then, uterine tissues were removed and examined by morphometrical, and light and electron microscopy methods. In addition, immunoreactivity of nuclear factor-kappa (NF-κB) was evaluated.

RESULTS

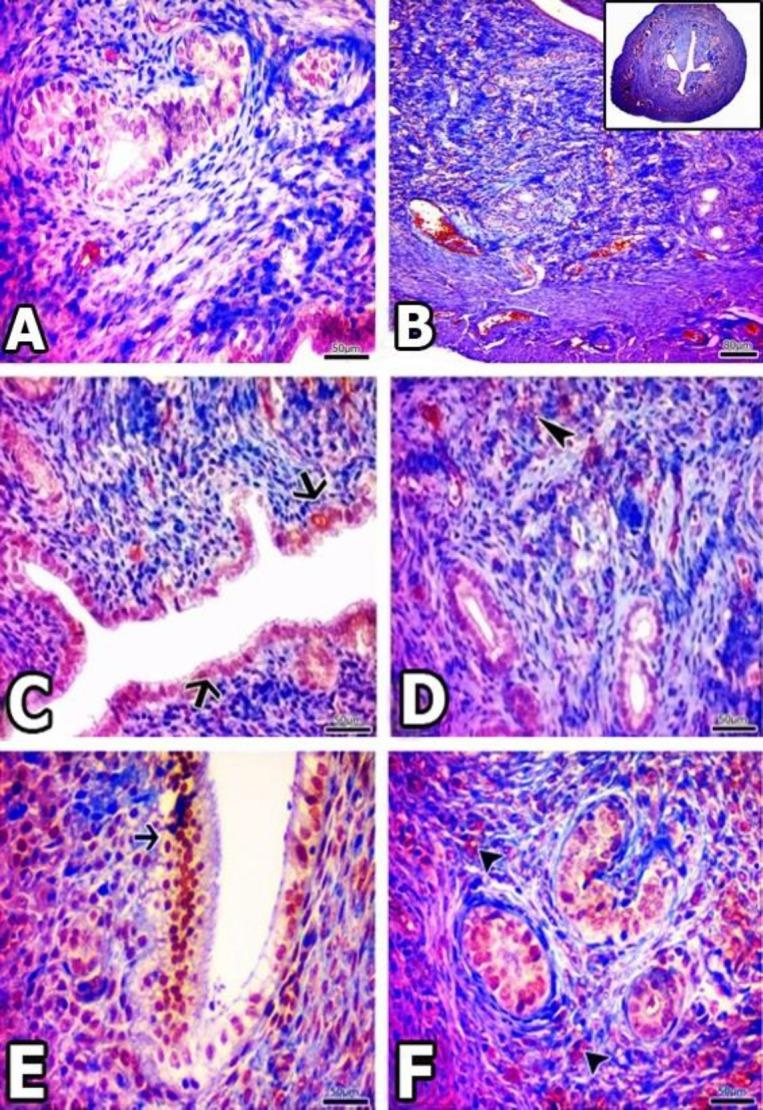
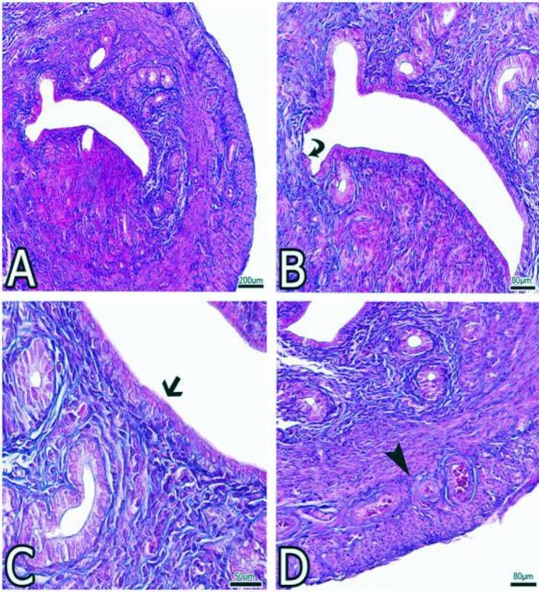
Morphometric and histopathological evaluations showed that Bort was effective in the uterus and protects the layer structures and the cells.

CONCLUSION

In the light of these findings, we suggest that for proteasome inhibitor particularly Bort is thought to be useful through proteasome inhibition and NF-κB pathway.

摘要

目的

在本研究中,通过组织学、形态计量学和免疫组织化学方法,研究蛋白酶体抑制剂硼替佐米(Bort)对去卵巢大鼠子宫的潜在保护作用。

材料与方法

本研究使用了18只雌性大鼠(12周龄,体重250 - 300克)。对照组(Cont,n = 6)的动物未接受任何处理。对实验组进行去卵巢手术。将它们(n = 12)分为去卵巢组(Ovt,n = 6)和硼替佐米组(Bort,n = 6)亚组。12周后,对大鼠进行灌注。然后,取出子宫组织,通过形态计量学、光学和电子显微镜方法进行检查。此外,评估核因子-κB(NF-κB)的免疫反应性。

结果

形态计量学和组织病理学评估表明,硼替佐米对子宫有效,并能保护其层结构和细胞。

结论

根据这些发现,我们认为蛋白酶体抑制剂尤其是硼替佐米通过抑制蛋白酶体和NF-κB途径可能是有用的。

https://cdn.ncbi.nlm.nih.gov/pmc/blobs/eaf9/6251398/65d1d67587ee/IJBMS-21-1118-g001.jpg

文献检索

告别复杂PubMed语法,用中文像聊天一样搜索,搜遍4000万医学文献。AI智能推荐,让科研检索更轻松。

立即免费搜索

文件翻译

保留排版,准确专业,支持PDF/Word/PPT等文件格式,支持 12+语言互译。

免费翻译文档

深度研究

AI帮你快速写综述,25分钟生成高质量综述,智能提取关键信息,辅助科研写作。

立即免费体验